Міозит із тільцями включення
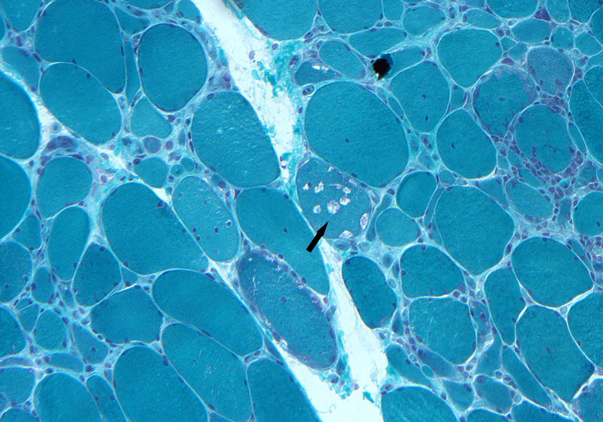
This biopsy specimen shows endomysial infiltrates, myofiber degeneration, and rimmed vacuoles (arrow).
Photo courtesy of Kinanah Yaseen, MD.
Серед цих тем
This biopsy specimen shows endomysial infiltrates, myofiber degeneration, and rimmed vacuoles (arrow).
Photo courtesy of Kinanah Yaseen, MD.