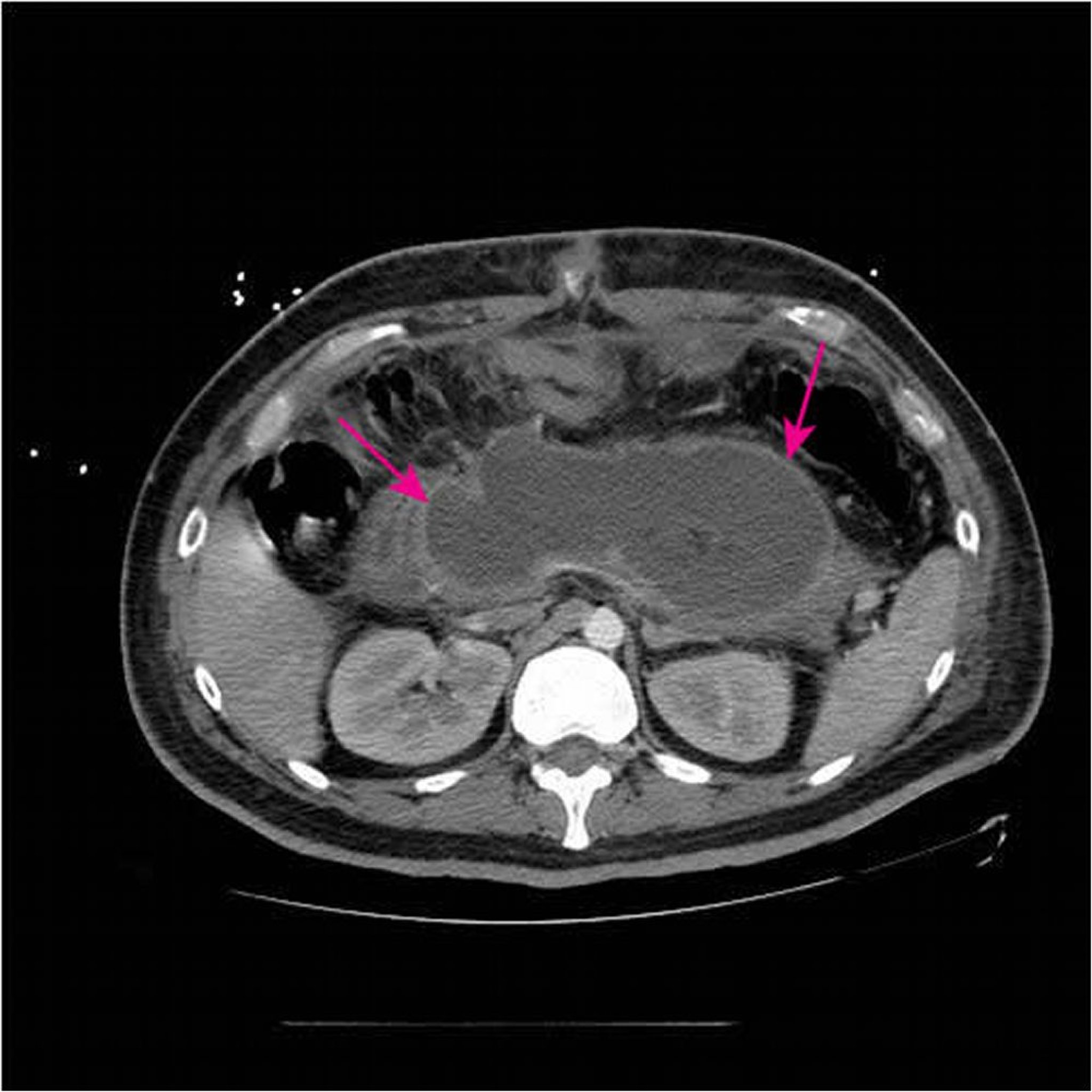
Ổ tụ dịch hoại tử cấp
Chụp CT có thuốc cản quang đường tĩnh mạch và đường uống cho thấy một ổ tụ dịch hoại tử cấp tính lớn (mũi tên) thay thế hầu hết các mô tụy < 4 tuần kể từ khi có biểu hiện ban đầu của viêm tụy hoại tử.
Hình ảnh do bác sĩ Sonam Rosberger cung cấp
Trong các chủ đề này
