Плеоморфна аденома піднебінної слинної залози
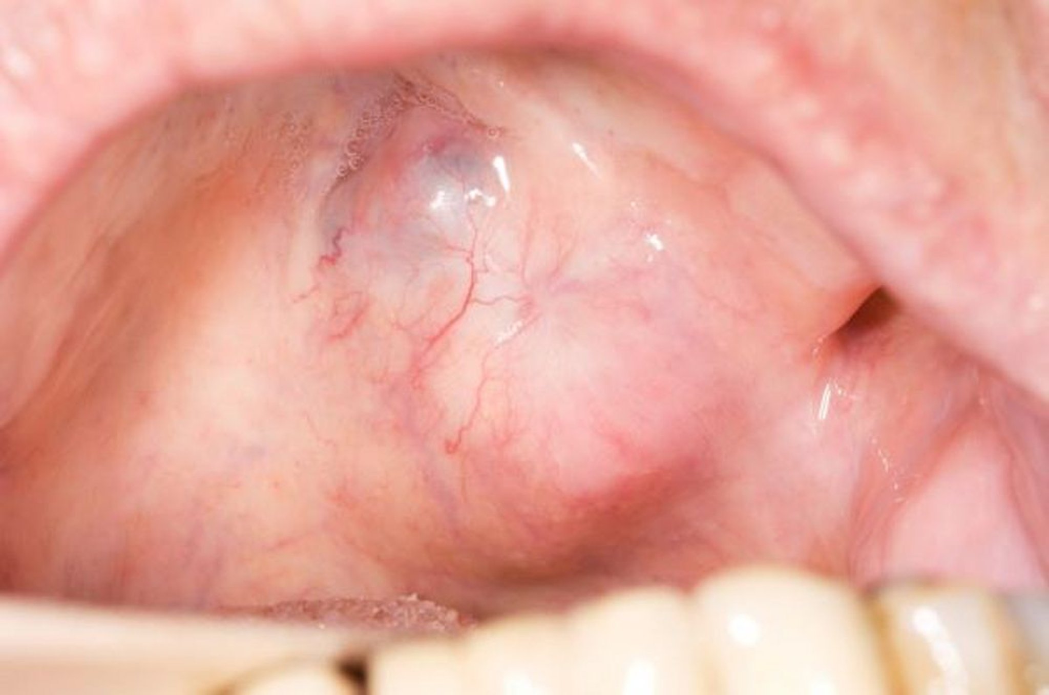
Pleomorphic adenoma is the most common intraoral benign neoplasm. The palatal mucosa is the most common site of occurrence.
DR. P. MARAZZI/SCIENCE PHOTO LIBRARY
Серед цих тем
Pleomorphic adenoma is the most common intraoral benign neoplasm. The palatal mucosa is the most common site of occurrence.
DR. P. MARAZZI/SCIENCE PHOTO LIBRARY