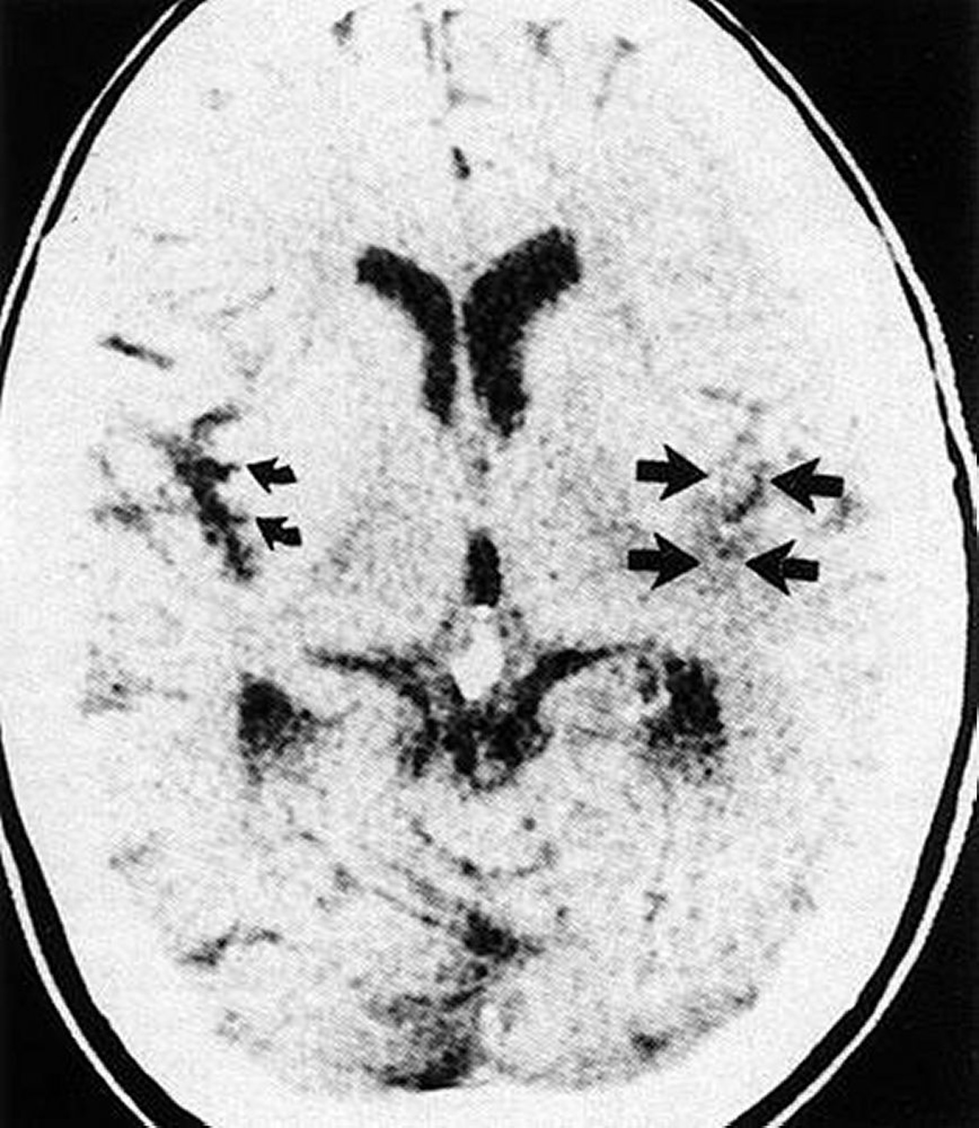
Insular Ribbon Loss
This CT scan shows effacement of the sylvian fissure and insular ribbon (straight arrows) on the infarcted side of brain compared with the normal insular ribbon (curved arrows).
By permission of the publisher. From Geremia G, Greenlee W. In Atlas of Cerebrovascular Disease. Edited by PB Gorelick and MA Sloan. Philadelphia, Current Medicine, 1996.
Серед цих тем
