Переломи ребер
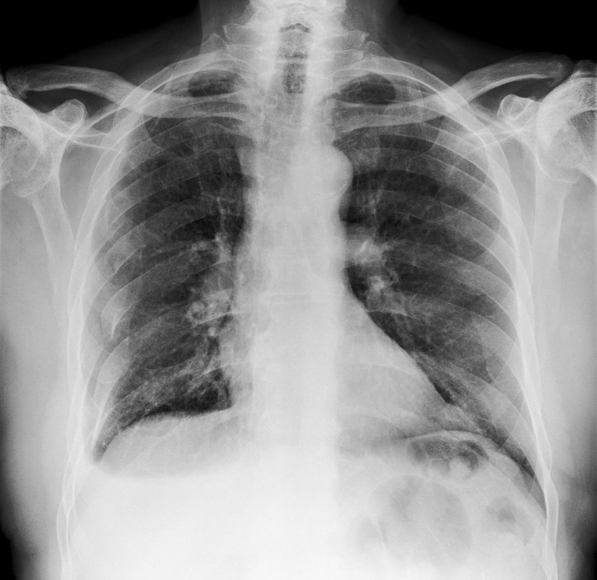
На цій рентгенограмі органів грудної клітки видно численні переломи правих ребер (помітні ліворуч).
НАУКОВА ФОТОБІБЛІОТЕКА
Серед цих тем
На цій рентгенограмі органів грудної клітки видно численні переломи правих ребер (помітні ліворуч).
НАУКОВА ФОТОБІБЛІОТЕКА