Kijishimo Kilichojaa Damu kwenye Mfupa
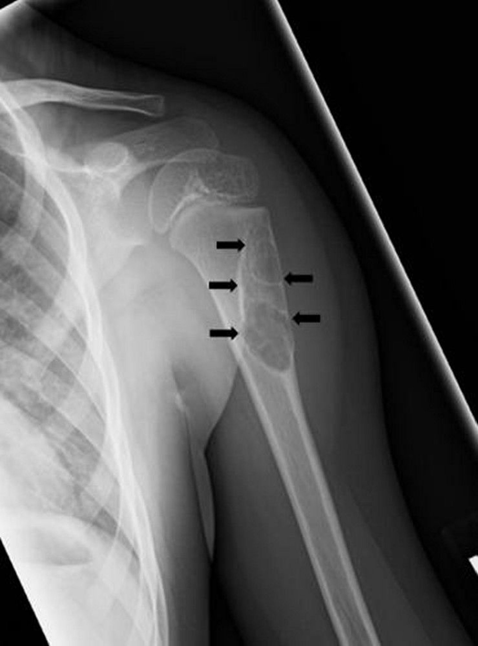
This x-ray shows a simple unicameral bone cyst (arrows) in the upper arm bone.
Image courtesy of Michael J. Joyce, MD, and Hakan Ilaslan, MD.
Katika mada hizi
This x-ray shows a simple unicameral bone cyst (arrows) in the upper arm bone.
Image courtesy of Michael J. Joyce, MD, and Hakan Ilaslan, MD.