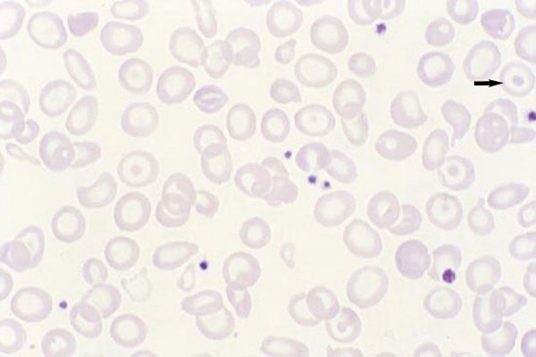
Target Cells
Target cells (thin RBCs with a central dot of hemoglobin; arrow) are due to an imbalance between the volume of the cell and its hemoglobin content and characterize thalassemia, other hemoglobinopathies (eg, hemoglobin C disease and hemoglobin S-C disease) but may also occur after splenectomy and in liver disease.
By permission of the publisher. From Tefferi A, Li C. In Atlas of Clinical Hematology. Edited by JO Armitage. Philadelphia, Current Medicine, 2004.
Серед цих тем
