Мембранопроліферативний гломерулонефрит, опосередкований імуноглобулінами/імунними комплексами
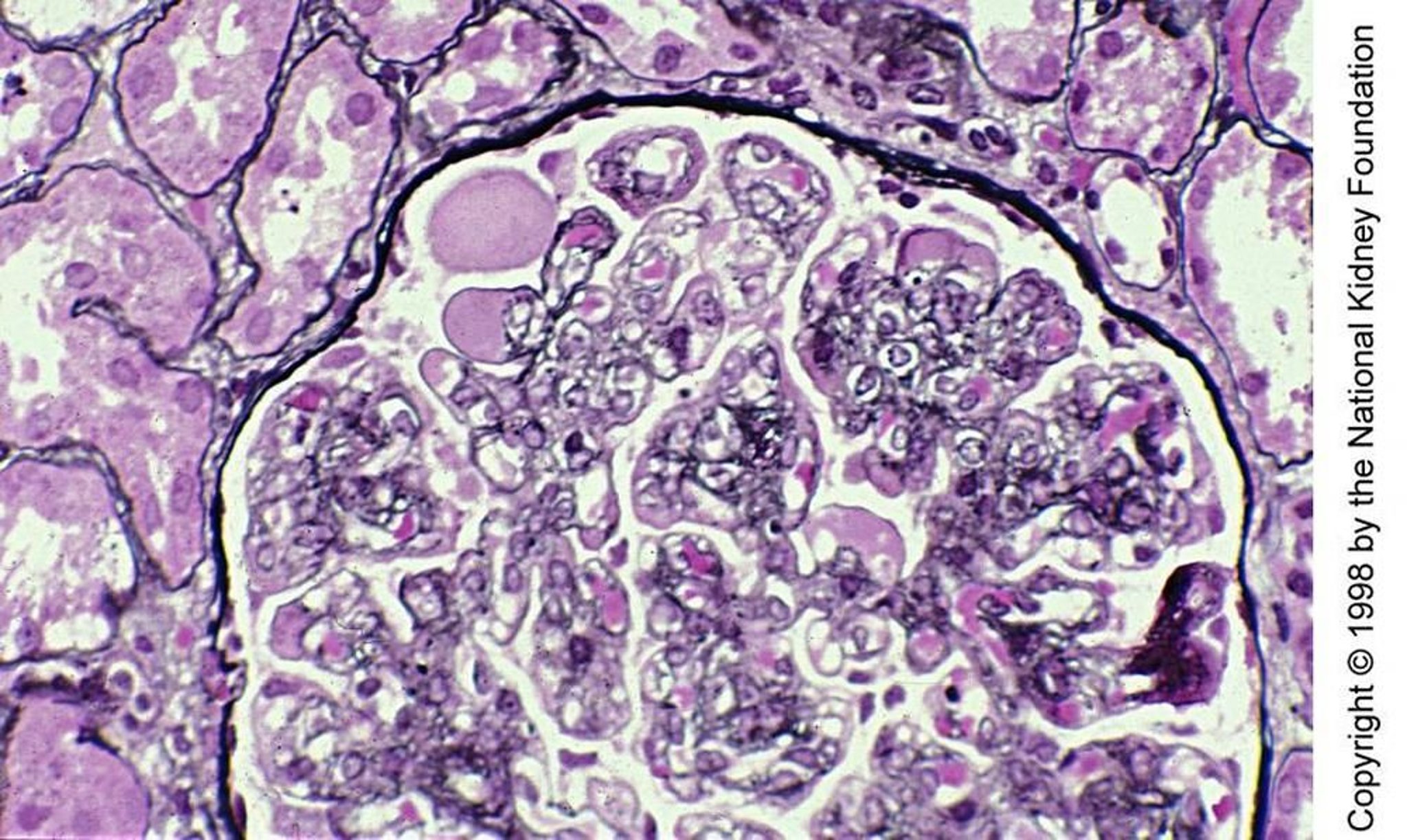
In immunoglobulin-/immune-complex-mediated membranoproliferative glomerulonephritis, chronic immune complex deposition (predominantly C3 and IgG or IgM) activates complement via the classic pathway within glomerular capillary walls and mesangium. The result is mesangial proliferation, glomerular basement membrane (GBM) thickening, interposition of mesangial cell cytoplasm between the GBM and endothelial cell, and glomerulosclerosis leading to kidney failure. GBM thickening is manifest here by double contours (Jones silver stain, ×400).
Image provided by Agnes Fogo, MD, and the American Journal of Kidney Diseases' Atlas of Renal Pathology (see www.ajkd.org).
Серед цих тем
