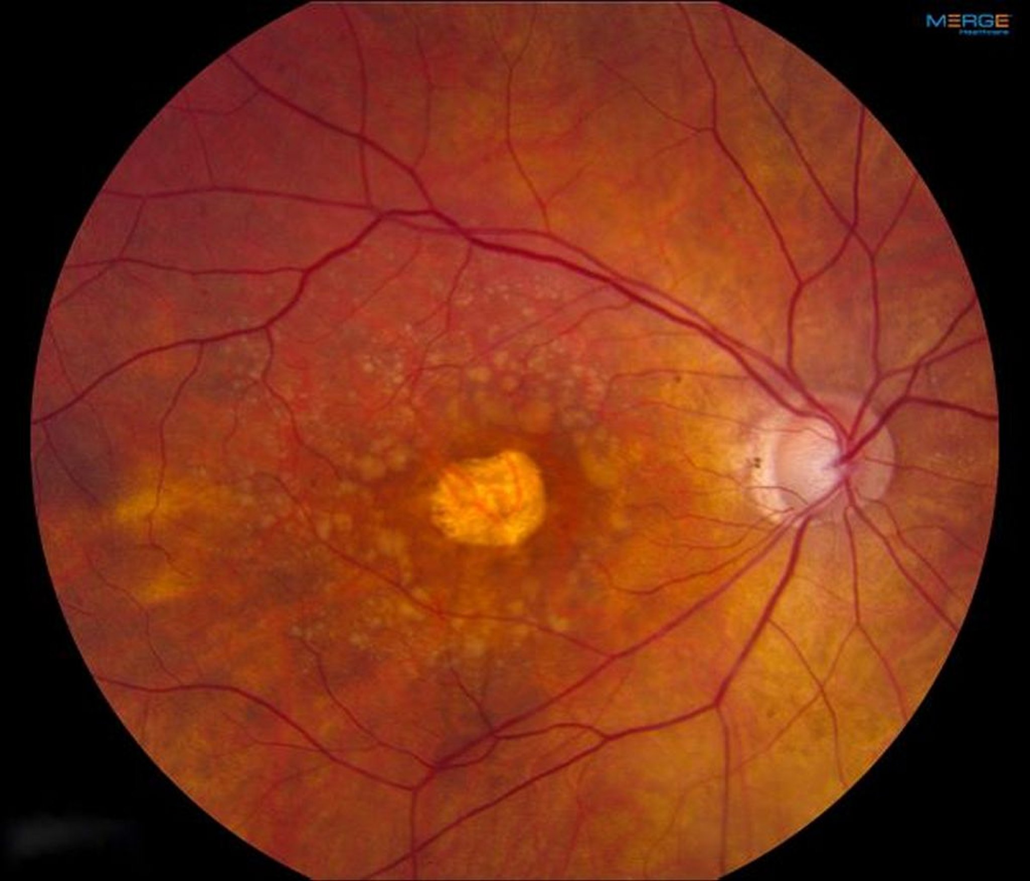
Age-Related Macular Degeneration (Dry, Advanced)
Theo thời gian, một số mắt phát triển teo trung tâm biểu mô sắc tố võng mạc và các tế bào cảm quang. Điều này có thể dẫn đến mất thị lực trung tâm đáng kể, đặc trưng của AMD.
Hình ảnh do bác sĩ Sunir Garg cung cấp.
Trong các chủ đề này
