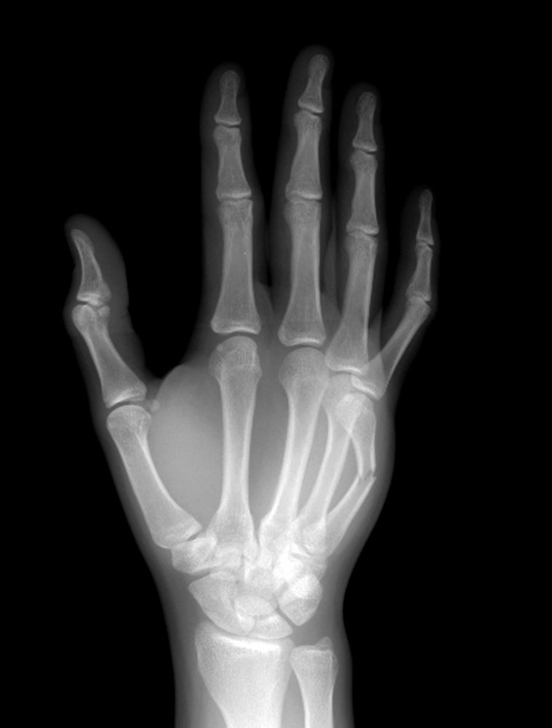
Перелом шийки п'ясткової кістки
Шийка 5-ї п'ясткової кістки зламана в середньому відділі.
LIVING ART ENTERPRISES, LLC/НАУКОВА ФОТОБІБЛІОТЕКА
Серед цих тем
Шийка 5-ї п'ясткової кістки зламана в середньому відділі.
LIVING ART ENTERPRISES, LLC/НАУКОВА ФОТОБІБЛІОТЕКА