Bệnh bụi phổi
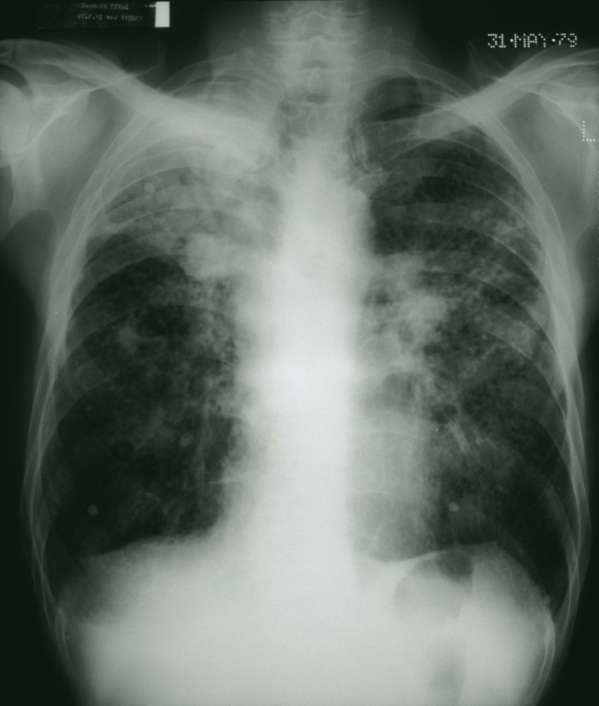
Các trường phổi sẫm màu cho thấy hình dạng lốm đốm với các mảng khối sợi màu trắng phù hợp với bệnh bụi phổi của công nhân than giai đoạn tiến triển.
STEVE ALLEN/THƯ VIỆN HÌNH ẢNH KHOA HỌC
Trong các chủ đề này
Các trường phổi sẫm màu cho thấy hình dạng lốm đốm với các mảng khối sợi màu trắng phù hợp với bệnh bụi phổi của công nhân than giai đoạn tiến triển.
STEVE ALLEN/THƯ VIỆN HÌNH ẢNH KHOA HỌC