Abdominal Aortic Aneurysm (Ultrasound)
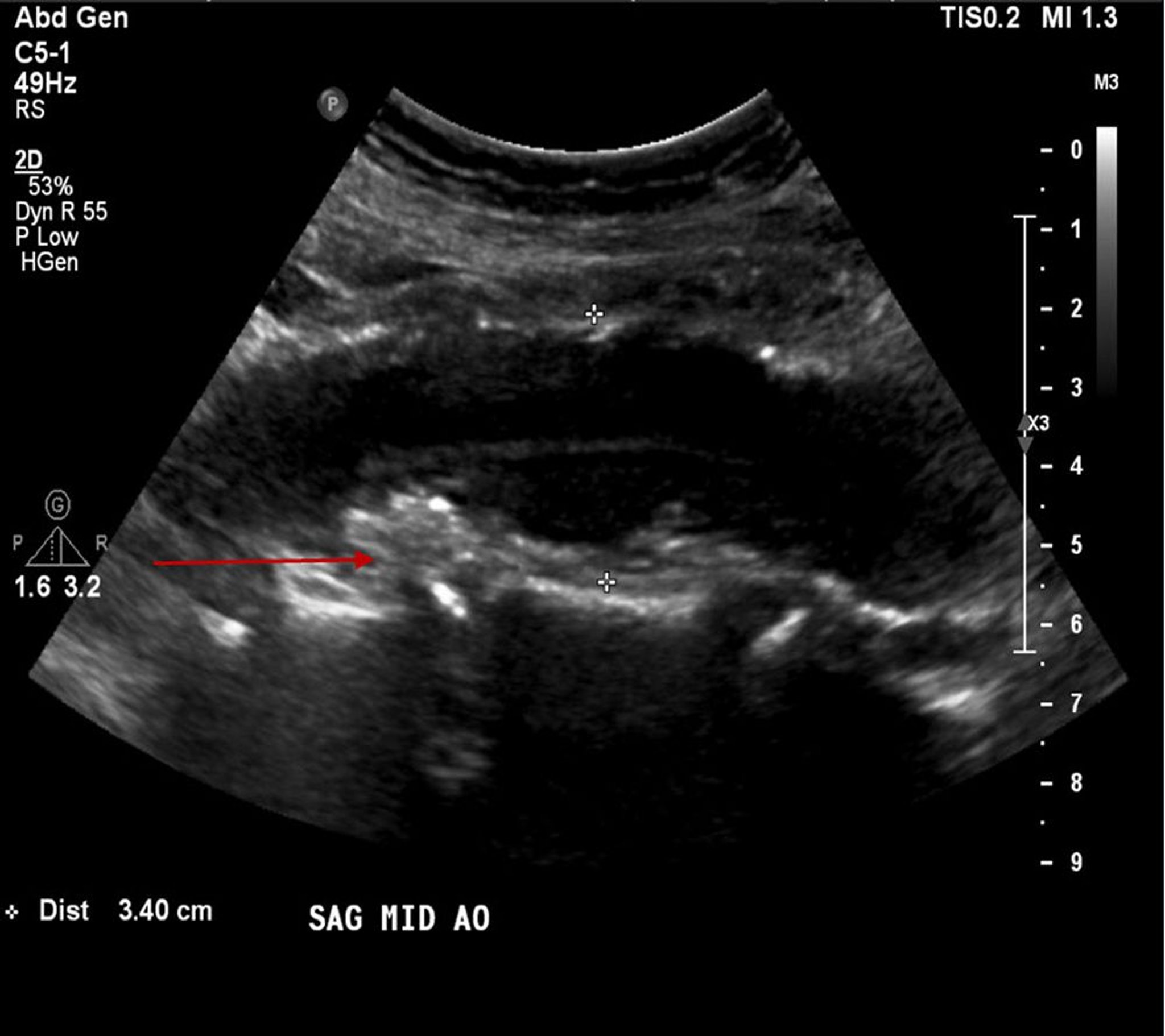
This patient has an abdominal aortic aneurysm measuring 3.4 cm (between the white crosses) as well as atherosclerotic plaque or mural thrombus (red arrow).
© 2017 Elliot K. Fishman, MD.
Серед цих тем
This patient has an abdominal aortic aneurysm measuring 3.4 cm (between the white crosses) as well as atherosclerotic plaque or mural thrombus (red arrow).
© 2017 Elliot K. Fishman, MD.