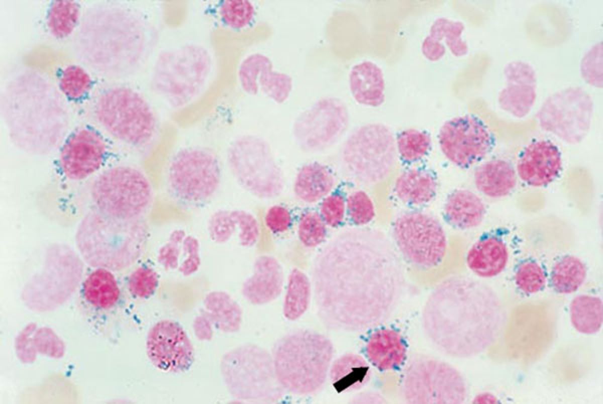
Ring Sideroblasts in Sideroblastic Anemia
In sideroblastic anemia, ring sideroblasts are seen in bone marrow (arrow). Ring sideroblasts are erythroid precursors whose mitochondria (located around the nucleus) are loaded with nonheme iron.
By permission of the publisher. From Tefferi A, Li C. In Atlas of Clinical Hematology. Edited by JO Armitage. Philadelphia, Current Medicine, 2004.
Серед цих тем
