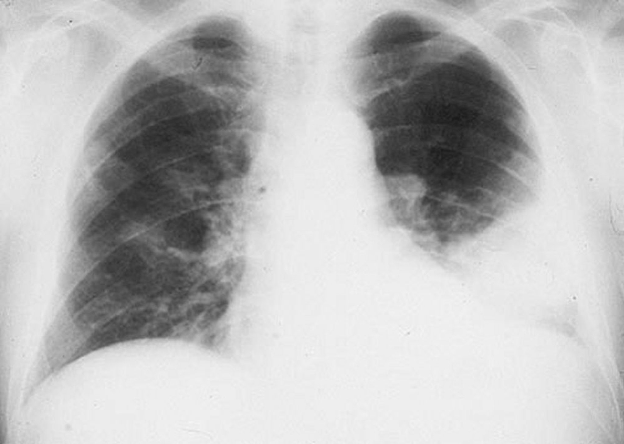
Left Lower Lobe Infiltrate
Alveolar infiltrate of the left lower lobe in a male with bacterial pneumonia.
By permission of the publisher. From Roberts R. In Atlas of Infectious Diseases: Pleuropulmonary and Bronchial Infections. Edited by GL Mandell (series editor) and MS Simberkoff. Philadelphia, Current Medicine, 1996.
Серед цих тем
