Перелом середньої частини стегнової кістки (1)
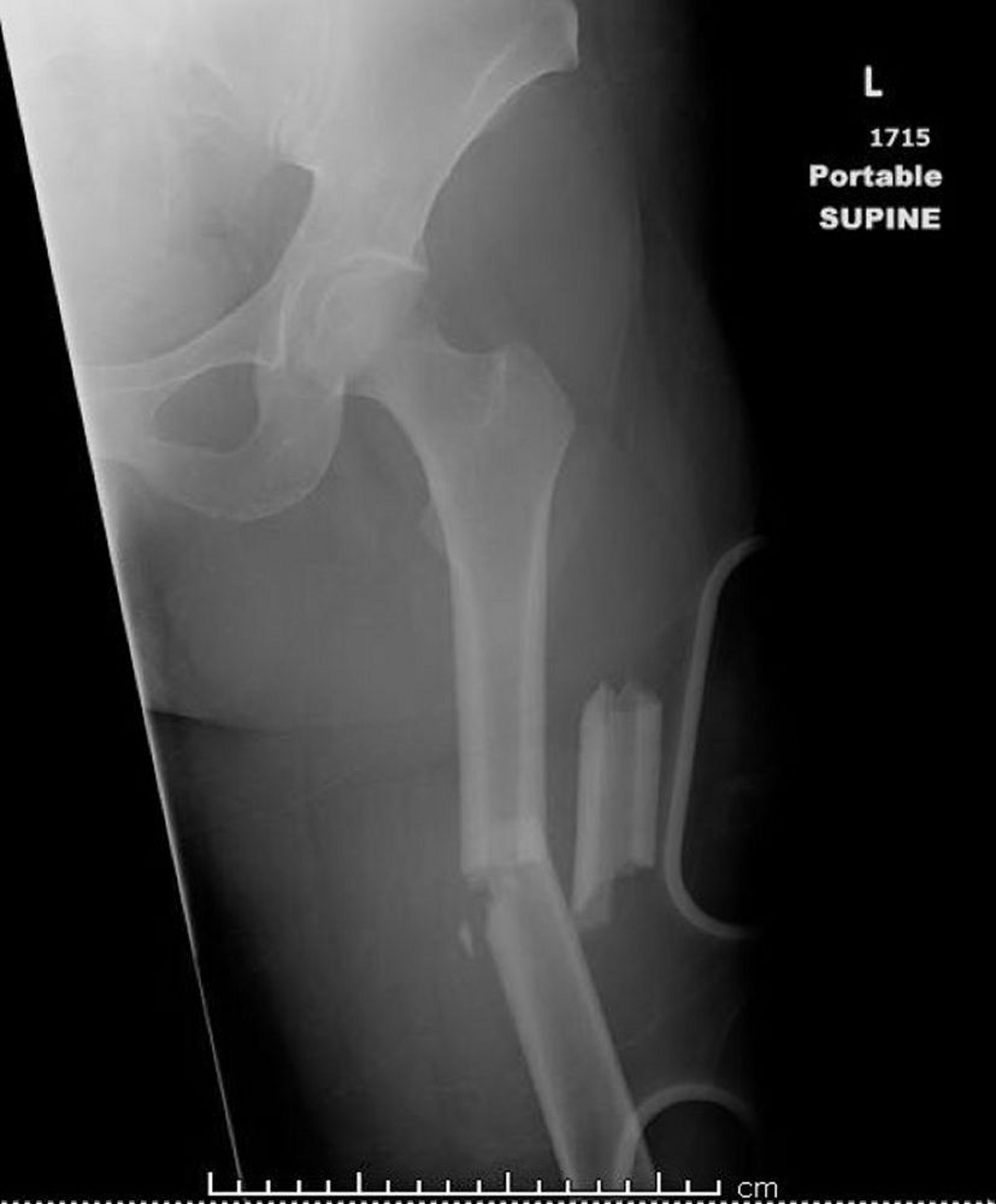
На цьому зображенні показано уламковий перелом діафіза стегнової кістки з кутовою деформацією та укороченням.
Знімок люб'язно надано лікарем Даніелем Кампаньє [Danielle Campagne], MD.
На цьому зображенні показано уламковий перелом діафіза стегнової кістки з кутовою деформацією та укороченням.
Знімок люб'язно надано лікарем Даніелем Кампаньє [Danielle Campagne], MD.