Chondromyxofibroma
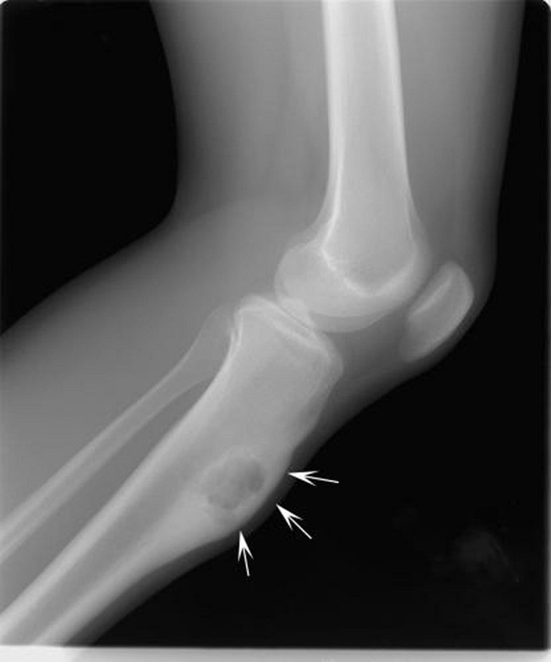
This x-ray of the knee shows a chondromyxofibroma (arrows) in the shin bone below the knee.
Image courtesy of Michael J. Joyce, MD, and Hakan Ilaslan, MD.
Katika mada hizi
This x-ray of the knee shows a chondromyxofibroma (arrows) in the shin bone below the knee.
Image courtesy of Michael J. Joyce, MD, and Hakan Ilaslan, MD.