Necrotizing Ulcerative Gingivitis Kali
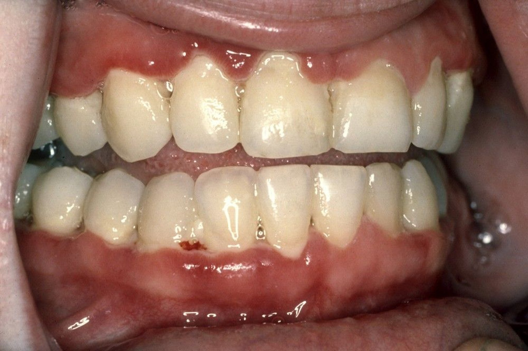
Acute necrotizing ulcerative gingivitis (ANUG) is characterized by painful gums that bleed easily, the erosion and death of gum tissue between the teeth, and foul-smelling breath. In this photo, gum tissue is fiery red. Best seen along the lower front gumline, there is also a thin line of gray, dead tissue (pseudomembrane) that bleeds easily.
Image courtesy of Craig Fowler, DDS
Katika mada hizi
