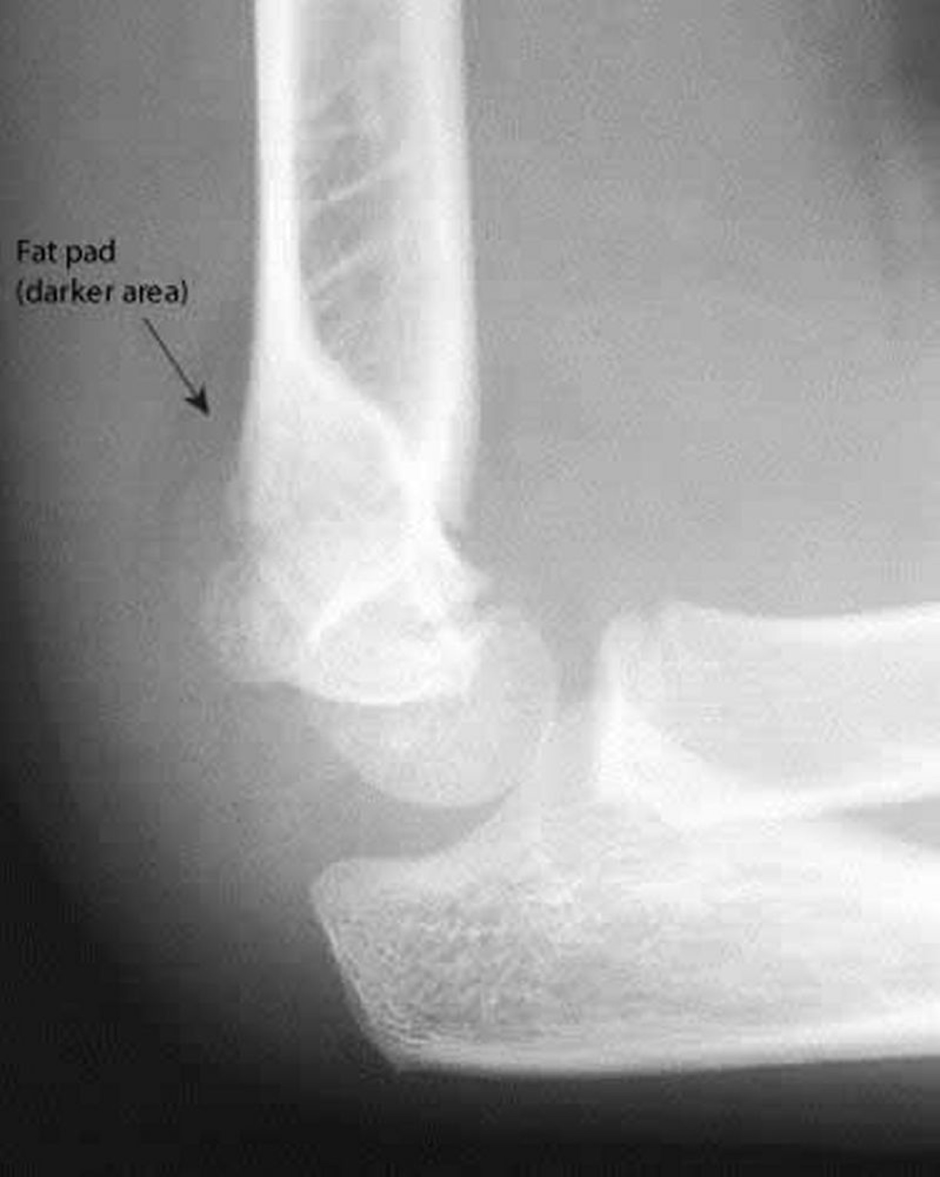
Задня жирова подушка
Задня жирова подушка завжди свідчить про наявність патології. Також на даній рентгенограмі передня плечова лінія не перетинає посередині голівку плечової кістки.
Знімок люб'язно надано лікарем Даніелем Кампаньє [Danielle Campagne], MD.
Серед цих тем
