Переломи нижньої щелепи та середньої зони обличчя

ЗаSam P. Most, MD, Stanford University Medical Center
ПереглянутоDavid A. Spain, MD, Department of Surgery, Stanford University
Переглянуто/перевірено бер. 2024 | Змінено жовт. 2024
v1112120_uk

Тупа травма обличчя може призвести до перелому щелепи й інших кісток середньої зони обличчя. Симптоми залежать від локалізації перелому. Діагноз встановлюють за даними стоматологічного рентгенологічного обстеження та КТ. Лікування може полягати в проведенні хірургічного втручання та/або зовнішній фіксації.

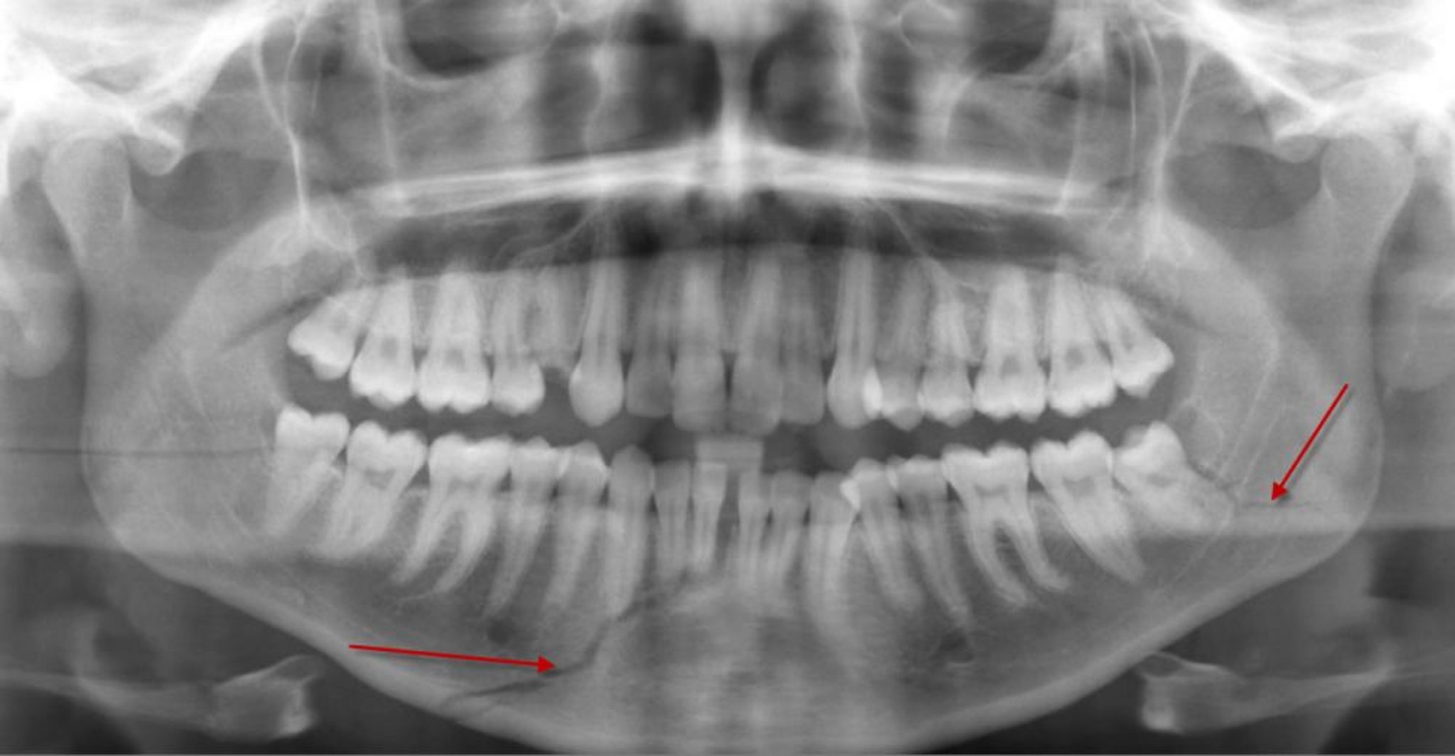
Переломи нижньої щелепи підозрюють у пацієнтів із посттравматичними аномаліями прикусу або локальним набряком, а також із болючістю над сегментом нижньої щелепи. Іншими важливими ознаками є дефекти (зміщення) оклюзійної поверхні зубів, тріщини альвеолярного гребеня та втрата чутливості в зоні іннервації нижнього альвеолярного нерва та підборідного нерва. При деяких переломах спостерігається нестабільність при пальпації. Для переломів виростка нижньої щелепи характерним є біль у ділянці перед вушною раковиною, набряк і обмежене відкривання рота (тризм). При переломі виростка нижньої щелепи на одному боці щелепа під час відкривання рота відхиляється в пошкоджений бік.

Переломи середньої зони обличчя, що охоплює область від верхнього краю очниці до зубів верхньої щелепи, можуть призвести до порушення рівного контуру щік, виличних бугрів, виличної дуги або країв очниць. Для опису переломів середньої зони обличчя можна використовувати класифікацію Ле Фора (див. рисунок Класифікація переломів середньої зони обличчя за Ле Фором). Травматична аномалія прикусу та переломи верхнього альвеолярного гребеня можуть свідчити про перелом верхньої щелепи із пошкодженням оклюзійної поверхні.

На перелом нижньої стінки очниці вказує втрата чутливості в зоні іннервації підочноямкового нерва, наявності енофтальму або диплопії. Пошкодження поруч з очною ямкою потребує обстеження ока, яке включає принаймні оцінювання гостроти зору, стану зіниць й рухів зовнішніх очних м’язів (див. також Перелом нижньої стінки очної ямки при тупій травмі ока).

Перелом виличної дуги підозрюють за наявності тризму та дефекту при пальпації виличної дуги. Вдавлення на іпсилатеральній щоці спочатку не завжди видно через набряк.

Можливим є ушкодження головного мозку та перелом шийних хребців, якщо травма була достатньо тяжкою, щоб призвести для перелому кісток обличчя. При значних травмах, завданих ударом, крововилив та набряк внаслідок перелому кісток обличчя можуть порушити дихальні шляхи.

Класифікація переломів середньої зони обличчя за Ле Фором

I: I: лише нижні відділи верхньої щелепи; II: нижній край очниці; III: повний відрив середньої зони обличчя від черепа (краніофаціальна дисоціація).

Діагностика переломів нижньої щелепи та середньої зони обличчя

  • Рентгенологічне обстеження та/або КТ

Панорамна рентгенографія зубів є найкращим методом дослідження при ізольованому переломі нижньої щелепи. Для діагностики переломів кісток обличчя проводять комп’ютерну томографію з тонкими зрізами (товщина зрізу 1 мм) в аксіальній і фронтальній площинах.

Лікування переломів нижньої щелепи та середньої зони обличчя

  • Тактика ведення переломів

  • Іноді ендотрахеальна інтубація, антибіотики

Для підтримки прохідності дихальних шляхів пацієнтам із крововиливом, набряком або значним пошкодженням тканин може бути потрібна оральна ендотрахеальна інтубація. Специфічне лікування переломів кісток обличчя є складним завданням і може передбачати внутрішню фіксацію.

Переломи зубної комірки

Переломи, що проходять через зубну комірку, вважаються відкритими. У разі таких переломів необхідне профілактичне застосування антибіотиків (зазвичай антибіотиків широкого спектра дії, які особливо ефективні проти анаеробних мікроорганізмів, наприклад пеніциліну), які приймають перорально у вигляді рідини або парентерально.

Переломи кісток нижньої щелепи

При переломах нижньої щелепи методика лікування варіює від виключно рідинної дієти до максилломандибулярної фіксації (з’єднують зімкнуті щелепи дротом), жорсткої відкритої фіксації або їх поєднання. Якщо фіксація можлива протягом декількох перших годин після травми, ушивання будь-яких рваних ран губ або ротової порожнини слід відкласти до виконання репозиції. Для максилломандибулярної фіксації використовують металеві дуги (аркові дуги), які закріплюють на щічній поверхні верхніх і нижніх зубів і потім після відновлення правильного прикусу з’єднують між собою дротом. Пацієнти з максилломандибулярною фіксацією завжди повинні мати при собі кусачки на випадок блювання. Зазвичай бажано проводити ранню мобілізацію, незважаючи на те, що, можливо, потрібно буде зберігати фіксацію декілька тижнів. Харчування обмежене рідиною, пюре та харчовими добавками.

Оскільки поверхні зубів можна чистити лише частково, для запобігання нальоту, інфекції та неприємного запаху з рота пацієнту призначають щоденне полоскання 30 мл 0,12 % розчином хлоргексидину впродовж 60 секунд щоранку та щовечора. Вправи з відкриттям рота зазвичай допомагають відновити функцію після зняття фіксаторів.

Цінні поради та підводні камені

  • Пацієнтам з максилломандибулярною фіксацією слід порадити завжди мати при собі кусачки на випадок блювання.

При переломах виростка може бути потрібна максилломандибулярна фіксація лише на 2–3 тижні з наступною рідинною дієтою. Однак у разі двобічних переломів виростків зі значним зсувом може бути потрібна відкрита репозиція та фіксація. При переломах виростка в дітей жорстку іммобілізацію застосовувати не можна через ризик виникнення анкілозу та неправильного розвитку обличчя. Зазвичай досить гнучкої (еластичної) фіксації на 5–10 днів.

Переломи середньої зони обличчя

Переломи середньої зони обличчя лікують хірургічно, якщо вони призводять до аномалій прикусу, енофтальму, диплопії, порушення чутливості в зоні іннервації підочноямкового нерва або неприйнятної косметичної деформації. Хірургічне лікування зазвичай передбачає внутрішню стабілізацію тонкими гвинтами та пластинами. Часто хірургічне втручання можна відкласти до зменшення набряку, особливо якщо немає чітких показань для його проведення. Проте якщо потрібне хірургічне втручання, його краще проводити протягом 14 днів із моменту травми, тому що згодом кістковий мозоль може утруднити репозицію.