Адамантинома
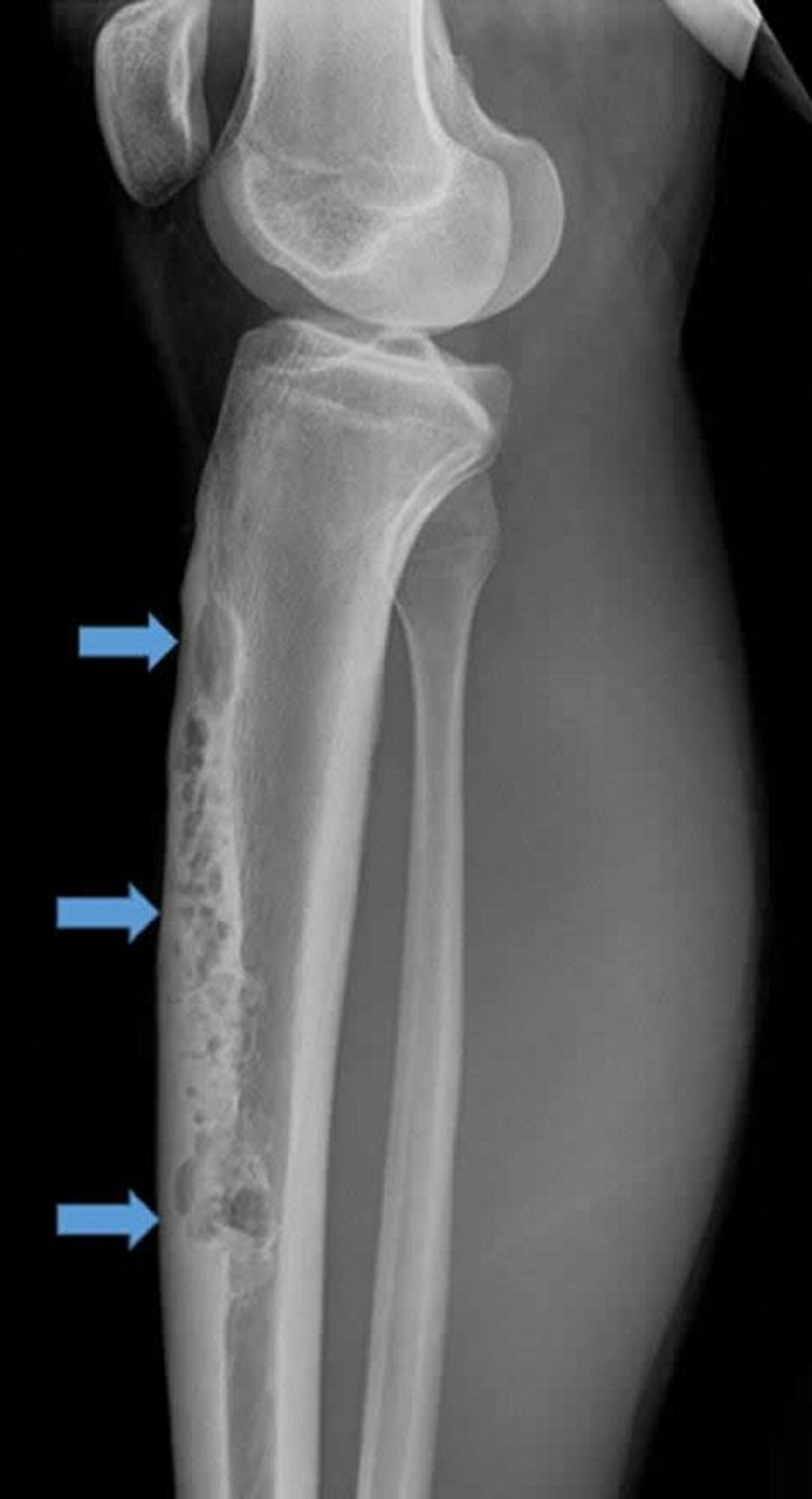
This lateral radiograph of right tibia shows a large anterior intracortical adamantinoma (arrows). Note the permeative, osteolytic "soap bubble" appearance.
Image courtesy of Michael J. Joyce, MD, and Hakan Ilaslan, MD.
Серед цих тем
This lateral radiograph of right tibia shows a large anterior intracortical adamantinoma (arrows). Note the permeative, osteolytic "soap bubble" appearance.
Image courtesy of Michael J. Joyce, MD, and Hakan Ilaslan, MD.