Coronal Reconstruction CT Pulmonary Angiography
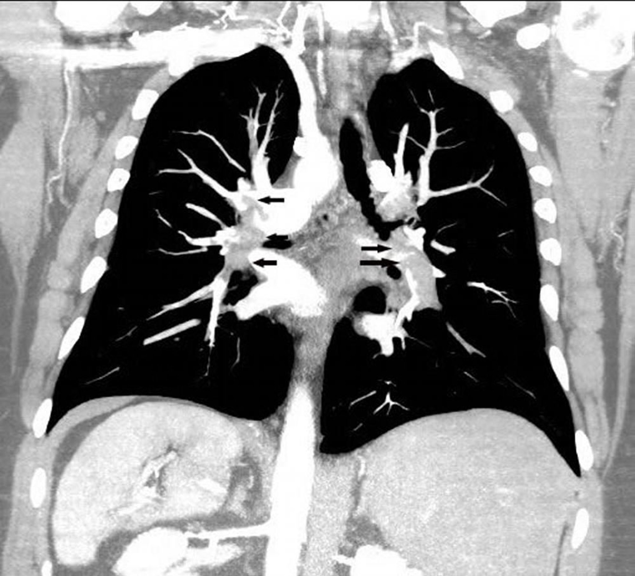
Coronal reconstruction CT pulmonary angiogram shows an extensive pulmonary embolus in both pulmonary arteries (arrows).
Image courtesy of Hakan Ilaslan, MD.
Серед цих тем
Coronal reconstruction CT pulmonary angiogram shows an extensive pulmonary embolus in both pulmonary arteries (arrows).
Image courtesy of Hakan Ilaslan, MD.