Остеопойкілоз кісток тазу
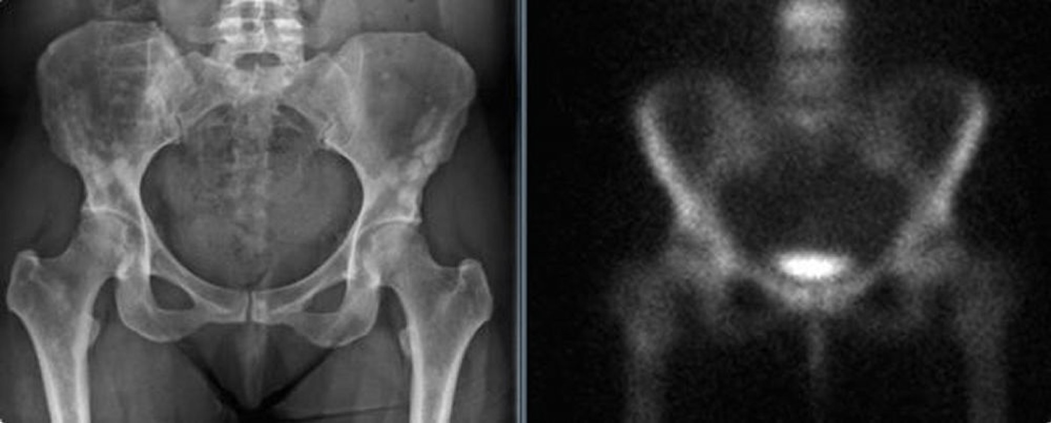
The pelvic radiograph (left) shows osteopoikilosis of the pelvis in an adult woman. These densities could be mistaken for blastic metastases. The bone scan (right) shows no significant increased uptake.
Images courtesy of Michael J. Joyce, MD, and David M. Joyce, MD.
Серед цих тем
