Moyo Uliotanuka
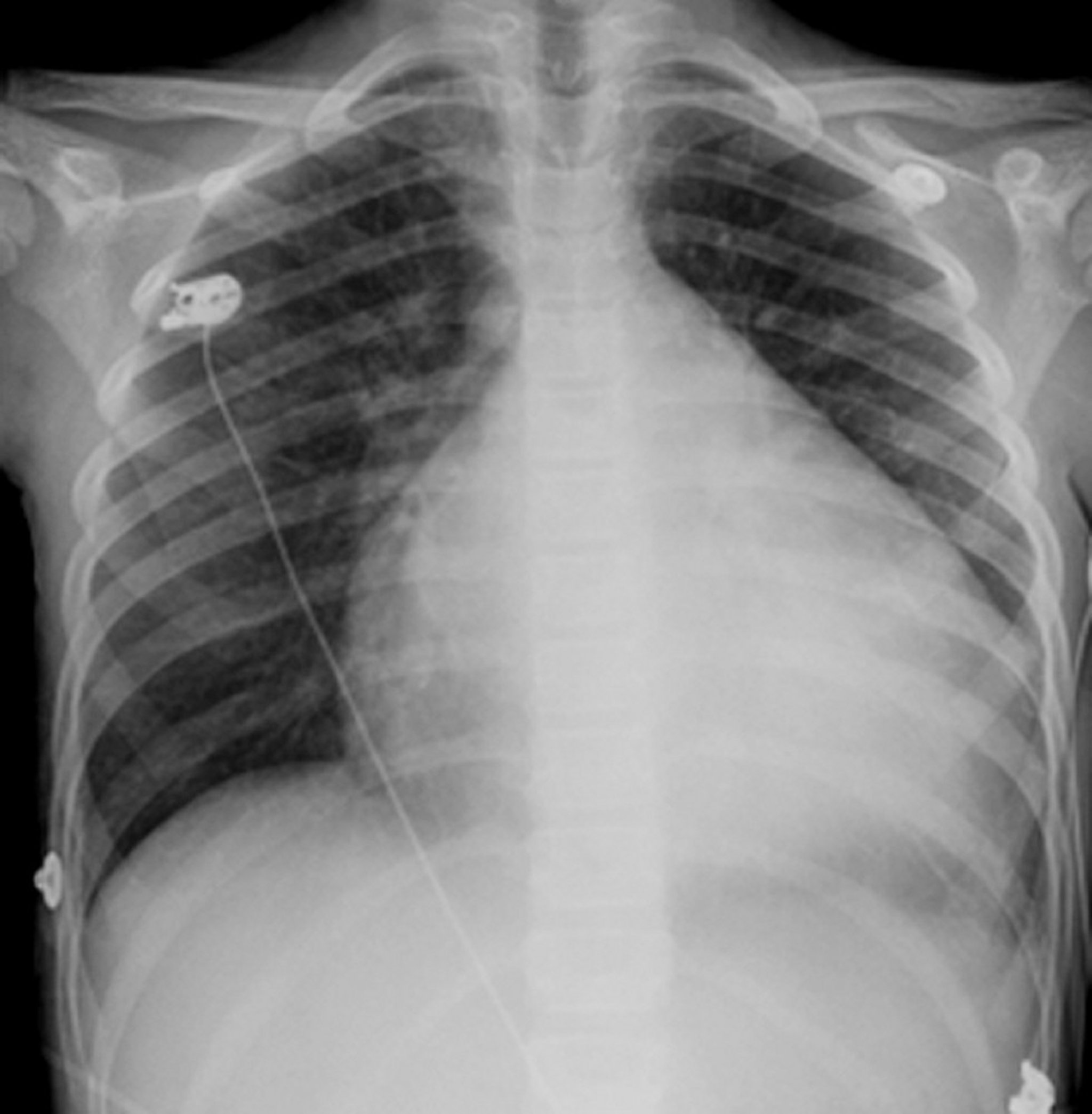
The heart is the globular, white structure in the middle of the chest. Usually it occupies less than half the chest but, in this person who has an enlarged heart (cardiomyopathy), the heart is almost 3/4 the dimension of the chest.
© Springer Science+Business Media
Katika mada hizi
