Renal Cortical Necrosis
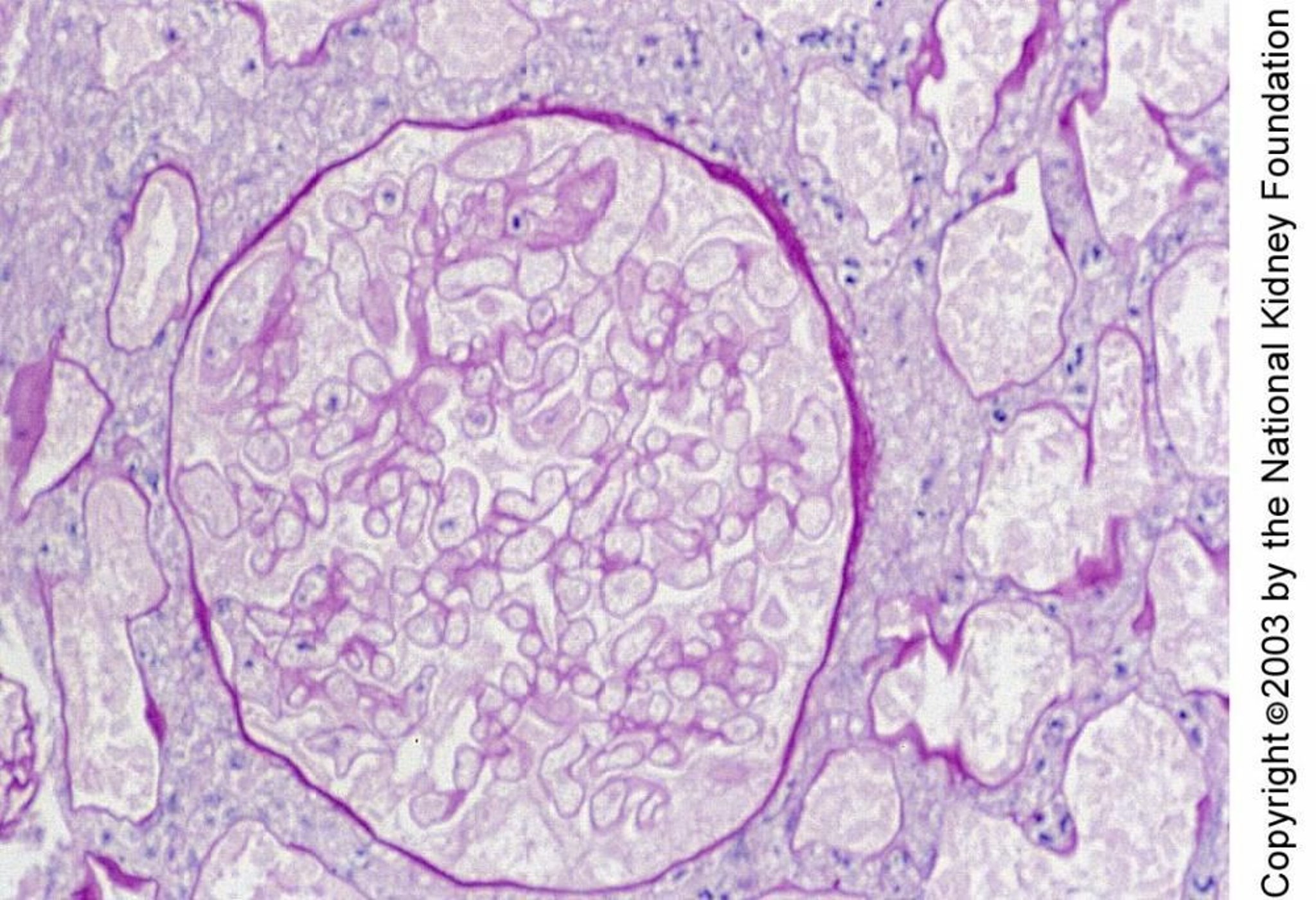
Renal cortical necrosis is characterized histologically by necrosis of glomeruli and tubules. Necrosis in this biopsy specimen is manifest by small nuclei and ghostlike outlines of cells (periodic acid-Schiff stain, × 400).
Image provided by Agnes Fogo, MD, and the American Journal of Kidney Diseases' Atlas of Renal Pathology (see www.ajkd.org).
Серед цих тем
