Pleural Mesothelioma
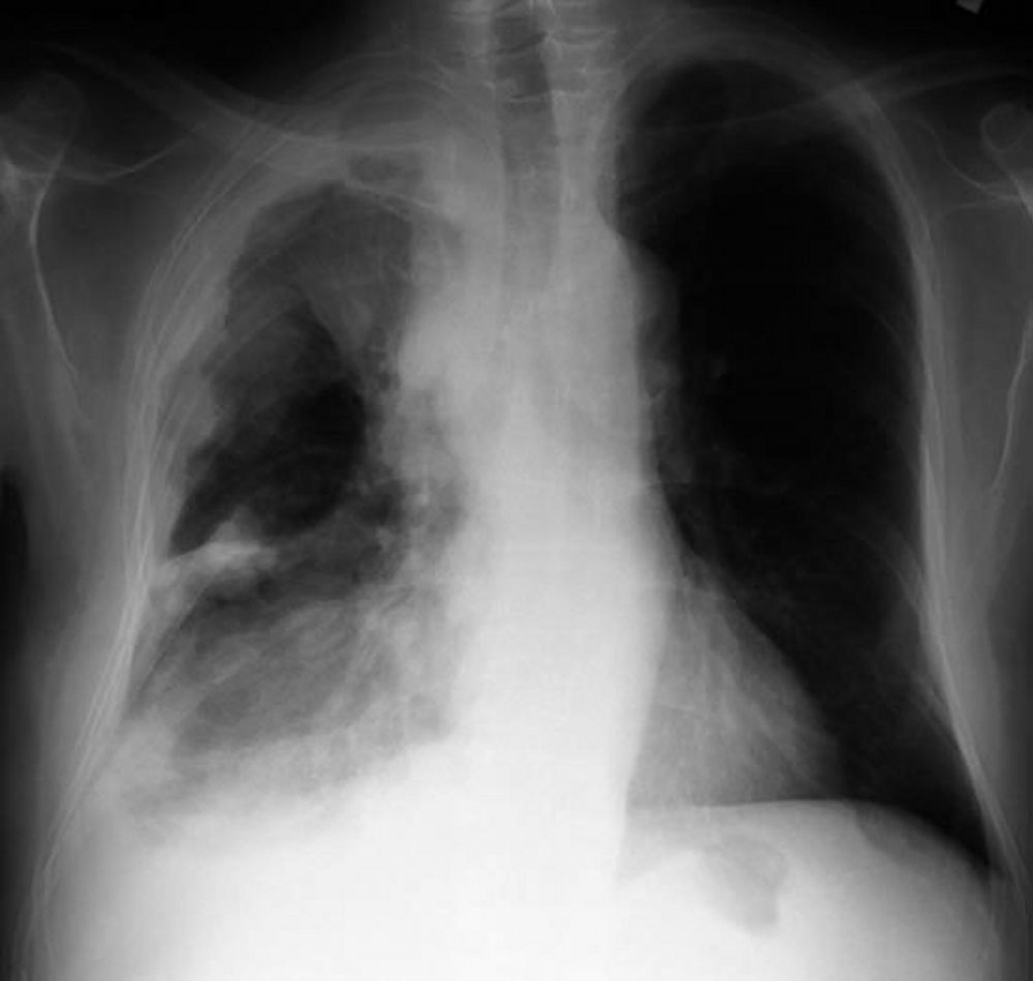
Chest x-ray in a patient with pleural mesothelioma shows pleural thickening with nodular masses on the parietal pleura.
By permission of the publisher. From Huggins J, Sahn S. In Bone's Atlas of Pulmonary and Critical Care Medicine. Edited by J Crapo. Philadelphia, Current Medicine, 2005.
Серед цих тем
