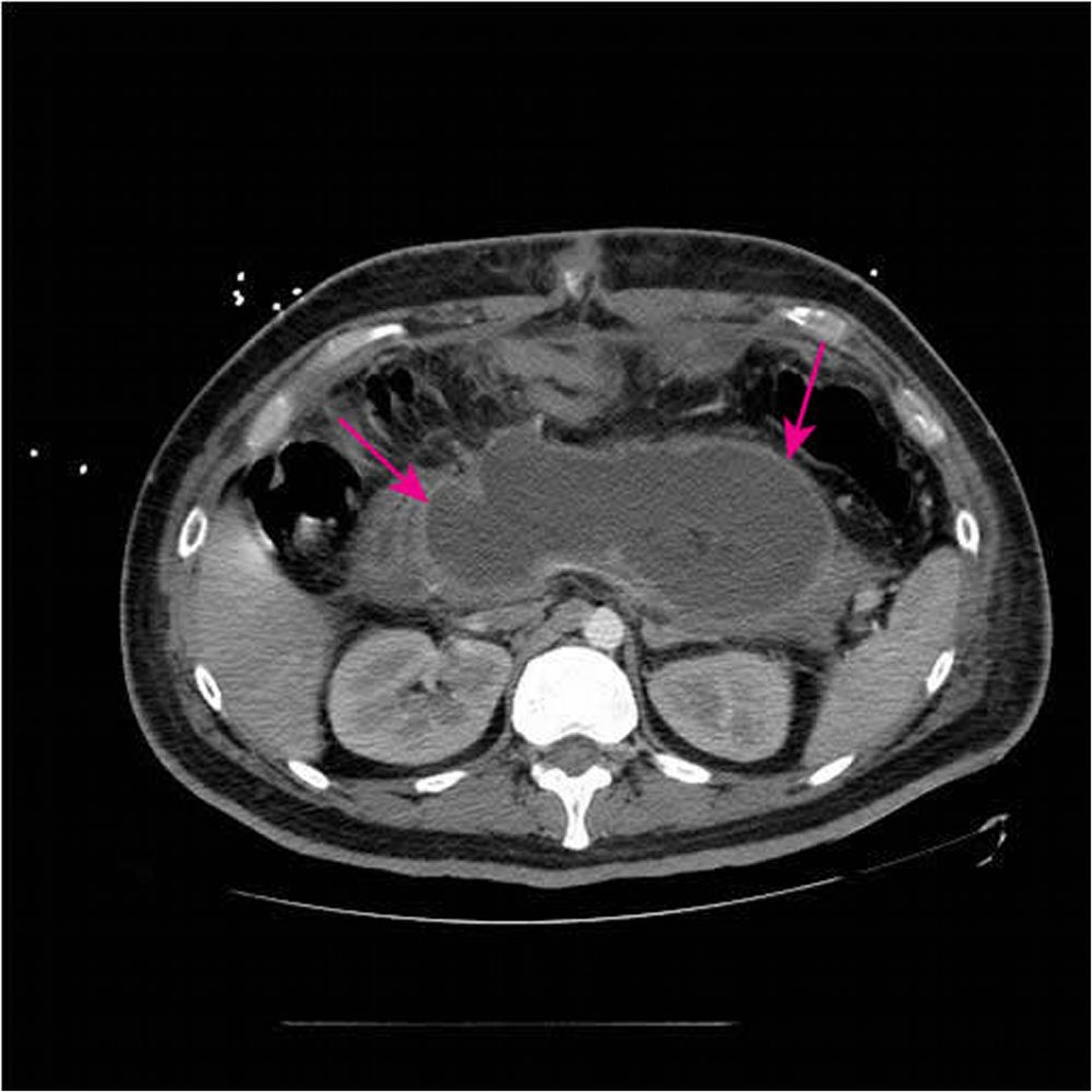
Acute Necrotizing Collection
This CT scan with IV and oral contrast shows a large acute necrotizing collection (arrows) replacing most of the pancreatic tissue < 4 weeks from initial presentation of necrotizing pancreatitis.
Image courtesy of Sonam Rosberger, MD.
Серед цих тем
