Остеохондрома коліна
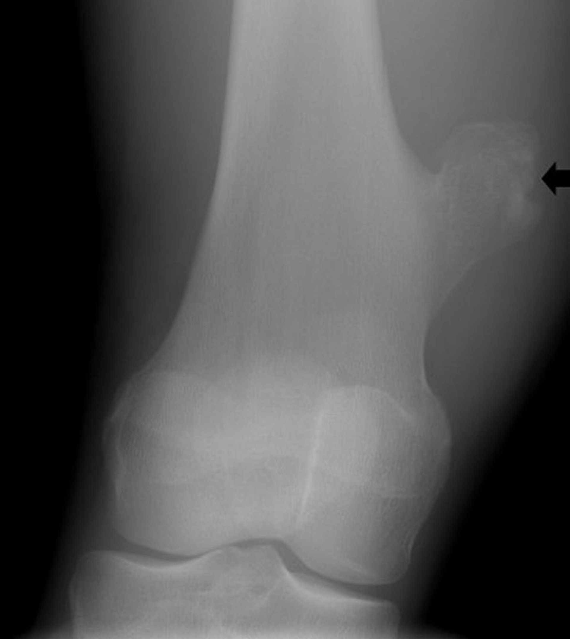
This radiograph of the knee shows a bony outgrowth (arrow) from the femur above the knee joint that is consistent with an osteochondroma.
Image courtesy of Michael J. Joyce, MD, and Hakan Ilaslan, MD.
Серед цих тем
This radiograph of the knee shows a bony outgrowth (arrow) from the femur above the knee joint that is consistent with an osteochondroma.
Image courtesy of Michael J. Joyce, MD, and Hakan Ilaslan, MD.