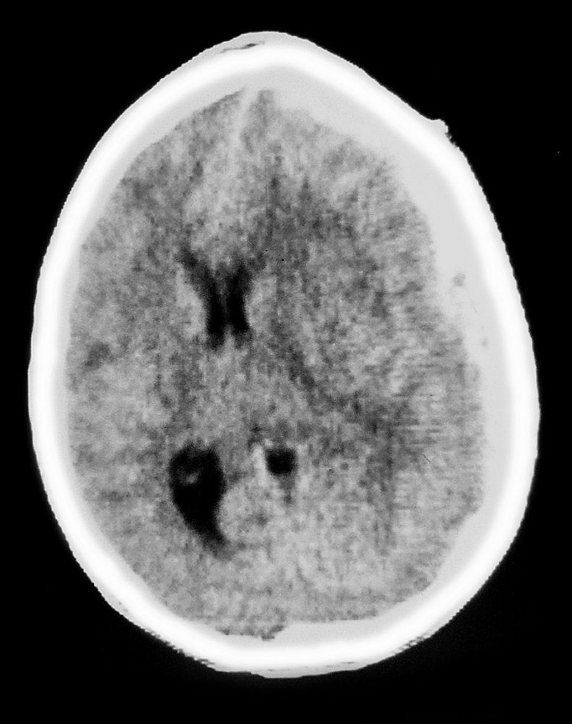
Субдуральна гематома
На цьому КТ-скані зображено непрозорі, характерні для субдуральної гематоми ділянки у формі півмісяця, що розташовуються над тканинами головного мозку. Також спостерігається виражений мас-ефект зі стисненням шлуночків та зміщенням серединних структур.
Кавалліні Джеймс (Cavallini James) / BSIP / НАУКОВА ФОТОБІБЛІОТЕКА
Серед цих тем
