Перелом човноподібної кістки
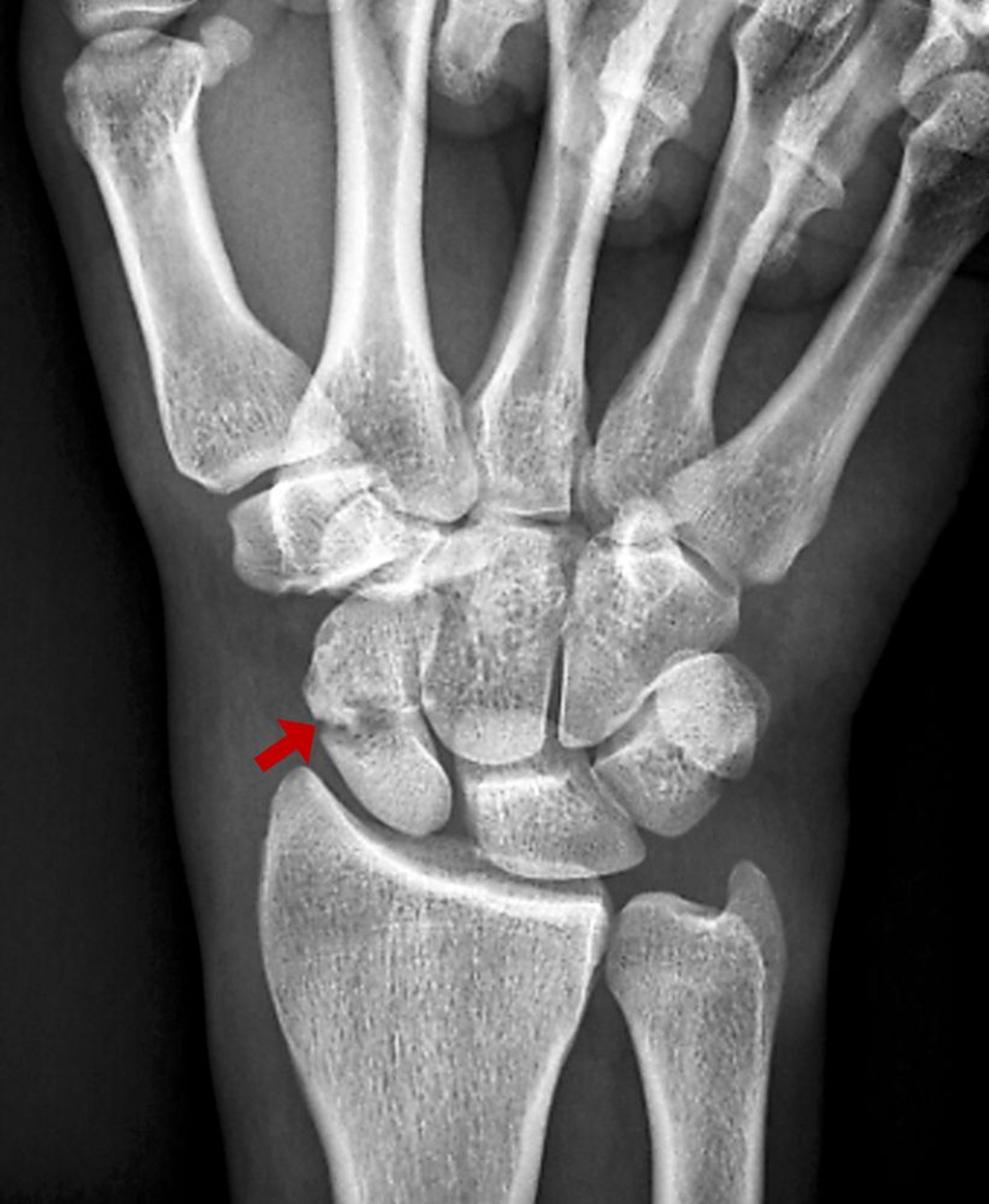
Даний перелом човноподібної кістки візуалізується у вигляді зони просвітлення на звичайній рентгенограмі.
ZEPHYR / НАУКОВА ФОТОБІБЛІОТЕКА
Серед цих тем
Даний перелом човноподібної кістки візуалізується у вигляді зони просвітлення на звичайній рентгенограмі.
ZEPHYR / НАУКОВА ФОТОБІБЛІОТЕКА