Bệnh do nấm aspergillus phế quản phổi dị ứng (giãn phế quản)
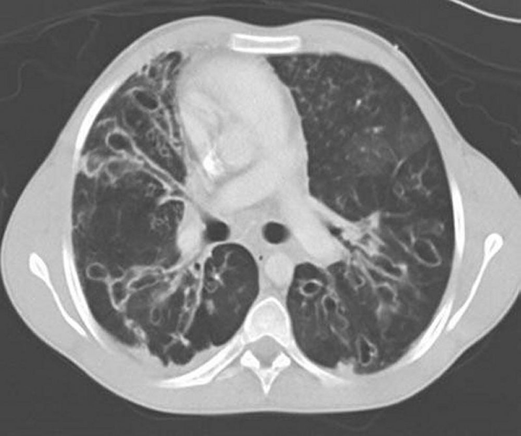
CT ngực có tiêm cản quang cho thấy giãn phế quản nghiêm trọng ở vùng thùy giữa với phế quản bị giãn rộng hoặc giãn và thay đổi dạng nang. Giãn đường thở đặc trưng bởi tỷ lệ đường thở so với mạch máu kế cận > 1.
Được sự cho phép của nhà xuất bản. Theo Coakley R, Boucher R, Fiel S, et al. Trong Bone's Atlas of Pulmonary and Critical Care Medicine. Biên tập bởi J Crapo. Philadelphia, Current Medicine, 2005.
Trong các chủ đề này
