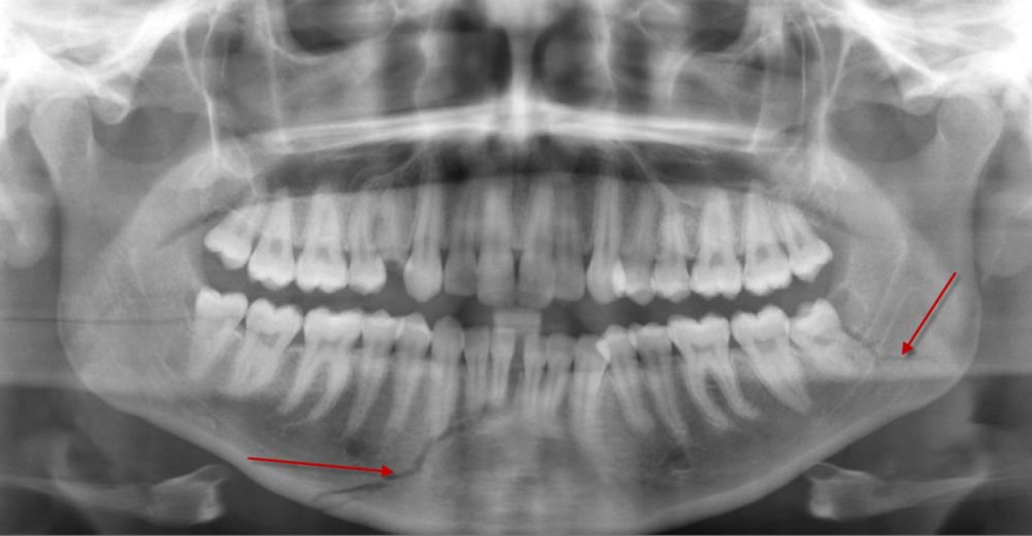
Перелом тіла нижньої щелепи
На цій панорамній рентгенограмі видно просвітління (стрілка знизу) в тілі нижньої щелепи, яке відповідає перелому, що досягає коренів деяких нижніх передніх зубів. Також спостерігається перелом кута нижньої щелепи зліва (стрілка).
DU CANE MEDICAL IMAGING LTD / НАУКОВА ФОТОБІБЛІОТЕКА
Серед цих тем
