Крововилив у передню камеру (гіфема)
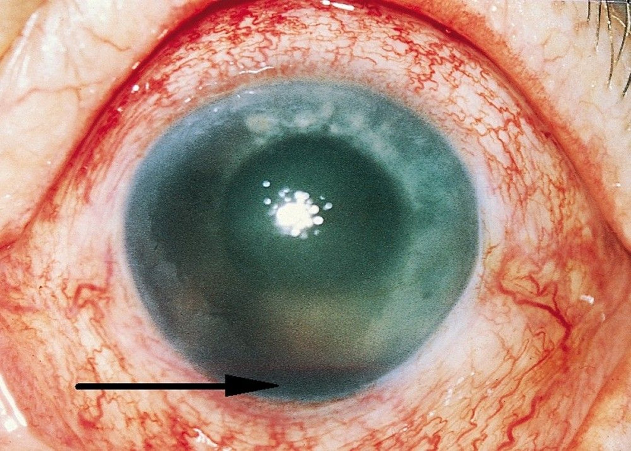
У цього пацієнта присутня травматична гіфема (стрілка) та ін'єкція кон'юнктиви після травматичного ушкодження ока.
© Springer Science+Business Media
Серед цих тем
У цього пацієнта присутня травматична гіфема (стрілка) та ін'єкція кон'юнктиви після травматичного ушкодження ока.
© Springer Science+Business Media