Гістіоцитоз з клітин Лангерганса (КТ голови)
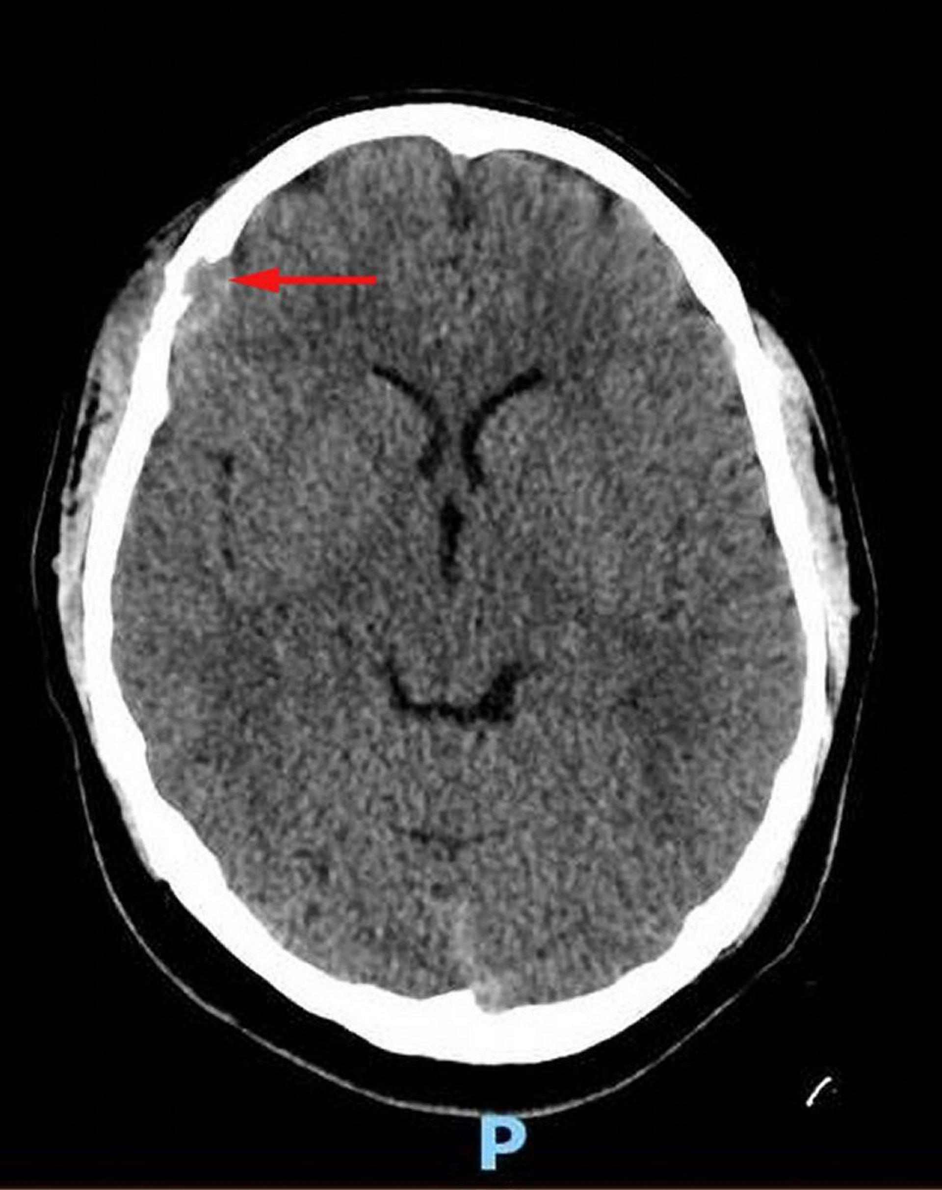
This image shows a soft-tissue lesion in the right frontal bone with associated osseous destruction and intracranial extension of soft tissue into the dural space (red arrow). Asymmetric overlying scalp soft tissue is present. Biopsy was diagnostic for Langerhans cell histiocytosis.
Image courtesy of Carolyn Fein Levy, MD, and Jeffrey M. Lipton, MD, PhD.
Серед цих тем
