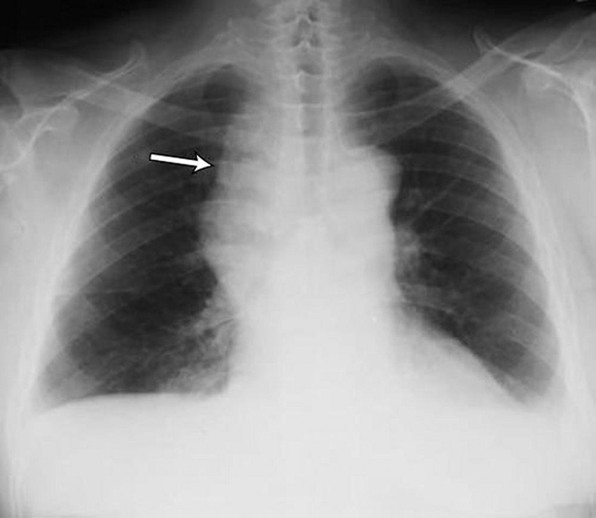
Pleural Effusions—Small
Small bilateral pleural effusions in a patient with non-Hodgkin lymphoma. Both costophrenic angles are blunted. The arrow points to widened mediastinum due to lymphoma.
By permission of the publisher. From Huggins J, Sahn S. In Bone's Atlas of Pulmonary and Critical Care Medicine. Edited by J Crapo. Philadelphia, Current Medicine, 2005.
Серед цих тем
