Pneumonia ya Kemikali Iliyosababishwa na Kuvuta Hidrokaboni
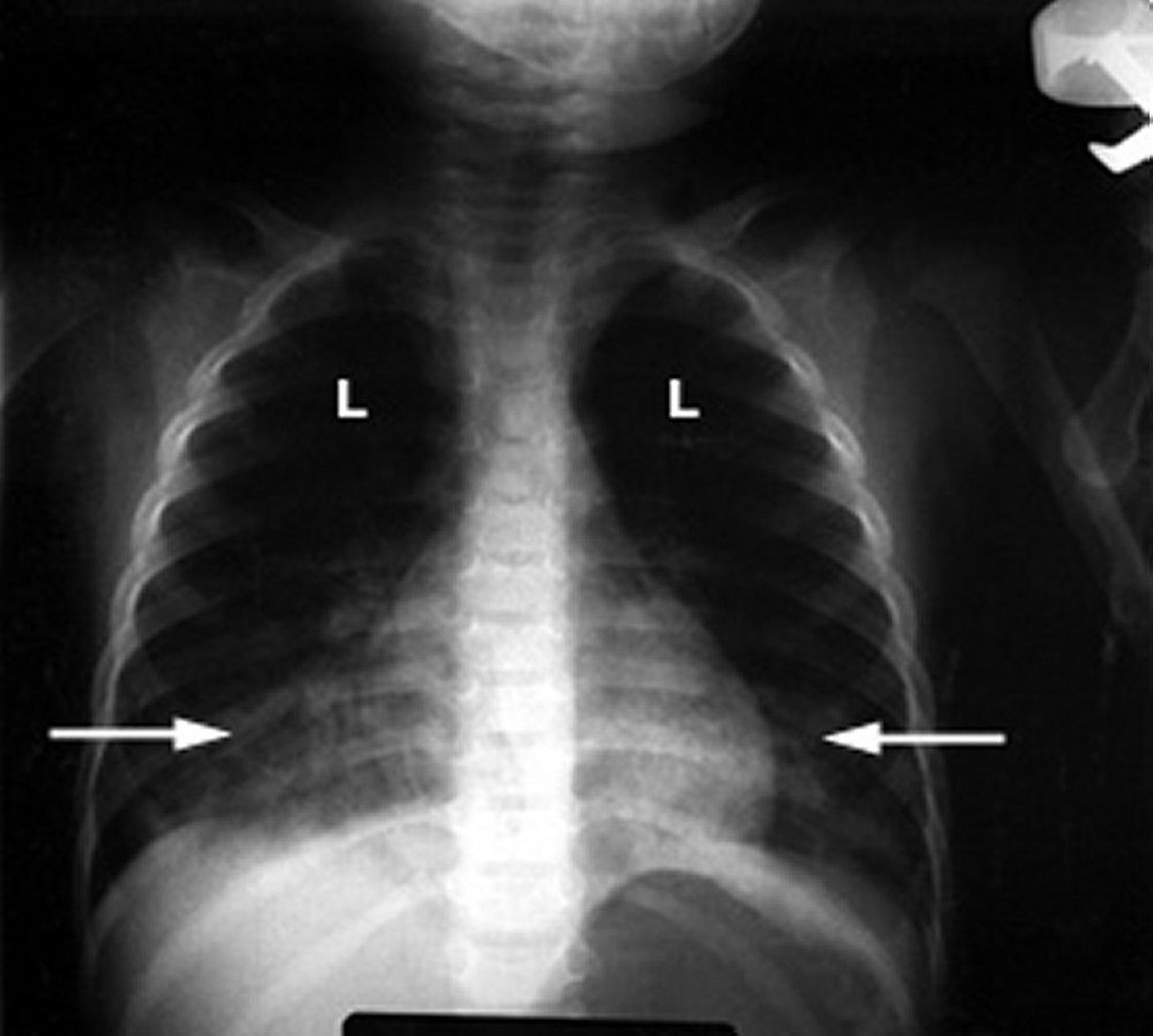
An abnormal chest x-ray in an infant shows white fluffy infiltrates (arrows) in the lungs (L), indicating inflammation. This finding is typical of lung damage due to hydrocarbon poisoning.
Courtesy of G. Schmidt, MD.
Katika mada hizi
