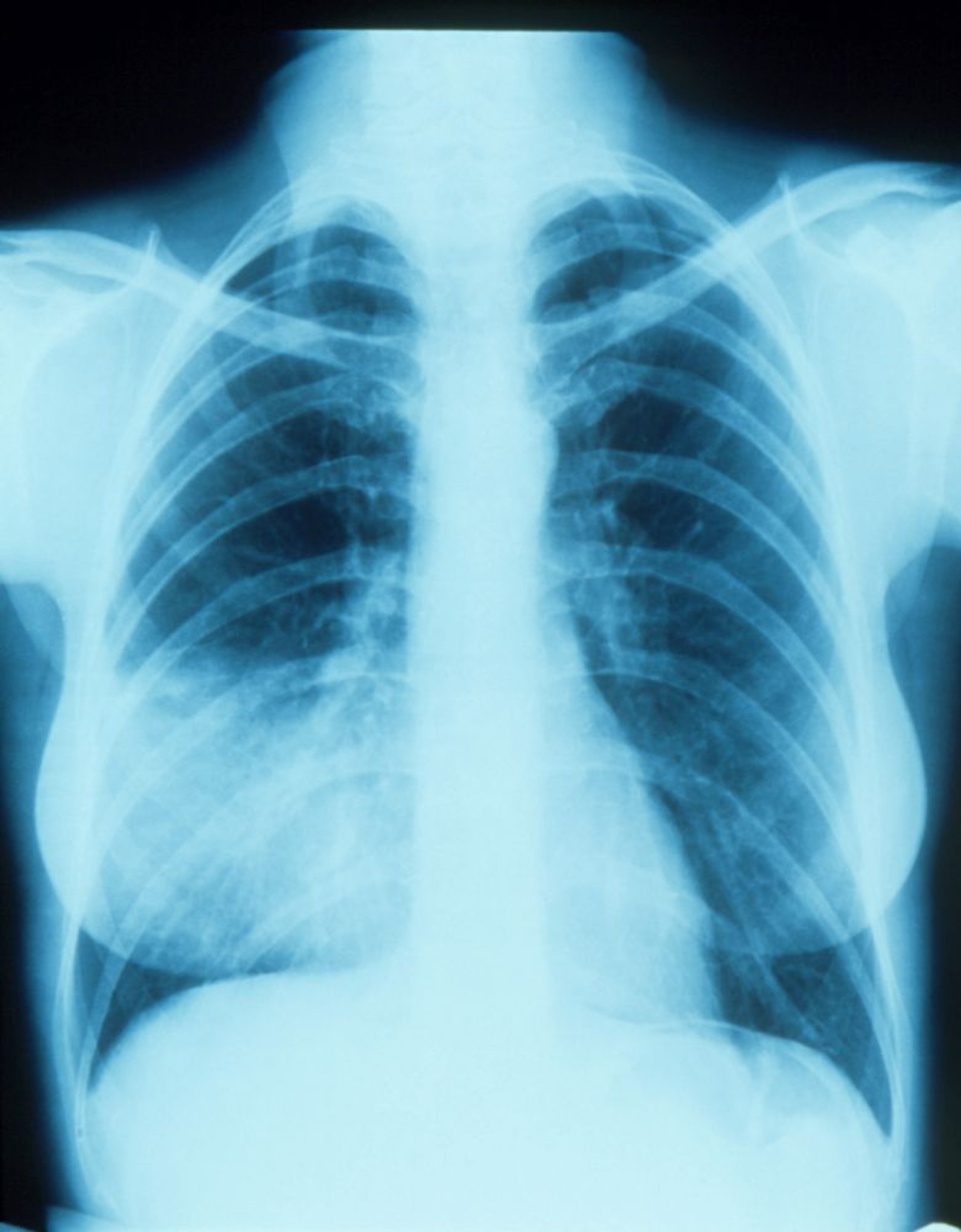
Пневмонія середньої долі справа з нечіткими контурами
This chest x-ray shows an infiltrate that appears to blend with the right heart border (silhouette sign). The silhouette sign indicates contiguous positioning of the 2 structures that have similar radiodensity; the part of the lung contiguous with the right heart border is the right middle lobe, so that is the part with the infiltrate and pneumonia.
SCIENCE PHOTO LIBRARY
Серед цих тем
