Bệnh mô bào Langerhans (chụp CT đầu)

Bệnh mô bào Langerhans (chụp CT đầu)

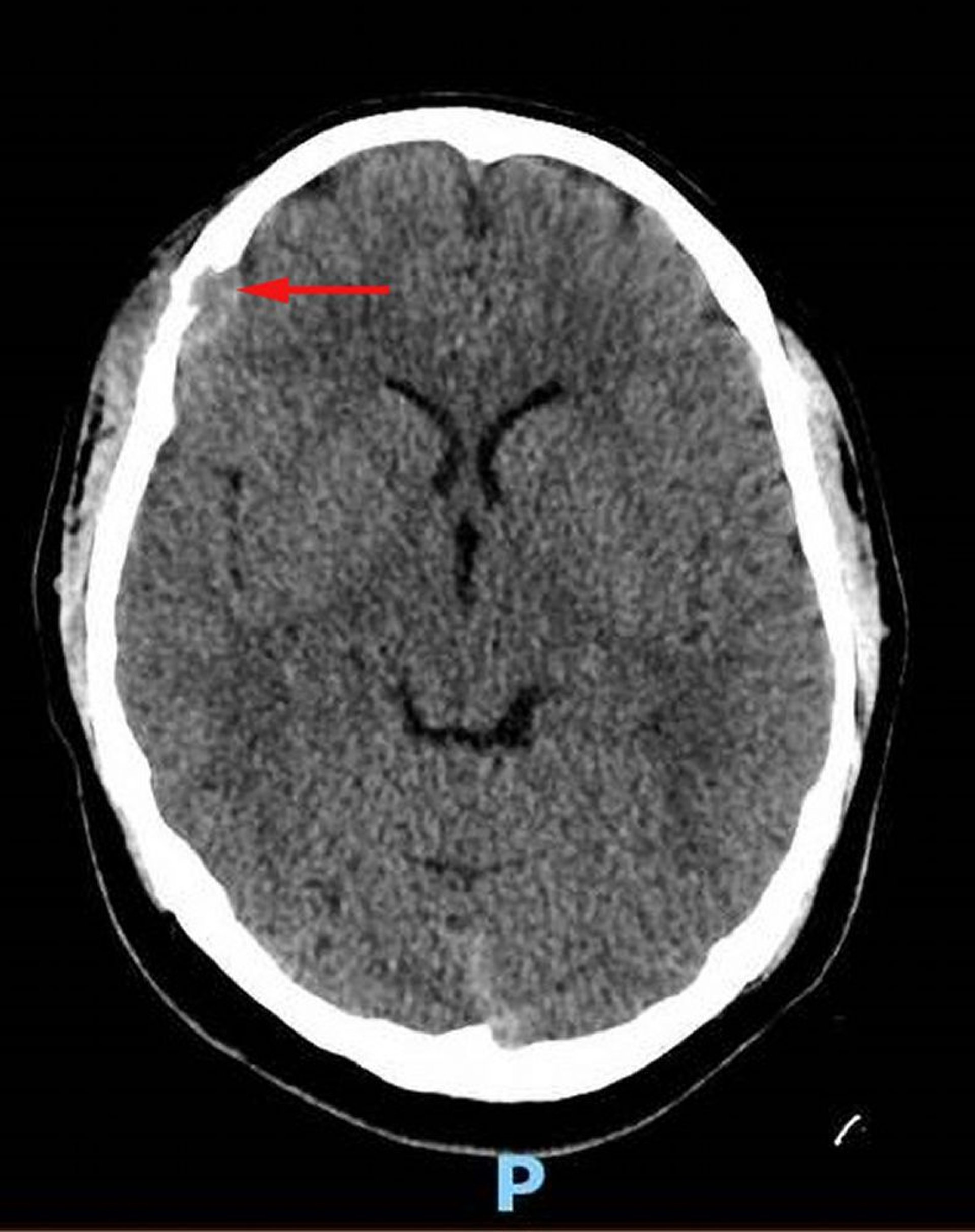
Hình ảnh này cho thấy một tổn thương mô mềm ở xương trán bên phải với sự phá hủy mô mềm liên quan và sự kéo dài nội sọ của mô mềm vào khoang màng cứng (mũi tên đỏ). Có mô mềm da đầu bên trên không đối xứng. Sinh thiết là chẩn đoán cho bệnh mô bào tế bào Langerhans.

Hình ảnh do bác sĩ Carolyn Fein Levy và bác sĩ, tiến sĩ Jeffrey M. Lipton cung cấp.

Trong các chủ đề này