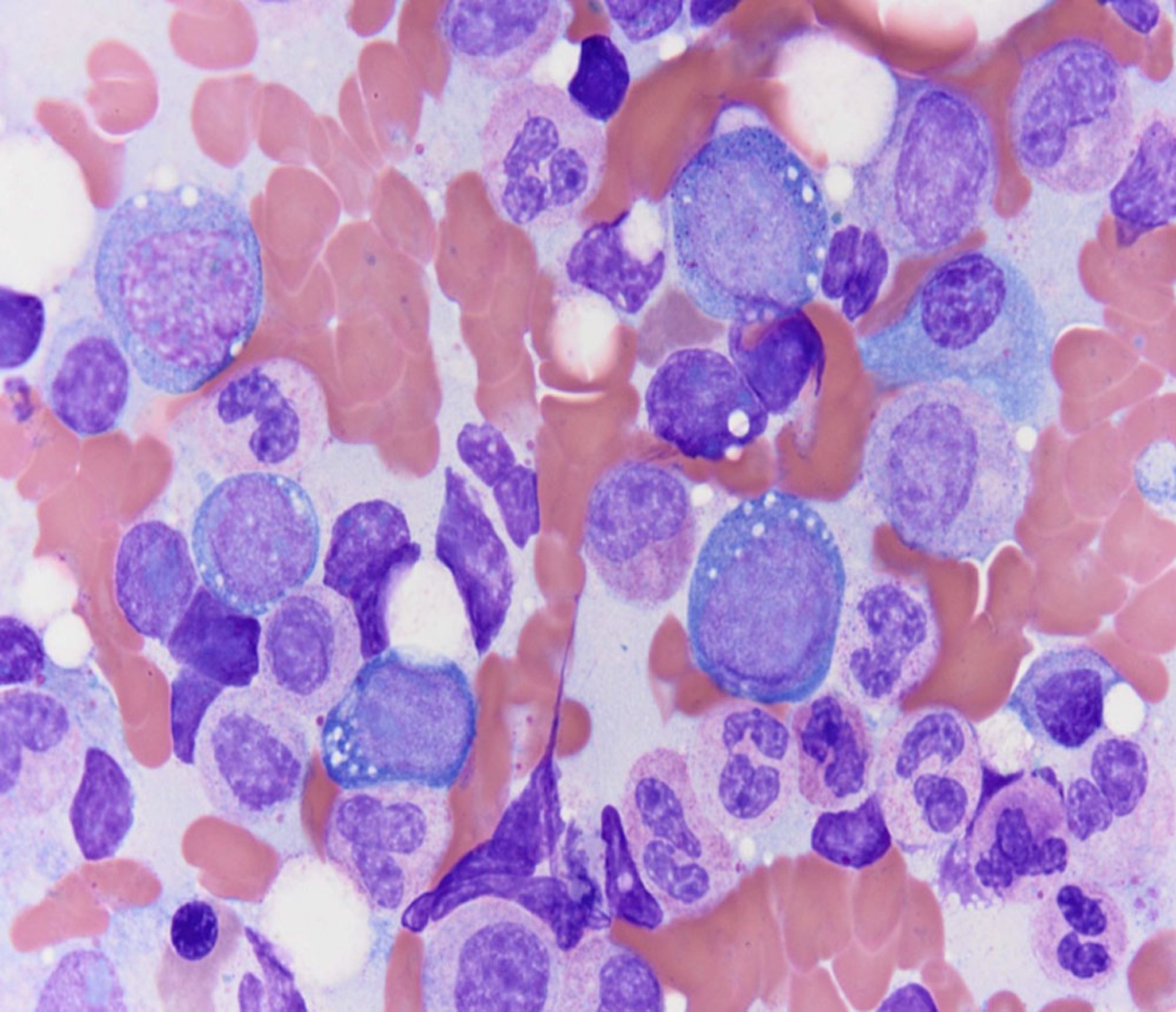
Вакуолі при синдромі VEXAS
This image shows hypercellular bone marrow with atypical vacuolization in a patient with VEXAS (vacuoles, E1 enzyme, X-linked, autoinflammatory, somatic) syndrome.
Image courtesy of Kinanah Yaseen, MD.
Серед цих тем
This image shows hypercellular bone marrow with atypical vacuolization in a patient with VEXAS (vacuoles, E1 enzyme, X-linked, autoinflammatory, somatic) syndrome.
Image courtesy of Kinanah Yaseen, MD.