Бронхоектаз (комп'ютерна томографія)
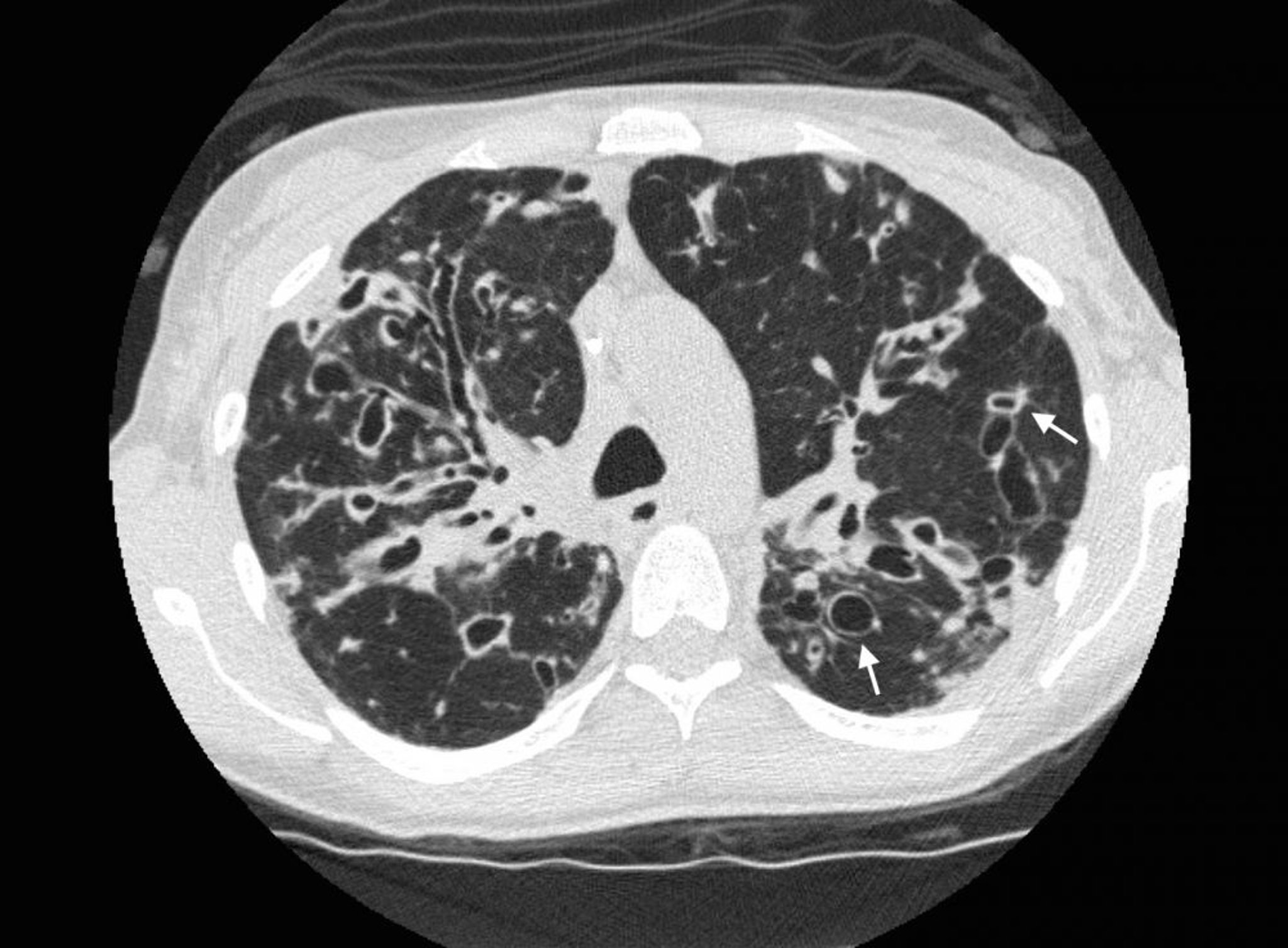
A chest CT in a patient with cystic fibrosis shows severe bronchiectasis in the upper lung zones with dilated airways and cystic changes. Arrows show the signet ring sign, where a dilated airway (the ring) is adjacent to a smaller artery (the top of the ring). Normally, airways are the same size as, or smaller than, the adjacent arteries.
Photo courtesy of Başak Çoruh, MD.
Серед цих тем
