Cerebellar Abscess
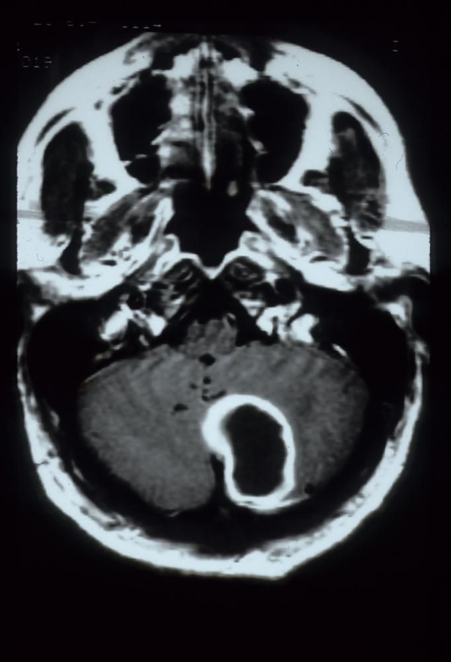
This gadolinium-enhanced MRI scan shows a cerebellar abscess, which appears as a large, rim-enhancing cavitary lesion in the left cerebellar hemisphere.
Courtesy of John E. Greenlee, MD.
Серед цих тем
This gadolinium-enhanced MRI scan shows a cerebellar abscess, which appears as a large, rim-enhancing cavitary lesion in the left cerebellar hemisphere.
Courtesy of John E. Greenlee, MD.