honeypot link
skip to main content
MSD Manual
Phiên bản dành cho chuyên gia
CÁC CHỦ ĐỀ Y KHOA
NGUỒN
BÌNH LUẬN
CÁC THỦ THUẬT
GIỚI THIỆU
CÁC CHỦ ĐỀ Y KHOA
NGUỒN
<
Hình ảnh
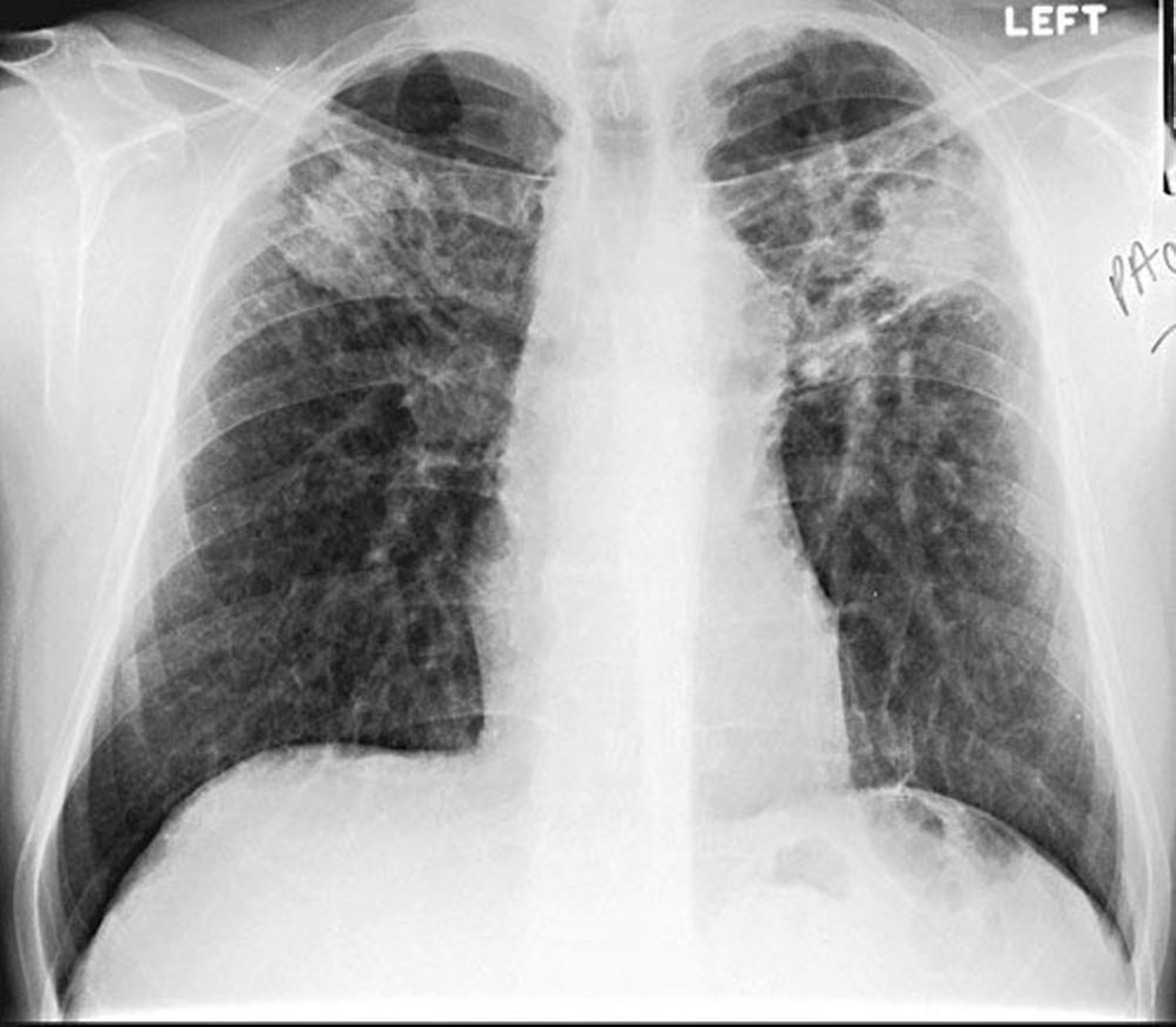
Bệnh bụi phổi – Thể kết khối
Hình ảnh do bác sĩ David W. Cugell cung cấp
Trong các chủ đề này
Silicosis
>