Однокамерна кісткова кіста
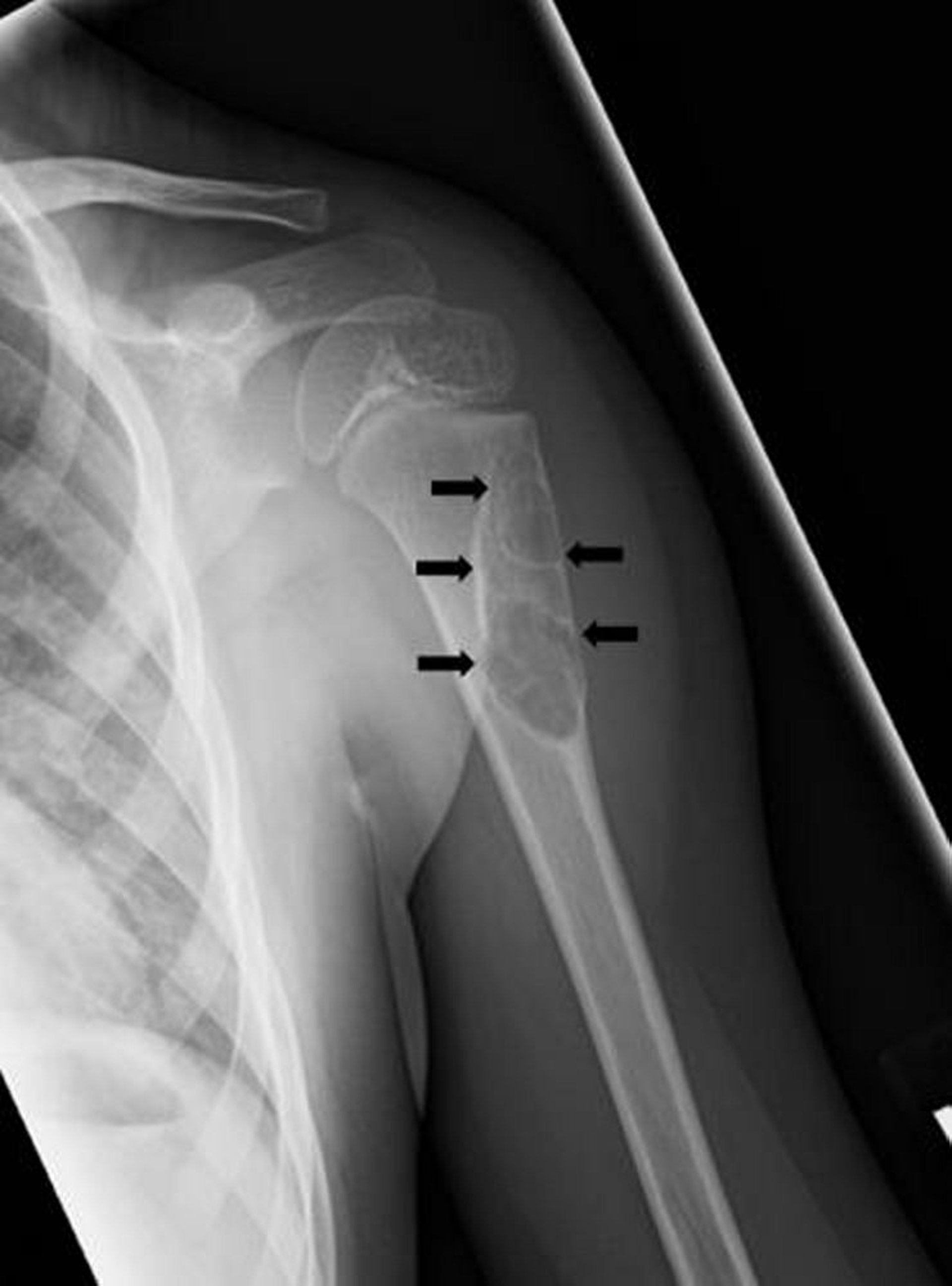
This radiograph shows a cystic lesion (arrows) of the humerus in child consistent with a unicameral bone cyst.
Image courtesy of Michael J. Joyce, MD, and Hakan Ilaslan, MD.
Серед цих тем
This radiograph shows a cystic lesion (arrows) of the humerus in child consistent with a unicameral bone cyst.
Image courtesy of Michael J. Joyce, MD, and Hakan Ilaslan, MD.