Перелом середньої частини стегнової кістки (2)
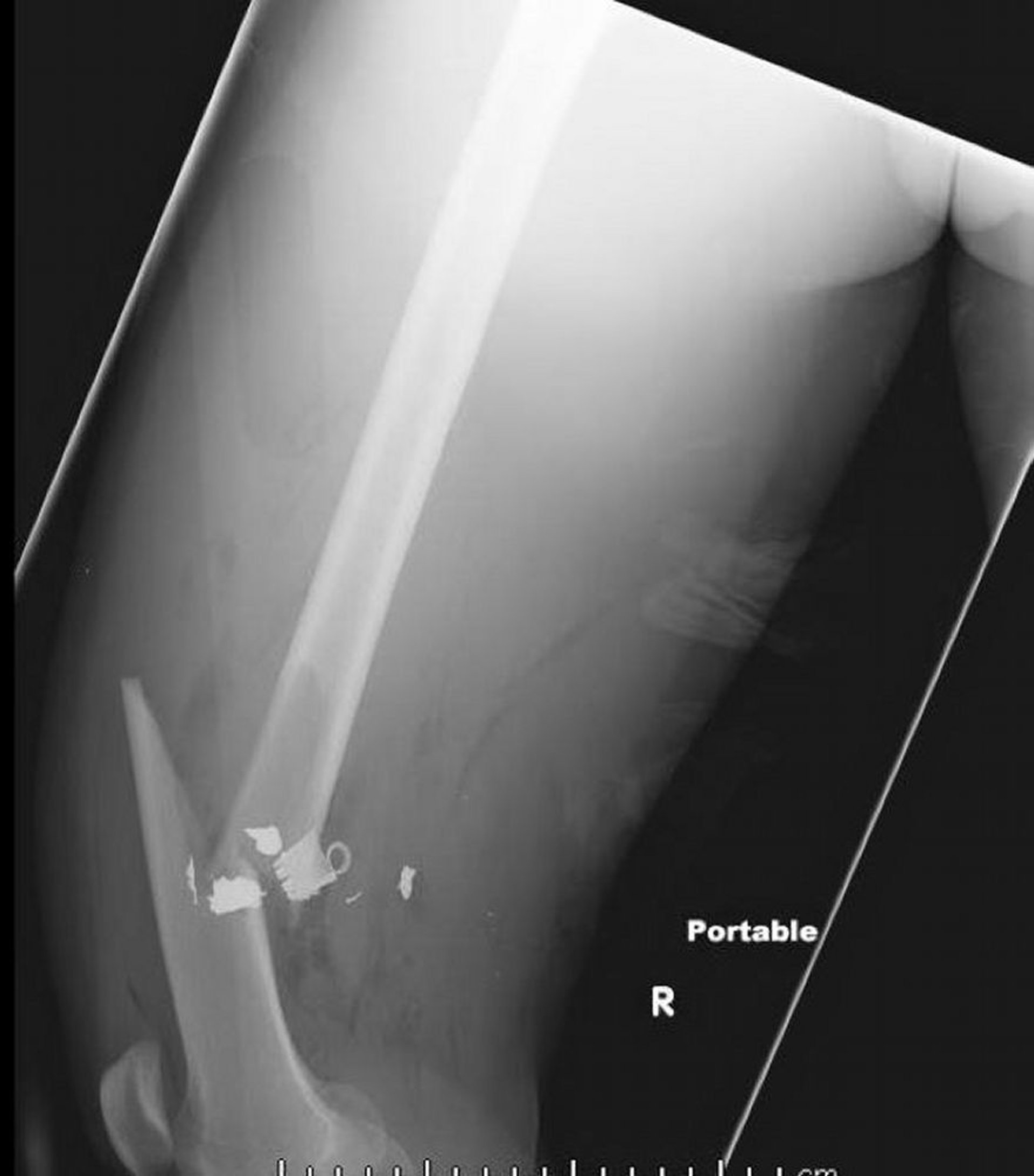
На даній рентгенограмі стегнової кістки в латеральній проекції показаний перелом стегнової кістки в її середній частині із наявністю повітря в м'яких тканинах і сторонніх металевих предметів.
Знімок люб'язно надано лікарем Даніелем Кампаньє [Danielle Campagne], MD.
Серед цих тем
