honeypot link
ruka kwa maudhui makuu
  • tufuatilie kwenye
  • tufuatilie kwenye
Mwongozo wa MSDToleo la Mtumiaji
VIDOKEZO VYA HARAKAMADA ZA AFYAKUISHI MAISHA YENYE AFYA NJEMADALILIHALI ZA DHARURARASILIMALIKUHUSU SISIMAONI
homeVIDOKEZO VYA HARAKAMADA ZA AFYA
Search icon
  1. <Picha
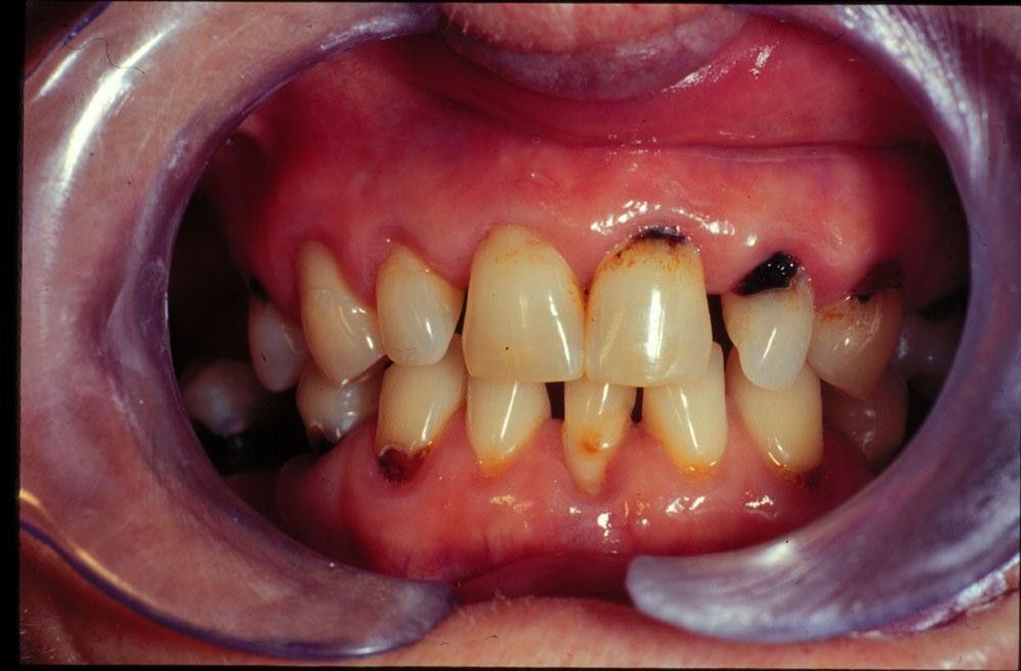
    Matundu kwenye meno

    Matundu kwenye meno

    This image shows new and recurring cavities in a person with dry mouth.

    Image provided by Jonathan A. Ship, DMD.

    Katika mada hizi
    • Matundu kwenye meno >
    MSD
    • Kuhusu
    • Kanusho
    • Ruhusa
    • Faragha
    • Mapendeleo ya Vidakuzi
    • Masharti ya matumizi
    • Utoaji Leseni
    • Wasiliana Nasi
    • Maarifa ya Matibabu ya Kimataifa
    • Mwongozo wa Tiba ya Mifugo
    • Programu ya Vifaa vya Mkononi
    • tufuatilie kwenye
    • tufuatilie kwenye
    • tufuatilie kwenye
    • tufuatilie kwenye
    MSD

    Hakimiliki© 2026Merck & Co., Inc., Rahway, NJ, USA na washirika wake. Haki zote zimehifadhiwa.