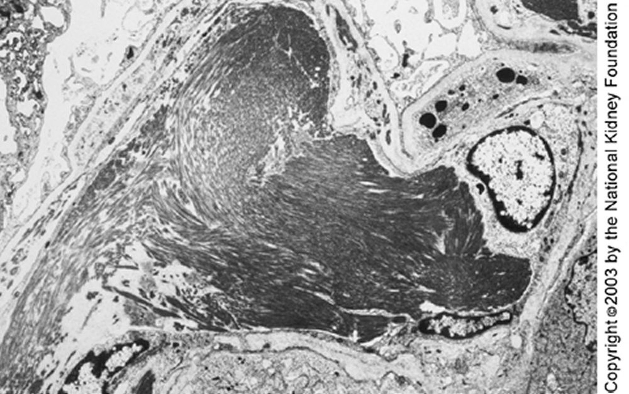
Иммунотактоидная гломерулопатия
На просвечивающей электронной микроскопии можно увидеть крупные микротрубочки (диаметром около 50 нм), организованные в параллельные пучки. Иммунотактоидную гломерулопатию можно отличить от фибриллярной по характерным признакам — параллельному расположению отложений и микротрубочковой структуре (×4000).
Image provided by Agnes Fogo, MD, and the American Journal of Kidney Diseases' Atlas of Renal Pathology (see www.ajkd.org).
По этим темам
