Предоставлено Вамmsd logo
This site is not intended for use in the Russian Federation

Ишемический инсульт

Авторы:Andrei V. Alexandrov, MD, The University of Tennessee Health Science Center;
Balaji Krishnaiah, MD, The University of Tennessee Health Science Center
Reviewed ByMichael C. Levin, MD, College of Medicine, University of Saskatchewan
Проверено/пересмотрено Изменено июн. 2025
v1034640_ru
Вид

Ишемический инсульт является внезапной неврологической недостаточностью, вызванной очаговой ишемией головного мозга с постоянным инфарктом мозга (например, положительные результаты при диффузионно-взвешенном МРТ). Наиболее частыми причинами являются: атеротромботические окклюзии крупных артерий; эмболии сосудов головного мозга (эмболический инфаркт); нетромботическая окклюзия мелких, глубоких мозговых артерий (лакунарный инфаркт); и проксимальный стеноз проксимальных артерий с гипотензией, который уменьшает мозговое кровообращение в зонах артериального водораздела (гемодинамический инсульт). В трети случаев ишемических инсультов к моменту выписки пациента из стационара причина так и не устанавливается; такие инсульты относятся к категории криптогенных. Диагноз устанавливается на основании клинических данных, но КТ или МРТ проводятся с целью исключения кровоизлияния и подтверждения наличия инфаркта и его размеров. Экстренная тромболитическая терапия может быть полезна некоторым пациентам. В зависимости от причины инсульта, способствовать снижению риска последующих инсультов могут эндартерэктомия или стентрование сонной артерии, применение антиагрегантов или антикоагулянтов.

Этиология ишемического инсульта

Повышенному риску развития ишемического инсульта способствуют ниже перечисленные, поддающиеся устранению факторы риска:

К неустранимым факторам риска относятся следующие:

  • Инсульт в анамнезе

  • Пол

  • Расовая/этническая принадлежность

  • Пожилой возраст

  • Семейный анамнез инсульта

Наиболее распространенные причины ишемического инсульта можно классифицировать как:

  • Криптогенный инсульт (т.е., отсутствует явная кардиоэмболичесая, лакунарная или атеросклеротическая причина; наиболее распространенная классификация)

  • Кардиоэмболия

  • Лакунарные инфаркты

  • Атеросклероз крупных сосудов (4-я наиболее частая причина)

Криптогенный инсульт

Инсульт классифицируется как криптогенный, если присутствует одно из следующего:

  • Диагностическая оценка является неполной.

  • Причина не выявляется несмотря на обширное обследование (КТ или МРТ, визуализация церебральных сосудов и кардиологическое обследование).

  • Существует более одной вероятной причины (например, фибрилляция предсердий и ипсилатеральный стеноз сонной артерии).

Эмболический инсульт из неустановленного источника (ESUS), подкатегория криптогенного инсульта, диагностируется, когда источник не был идентифицирован после того, как достаточная диагностическая оценка исключает лакунарный инсульт, основные кардиоэмболические источники и ипсилатеральную стеноз-окклюзионную болезнь (> 50% окклюзии). Последние данные свидетельствуют о том, что симптоматическая нестенозная болезнь сонных артерий с < 50% окклюзией может быть важной причиной инсульта (1).

Кардиоэмболия

Эмбол может закупорить любой участок артериальной системы.

Эмболы могут образовываться как тромбы полостей сердца, особенно при наличии следующих факторов:

  • Фибрилляция предсердий

  • Ревматическом поражении сердца (обычно стеноз митрального клапана)

  • После инфаркта миокарда

  • Вегетации на клапанах сердца при бактериальном или токсическом эндокардите

  • Миксома предсердия

  • С протезированными клапанами сердца

  • Механические аппараты вспомогательного кровообращения (например, левожелудочковый аппарат вспомогательного кровообращения или ЛАВК [2])

  • Открытое овальное окно

Патентное овальное окно (ПОО) является частой причиной криптогенного инсульта у молодых пациентов, в основном из-за парадоксальной эмболии. Большой размер ПОО и ассоциированная аневризма межпредсердной перегородки создают более высокий риск инсульта. Закрытие ПОО может снизить риск повторного инсульта у тщательно отобранных пациентов (3).

Другими источниками эмболии могут быть тромбы, образующиеся при открытых операциях на сердце, и атеромы экстракраниальных сосудов – дуги аорты и сосудов шеи. Реже, эмболия бывает жировой (при переломах трубчатых костей), газовой (при кессонной болезни), а также встречается эмболия венозными тромбами, которые переходят из правой половины сердца в левую через открытое овальное окно (парадоксальная эмболия). Эмболы отрываются спонтанно или после инвазивных манипуляций на сердце и сосудах (например, при канюляции). В редких случаях, эмболический инсульт развивается вследствие тромбоза подключичной артерии, и при этом эмболии подвергаются позвоночные артерии и их ветви.

Лакунарные инфаркты

Ишемический инсульт также может быть связан с формированием лакунарных инфарктов. Лакунарные инфаркты — это небольшие инсульты ( 1,5 см), которые происходят в глубоких структурах мозга, таких как базальные ганглии, таламус и мост. Они чаще всего обусловлены основными факторами риска цереброваскулярных заболеваний, такими как гипертензия и диабет. Эти небольшие инфаркты обусловлены обструкцией мелких перфорирующих артерий, которые кровоснабжают глубокие корковые структуры. Считается, что причиной обструкции этих сосудов является липогиалиноз (дегенерация стенки мелких артерий и ее замещение липидами и коллагеном). Причиной лакунарных инфарктов также могут стать эмболы.

При инсульте, затрагивающем эти области у пациента без характерных сосудистых факторов риска, а также при размере инфаркта > 1,5 см, следует рассматривать возможность иного механизма, например центрального эмболического источника (из сердца или проксимальных артерий).

Атеросклероз крупных сосудов

Атеросклероз крупных сосудов может поражать интракраниальные или экстракраниальные артерии.

Атеросклеротическая бляшка, особенно изъязвленная, является очагом для образования тромба. Формирование атеросклеротической бляшки возможно в любой из крупных церебральных артерий, но более характерно в местах турбулентного кровотока, особенно в области бифуркации сонной артерии. Чаще всего неполный тромбоз или тромботическая окклюзия формируются в основном стволе средней мозговой артерии и ее ветвях, а также крупных артериях основания мозга, глубоких перфорирующих артериях и мелких корковых ветвях. Нередко поражаются основная артерия и супраклиноидный отдел внутренней сонной артерии, т.е., ее сегмент между кавернозным синусом и супраклиноидным отростком.

Другие причины

Менее распространённые причины ишемического инсульта включают сосудистое воспаление, возникающее вторично при таких заболеваниях, как острый или хронический менингит, васкулит и сифилис; расслоение внутричерепных артерий или аорты; нарушения свертываемости крови (например, антифосфолипидный синдром, гипергомоцистеинемия, злокачественные новообразования); нарушения вязкости крови (например, полицитемия, тромбоцитоз, гемоглобинопатии, заболевания плазматических клеток); а также редкие заболевания (например, фибромускулярная дисплазия, болезнь Моямоя, болезнь Бинсвангера).

У детей серповидно-клеточная анемия является частой причиной ишемического инсульта.

Любой фактор, который ухудшает систему кровообращения, (например, токсическое воздействие окиси углерода, тяжелая анемия или гипоксия, полицитемия, гипотония) повышает риск развития всех видов ишемических инсультов. Инсульт может происходить в пограничных областях, между кровотоками отдельных артерий; в таких областях кровоснабжение в норме низкое, особенно, если пациенты страдают гипотонией и/или, если главные церебральные артерии являются суженными.

Реже, ишемический инсульт развивается вследствие сосудистого спазма (например, при мигрени, после субарахноидального кровоизлияния, применения симпатомиметических наркотиков или препаратов, таких как кокаин или амфетамины) или тромбоза венозных синусов (например, при внутричерепной инфекции, после оперативных вмешательств, при родах, на фоне гиперкоагуляции).

Справочные материалы по этиологии

  1. 1. Ospel JM, Kappelhof M, Ganesh A, Kallmes DF, Brinjikji W, Goyal M. Symptomatic non-stenotic carotid disease: current challenges and opportunities for diagnosis and treatment. J Neurointerv Surg. 2024;16(4):418-424. Published 2024 Mar 14. doi:10.1136/jnis-2022-020005

  2. 2. Caprio FZ, Sorond FA. Cerebrovascular Disease: Primary and Secondary Stroke Prevention. Med Clin North Am. 2019;103(2):295-308. doi:10.1016/j.mcna.2018.10.001

  3. 3. Caso V, Turc G, Abdul-Rahim AH, et al. European Stroke Organisation (ESO) Guidelines on the diagnosis and management of patent foramen ovale (PFO) after stroke. Eur Stroke J. 2024;9(4):800-834. doi:10.1177/23969873241247978

Патофизиология ишемического инсульта

Недостаточный кровоток в отдельной мозговой артерии может часто компенсироваться эффективной работой системы коллатералей, особенно между сонными и позвоночными артериями через анастомозы в виллизиевом круге, и, в меньшей степени, между крупными артериями полушарий головного мозга. Однако, анатомические вариации виллизиева круга и диаметре коллатеральных сосудов, атеросклероз и другие приобретенные поражения артерий могут прервать коллатеральный поток, увеличивая вероятность того, что закупорка одной артерии вызовет ишемию мозга.

Некоторые нейроны погибают, когда церебральная перфузия снижается на < 5% от нормы в течение > 5 минут, и в то же время размер очага поражения зависит от выраженности ишемии. При ишемии легкой степени процесс повреждения нервной ткани протекает медленно. Так, если перфузия снижается на 40% от нормальных значений, то до гибели всех нейронов в зоне ишемии может пройти 3–6 часов. Если же тяжелая ишемия продолжается > 15–30 минут, все пораженные ткани отмирают (инфаркт). Повреждение развивается быстрее в условиях гипертермии и медленнее при гипотермии. Если ткани находятся в состоянии ишемии, но повреждение еще обратимо, то быстрое возобновление кровотока может предотвратить некроз ткани или сократить его объем. К примеру, вмешательства имеют возможность восстановить жизнеспособность умеренно ишемизированной ткани (пенумбра), которая часто окружена зонами тяжелой ишемии; пенумбры существуют благодаря коллатеральным кровотокам.

Механизмы ишемического поражения включают следующее:

  • Отеки

  • Микроваскулярный тромбоз

  • Запрограммированная гибель клеток (апоптоз)

  • Инфаркт с некрозом клеток

Медиаторы воспаления (например, интерлейкин-1-бета, фактор некроза опухоли-альфа) способствуют возникновению отека и тромбоза микрососудов. Отек, если он острый или обширный, может увеличивать внутричерепное давление.

К гибели клетки могут привести многие факторы: снижение запасов аденозина трифосфата (АТФ), нарушение ионного гомеостаза (в том числе, накопление внутриклеточного кальция), перекисное окисление липидов свободными радикалами с повреждением клеточных мембран (железо-опосредованный процесс), действие возбуждающих нейротоксинов (например, глутамата) и внутриклеточный ацидоз вследствие накопления лактата.

Симптомы и признаки ишемического инсульта

Симптомы и признаки ишемического инсульта зависят от пораженного участка мозга. Клиническая картина позволяет часто определить, какая артерия поражена (см. таблицу Отдельные синдромы инсульта), но полного соответствия, как правило, не бывает.

Таблица
Таблица

Максимально выраженный неврологический дефицит может развиваться в течение нескольких минут, как правило, в случае эмболии. Реже, недостаточность развивается медленно, обычно в течение 24–48 часов (так называемый «инсульт в развитии»), обычно при атеротромботическом инсульте.

При большинстве таких инсультов односторонняя неврологическая симптоматика (часто начинающаяся с одной руки и распространяющаяся ипсилатерально) нарастает без головной боли, повышения температуры или боли в пораженных частях тела. Прогрессирование симптомов обычно ступенчатое, чередуется с периодами стабилизации.

Инсульт считают субтотальным при сохранении остаточной функции в пораженной области, что подразумевает наличие жизнеспособной ткани в зоне риска повреждения.

Эмболические инсульты чаще случаются в дневное время, и появлению неврологических симптомов нередко предшествует головная боль. Тромбы, как правило, образуются ночью, поэтому тромботические инсульты чаще всего выявляются при пробуждении.

Лакунарные инфаркты могут приводить к одному из классических лакунарных синдромов (например, чистый моторный гемипарез, чистая сенсорная гемианестезия, комбинированный гемипарез и гемианестезия, атаксический гемипарез, синдром дизартрии и неловкой руки); признаки кортикальной дисфункции (например, афазия) отсутствуют. Последствием повторных лакунарных инфарктов может стать развитие постинфарктной деменции.

При возникновении инсульта может произойти судорожный припадок, намного чаще при эмболическом, чем при тромботическом инсульте. Судороги могут также возникать через несколько месяцев или лет; поздние припадки являются результатом рубцевания или отложения гемосидерина в месте ишемии.

Иногда появляется лихорадка.

Нарастание неврологического дефицита, в частности нарушение сознания в течение первых 48–72 часов, чаще обусловлено нарастающим отеком мозга, но может быть связано и с расширением зоны инфаркта. Если инфаркт небольшой, то функциональное улучшение заметно уже в первые дни заболевания; дальнейшее восстановление происходит более постепенно вплоть до 1 г.

Диагностика ишемического инсульта

  • Сбор анамнеза и физикальное обследование

  • Нейровизуализация и определение уровня глюкозы в крови с помощью тест-полосок

  • Обследование с целью выявления причины инсульта

Диагноз ишемический инсульт следует предполагать при внезапном возникновении неврологических нарушений, соответствующих зоне кровоснабжения одной из церебральных артерий. Ишемический инсульт необходимо отличать от других причин похожего очагового дефицита (иногда называемых имитаторами инсульта, которые представляют собой нецереброваскулярные заболевания, вызывающие очаговые неврологические признаки). Состояния, которые могут имитировать инсульт, включают:

  • Судороги (например, с постиктальным параличом)

  • Инфекционное поражение ЦНС

  • Функциональные неврологические расстройства (как правило, диагностика методом исключения)

  • Мигрень (например, гемиплегическая мигрень)

  • Гипогликемия

Головная боль, кома или ступор, рвота более вероятны при геморрагическом инсульте, чем при ишемическом.

При подозрении на инсульт врачи могут использовать стандартизированные критерии для оценки тяжести и отслеживания изменений во времени. Этот подход может быть особенно полезен в качестве меры оценки результатов в исследованиях эффективности. Шкала тяжести инсульта Национальных институтов здоровья США (NIHSS) представляет собой 15-балльную шкалу для оценки уровня сознания и речевой функции пациента и выявления двигательных и сенсорных нарушений, где пациенту предлагается ответить на вопросы и выполнить физические и умственные задачи. Он также полезен для выбора адекватного лечения и прогнозирования исхода.

Таблица
Таблица

Исследование пациента с ишемическим инсультом требует оценки состояния паренхимы головного мозга, сосудистой системы (включая сердце и крупные артерии) и крови.

Дифференциация разных типов инсульта на основе клинических признаков является неточной; однако, некоторые ориентиры, основанные на прогрессировании симптомов, времени их начала, и типе нарушения, могут способствовать постановке диагноза.

Несмотря на то, что предварительный диагноз устанавливается по клиническим симптомам, нейровизуализация и определение уровня глюкозы в крови с помощью тест-полосок являются неотложными мероприятиями.

Клинические различия между лакунарным, эмболическим и тромботическим инсультом, основанные на данных анамнеза, осмотра и нейровизуализации, не всегда достоверны, поэтому рутинно проводятся дополнительные исследования для выявления частых или устранимых причин и факторов риска инсульта. Обследование должно оценить следующие системы:

  • Кардиологические (например, фибрилляция предсердий, потенциальные структурные особенности возникновения эмболии)

  • Сосудистые (например, критический стеноз артерии, выявленный при визуализации сосудов)

  • Со стороны крови (например, диабет, дислипидемия, гиперкоагуляция)

Если причина не может быть установлена, инсульты классифицируются как криптогенные.

Оценка состояния головного мозга

Нейровизуализация с помощью КТ или МРТ проводится в первую очередь для исключения внутримозгового кровоизлияния, субдуральной или эпидуральной гематомы, а также быстро растущей, кровоточащей или внезапно симптоматически проявившейся опухоли. Признаки КТ даже при большом ишемическом инсульте в бассейне сонной артерии могут быть незначительными в течение первых нескольких часов. Изменения могут включать сглаживание борозд или островковой кортикальной дуги, потерю серо-белого соединения между корой и белым веществом, а также признак повышенной плотности средней мозговой артерии. В течение 6-12 часов ишемии инфаркты средних и крупных размеров становятся видимыми как зоны сниженной плотности. Малые инфаркты (например, лакунарные) могут выявляться только при МРТ.

Диффузионно-взвешенная МРТ (высокочувствительный метод исследования при ранней ишемии) может быть выполнена непосредственно после исходной КТ.

Обследование шейных и внутричерепных сосудов входит в диагностический алгоритм для определения этиологии заболевания и планирования последующего лечения. В руководствах указано, что при подозрении на окклюзию крупного сосуда всем пациентам следует выполнять визуализацию сосудов (КТА или МРА), особенно в первые 24 часа от появления симптомов, учитывая современные возможности лечения острого инсульта.

Изображения ишемического инсульта
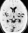
Снижение дифференцировки коры островка
Снижение дифференцировки коры островка

На этой КТ-снимке показано снижение дифференцировки в области сильвиевой борозды и островка (прямые стрелки) на пораженной стороне мозга по сравнению с нормальным ребристым видом коры островка (изогнутые стрелки).

На этой КТ-снимке показано снижение дифференцировки в области сильвиевой борозды и островка (прямые стрелки) на поражен

... Прочитайте дополнительные сведения

By permission of the publisher. From Geremia G, Greenlee W. In Atlas of Cerebrovascular Disease. Edited by PB Gorelick and MA Sloan. Philadelphia, Current Medicine, 1996.

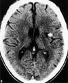
Инфаркт средней мозговой артерии
Инфаркт средней мозговой артерии

В области головного мозга, снабжаемого правой средней мозговой артерией, виден большой светлый очаг инфаркта.

В области головного мозга, снабжаемого правой средней мозговой артерией, виден большой светлый очаг инфаркта.

By permission of the publisher. From Furie K, et al: Cerebrovascular disease. In Atlas of Clinical Neurology. Edited by RN Rosenberg. Philadelphia, Current Medicine, 2002.

Ишемический инсульт в левой средней мозговой артерии (КТ)
Ишемический инсульт в левой средней мозговой артерии (КТ)

На этом изображении КТ головного мозга без контрастирования видна уплотнённая левая средняя мозговая артерия. Этот признак указывает на локализованный сгусток в левой средней мозговой артерии (стрелка).

На этом изображении КТ головного мозга без контрастирования видна уплотнённая левая средняя мозговая артерия. Этот приз

... Прочитайте дополнительные сведения

Image courtesy of Ji Y. Chong, MD.

Острый ишемический инсульт в левой островковой и лобной доле (МРТ)
Острый ишемический инсульт в левой островковой и лобной доле (МРТ)

На данном МРТ-скане показана область ограниченной диффузии, соответствующая острому ишемическому инсульту в островковой и лобной долях слева.

На данном МРТ-скане показана область ограниченной диффузии, соответствующая острому ишемическому инсульту в островковой

... Прочитайте дополнительные сведения

Image courtesy of Ji Y. Chong, MD.

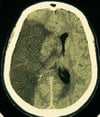
Лакунарный инфаркт
Лакунарный инфаркт

Данная КТ показывает четко выраженный лакунарный инфаркт низкой плотности (стрелка) внутри базальных ганглиев.

Данная КТ показывает четко выраженный лакунарный инфаркт низкой плотности (стрелка) внутри базальных ганглиев.

By permission of the publisher. From Geremia G, Greenlee W. In Atlas of Cerebrovascular Disease. Edited by PB Gorelick and MA Sloan. Philadelphia, Current Medicine, 1996.

Патология сердечно-сосудистой системы

Анализ кардиологических параметров, как правило, включает в себя ЭКГ, телеметрию или холтеровский мониторинг, уровень тропонина в сыворотке и трансторакальную или трансэзофагеальную эхокардиографию. Трансторакальная или трансэзофагеальная эхокардиография полезны для выявления внутрисердечных тромбов, заболеваний клапанов и патентного овального окна (ПОО). ПОО является одной из частых причин эмболических инсультов.

Имплантируемые кардиомониторы полезны для выявления у пациентов с криптогенным инсультом первичных предсердных аритмий (1).

Сосудистые заболевания

Анализ параметров сосудистой системы может включать в себя магнитно-резонансную ангиографию (МРА), КТ-ангиографию (КTA), двустороннюю каротидную и транскраниальную дуплексную ультрасонографию и обычную ангиографию. Выбор и последовательность обследования тестирования индивидуальны, на основании клинических данных. MРA, КT-A и каротидная ультрасонография одинаково хорошо показывают циркуляцию переднего отдела мозга (каротидного бассейна); однако, МРА и КТ-А обеспечивают лучшее изображение циркуляции задних отделов мозга, чем каротидная ультрасонография сонной артерии. В целом КТА предпочтительнее МРА, так как удается избежать артефактов движения. Как правило, КТА или МРА должны быть проведены в срочном порядке, но не следует откладывать лечение путем в/в введения тканевого активатора плазминогена (ТАП), если оно показано.

Связанные с кровью причины

Обычные лабораторные исследования обычно включают общий анализ крови (ОАК), биохимический анализ крови, протромбиновое время/активированное частичное тромбопластиновое время (ПВ/АЧТВ), уровень глюкозы натощак, гликированный гемоглобин (HbA1c) и липидный профиль.

В зависимости от того, какая причина подозревается клинически, могут быть проведены дополнительные исследования, включающие измерение уровня гомоцистеина, тестирование на тромботические патологии (антифосфолипидные антитела, протеин S, протеин С, антитромбин III, фактор V Лейдена), анализы на наличие ревматических заболеваний (например, определение антинуклеарных антител, ревматоидного фактора, скорости оседания эритроцитов), серологический анализ на сифилис, электрофорез-исследование гемоглобина и скрининговый анализ мочи на кокаин и амфетамины.

Справочные материалы по диагностике

  1. 1. Sanna T , Diener H-C., Passman RS, et al. Cryptogenic stroke and underlying atrial fibrillation. N Engl J Med. 370:2478–2486, 2014. doi: 10.1056/NEJMoa1313600

Лечение ишемического инсульта

  • Общие мероприятия по лечению инсульта

  • Антигипертензивная терапия (только в некоторых случаях)

  • Для экстренного лечения иногда используется реперфузия с применением рекомбинантного тканевого активатора плазминогена или тенектеплазы и/или механическая тромбэктомия

  • В некоторых случаях, каротидная эндартерэктомия или стентирование

  • Антитромбоцитарная терапия

  • В некоторых случаях, антикоагуляция

  • Долгосрочный контроль факторов риска

  • Для долгосрочного лечения – реабилитация

Лечение в остром периоде инсульта

Существуют рекомендации по раннему ведению пациентов с инсультом. Смотрите «Руководство по раннему ведению пациентов с острым ишемическим инсультом» (2019) Американской кардиологической ассоциации / Американской ассоциации инсульта. Пациенты в остром периоде ишемического инсульта должны госпитализироваться.

Во время первичного обследования и стабилизации состояния больного могут потребоваться меры поддерживающей терапии, такие как.

  • Респираторная поддержка и искусственная вентиляция легких, если снижение сознания или бульбарная дисфункция нарушают проходимость дыхательных путей

  • Дополнительный кислород подается только в случае необходимости для поддержания насыщения кислородом крови > 94%

  • Коррекция гипертермии (при температуре > 38° C) проводится с помощью жаропонижающих препаратов, а также выявления и лечения причины гипертермии

  • Лечение гипогликемии (уровень глюкозы в крови < 60 мг/дл)

  • Лечение гипергликемии заключается в снижении уровня глюкозы в крови до 140–180 мг/дл при тщательном мониторинге гипогликемии

Для перфузии ишемических областей головного мозга может потребоваться более высокое артериальное давление, поскольку автоматическая регуляция утрачена; поэтому артериальное давление не следует снижать, за исключением следующих случаев:

Если систолическое АД ≥ 220 мм рт. ст. или диастолическое ≥ 120 мм рт.ст. при 2 последовательных измерениях с интервалом 15 минут, целесообразно снизить АД на 15% в течение 24 часов от начала инсульта.

У пациентов, подходящих для острой реперфузионной терапии, для достижения уровня АД ниже 180/105 мм рт.ст. перед началом внутривенного тромболизиса назначают одно из следующих средств:

  • Лабеталол

  • Никардипин

  • Клевидипин

Пациентов с предполагаемым тромбозом или эмболией лечат одним или комбинацией следующих методов:

  • Тканевой активатор плазминогена (tPA), тромболизис in-situ и/или механическая тромбэктомия

  • Антитромбоцитарные препараты

  • Антикоагулянты

У пациентов с острым ишемическим инсультом до 3 часов после начала симптомов можно применять рекомбинантный ТАП (альтеплаза), при отсутствии противопоказаний к его применению (см. таблицу Критерии исключения для применения тканевого активатора плазминогена при инсульте). Некоторые специалисты рекомендуют использовать рТАП в течение периода до 4,5 часов после появления симптомов (см. Expansion of the Time Window for Treatment of Acute Ischemic Stroke With Intravenous Tissue Plasminogen Activator; однако, в интервале между 3 часами и 4,5 часами после появления симптомов, применяются дополнительные исключающие критерии (см. таблицу Критерии исключения для применения тканевого активатора плазминогена при инсульте). Таким образом, рТАП должен вводиться в течение 4,5 часов от начала появления симптомов – это трудно выполнимое требование. Поскольку точное время развития симптомов может быть неизвестно, отсчет в таких случаях следует начинать с того момента, когда пациента последний раз видели здоровым.

Хотя ТАП может вызвать смертельное или другое симптоматическое кровоизлияние в мозг, пациенты, получавшие ТАП строго в соответствии с протоколами, имеют более высокую вероятность функционального неврологического восстановления. При неправильном введении тАП (например, при введении, несмотря на наличие критериев исключения) риск кровоизлияния вследствие тАП высок в основном для пациентов, перенесших инсульт; риск кровоизлияния в мозг очень низок (около 0,5%; 95% доверительный интервал от 0 до 2,0% [1]) для пациентов, перенесших состояние, имитирующее инсульт (например, гемиплегическую мигрень, некоторые инфекции ЦНС, постиктальный паралич, функциональные неврологические нарушения).

Использовать тАП для лечения пациентов с острым инсультом должны только врачи, обладающие опытом в лечении инсульта. Неопытные врачи более склонны нарушать протоколы лечения, что приводит к более частым кровоизлияниям в головной мозг и смерти. Если на месте отсутствуют опытные врачи, позволить этим врачам использовать тАП могут, если есть такая возможность, консультации со специалистом из специализированного центра лечения инсульта (включая оценку пациента по видеосвязи [дистанционная медицина]). Поскольку большинство неблагоприятных исходов лечения являются результатом неспособности строго придерживаться протокола, следует использовать контрольный перечень критериев включения препарата в лечебный процесс, а также его исключения.

Перед началом лечения tPA, требуется следующее:

  • Кровоизлияние в мозг необходимо исключить с помощью КТ.

  • Систолическое артериальное давление должно быть < 185 мм рт.ст.

  • Диастолическое АД должно быть < 105 мм рт.ст.

  • Уровень глюкозы в крови должен быть больше 50 мг/дл

Антигипертензивные препараты (никардипин в/в, лабеталол в/в, клевидипин в/в) могут назначаться для поддержания АД < 180/105 мм рт.ст. в течение как минимум 24 часов после лечения тPA.

Доза tPA составляет 0,9 мг/кг (максимальная доза – 90 мг); 10% дозы вводится внутривенно болюсно в течение 1 минуты, оставшаяся часть – путем непрерывной инфузии длительностью более 60 минут. Жизненно важные показатели тщательно контролируются в течение 24 часов после лечения. Любые осложнения, связанные с кровотечением, следует активно корректировать. В течение 24 часов после применения тАП антикоагулянты и антитромбоцитарные препараты не используются.

Тенектеплаза является разумной альтернативой альтеплазе (2). Тенектеплаза отличается от альтеплазы наличием трех аминокислот в структуре своего гликопротеина. Несмотря на отсутствие существенной разницы в исходах и нежелательных явлениях, частота реперфузий выше у пациентов, получавших тенектеплазу. По сравнению с альтеплазой тенектеплаза лучше связывает фибрин, увеличивает конверсию плазминогена в плазмин, обладает большей устойчивостью к ингибитору активатора плазминогена и более простое введение в виде одного болюса.

Пациентам, которые не подходят для внутривенного тромболизиса, следует назначить антиагрегантный препарат (обычно аспирин 325 мг перорально) при поступлении в больницу. Противопоказаниями к применению антиагрегантов являются астма или крапивница, индуцированные аспирином или нестероидными противовоспалительными препаратами (НПВП), другие реакции гиперчувствительности на аспирин или тартразин, острое желудочно-кишечное кровотечение, недостаточность глюкозо-6-фосфатдегидрогеназы (Г-6-ФД) и прием варфарина.

Таблица
Таблица

Ретроспективный анализ привел к сужению списка абсолютных противопоказаний к применению альтеплазы в терапевтическом окне после появления симптомов инсульта (3, 4). Тем не менее, если у пациентов имеется одно из нижеследующих состояний, риск кровотечения на фоне использования альтеплазы (тАП) повышен и должен быть сопоставлен с ожидаемой пользой [5]):

  • Недавнее обширное хирургическое вмешательство или процедура (например, аортокоронарное шунтирование, естественные роды, биопсия органов, предшествующая пункция сосудов, недоступных для местной компрессии)

  • Сосудистые заболевания головного мозга

  • Недавнее внутричерепное кровоизлияние

  • Недавнее желудочно-кишечное или урогенитальное кровотечение

  • Недавняя травма

  • Гипертензия (систолическое АД > 175 мм рт. ст. или диастолическое АД > 110 мм рт. ст.)

  • Острый перикардит

  • Подострый септический эндокардит

  • Дефекты гемостаза, в том числе обусловленные тяжелыми печеночными или почечными заболеваниями

  • Значительные нарушения функции печени

  • Беременность

  • Геморрагическая диабетическая ретинопатия или другие геморрагические офтальмологические состояния

  • Септический тромбофлебит или окклюзия артериовенозной канюли в месте инфицирования

  • Преклонный возраст (> 77 лет)

  • Применяемые пациентом антикоагулянты (например, варфарин)

Тромболизис на месте (ангиографически направленный внутриартериальный тромболизис) тромба или эмбола может рассматриваться, когда сгусток расположен слишком дистально для доступа катетерами (например, дистальный A2 [передняя мозговая артерия дистальнее передней соединительной артерии]).

Для пациентов с недавно развившейся окклюзией магистральных артерий головы и шеи в системе сонных артерий стандартом лечения в крупных инсультных центрах является механическая тромбэктомия (эндоваскулярное удаление тромба или эмболы при помощи стент-ретривера под контролем ангиографии). Доказательства эффективности механической тромбэктомии у пациентов с инсультами в вертебробазилярном бассейне накапливаются (6).

Ранее механическая тромбэктомия у пациентов с окклюзией внутренней сонной артерии или средней мозговой артерии проводилась только в течение 6 часов от начала появления симптомов. Однако более позднее лечение может быть оправдано в комплексных центрах лечения инсульта при наличии клинических и/или визуализационных данных, указывающих на присутствие значительного количества ткани, подверженной риску инфаркта (пенумбра). С помощью перфузионной КТ или перфузионной МРТ можно определить объем инфарктной ткани и объем ткани, подверженной риску недонаполнения («ишемическая полутень»). Значительное несоответствие между объемом инфаркта и объемом тканей, находящихся в зоне риска недонаполнения, выявленное с помощью диффузионно-взвешенной или перфузионно-взвешенной визуализации, позволяет предположить, что большую часть тканей, находящихся в области пенумбры, все еще потенциально можно спасти. В исследовании DEFUSE 3 положительный эффект был очевиден в период до 16 часов после появления симптомов у пациентов с небольшим инфарктом и значительной областью ишемической полутени, выявленных на основании критериев визуализации (7). Исследование DAWN показало очевидную пользу вплоть до 24 часов после появления симптомов у пациентов с большим несоответствием между объемом инфаркта, определенного на основании визуализации, и тяжестью клинического дефицита, определенного на основании клинических критериев (8).

В прошлом клинические исследования ограничивали механическую тромбэктомию пациентами с оценкой по шкале NIHSS (Шкала тяжести инсульта Национального института здоровья США) > 6 баллов, однако последние данные подтверждают целесообразность механической тромбэктомии также и у пациентов с NIHSS < 6 баллов (9).

Доказательства не поддерживают использование только механической тромбэктомии у пациентов, которым показана внутривенная тромболитическая терапия. У пациентов с острым ишемическим инсультом вследствие острой окклюзии крупного сосуда, при наличии показаний к внутривенному тромболизису его следует проводить до механической тромбэктомии; заменять тромболизис одной лишь тромбэктомией не рекомендуется (10). Устройства, используемые для удаления тромбов, совершенствуются, и последние модели восстанавливают перфузию у 90–100% пациентов.

Пероральные антиагреганты используются в лечении острого инсульта для уменьшения риска рецидива инвалидизирующего инсульта. Можно использовать следующие препараты:

  • Аспирин 81–325 мг в течение 48 часов после начала инсульта

  • Двойная антиагрегантная терапия аспирином плюс клопидогрел в течение 24 часов от начала инсульта для пациентов с малым инсультом или с высоким риском транзиторной ишемической атаки (ТИА; оценка по шкале ABCD2 ≥ 4)

  • Двойная антиагрегантная терапия аспирином 81 мг и тикагрелором (возможно полезна для пациентов с резистентностью к клопидогрелу с аллелем потери функции CYP2C19, особенно при использовании экстракраниального или интракраниального стента)

Аспирин, введенный в течение 48 часов, снижает риск раннего рецидива инсульта и смерти (11).

Если у пациента была TИA или малый инсульт, прием клопидогрела совместно с аспирином в течение 24 часов после появления симптомов и вплоть до 21 дня после заболевания оказывается более эффективным для снижения риска развития инсульта в первые 90 дней и не увеличивает риск кровотечения, чем прием только одного аспирина (12). Однако пролонгированного (например, > 3 месяцев) использования клопидогрела совместно с аспирином следует избегать, поскольку оно не имеет преимуществ по сравнению с монотерапией аспирином при долговременном предотвращении вторичного инсульта и вызывает больше осложнений в виде кровотечений.

Антикоагуляция обычно избегается в острой стадии, поскольку риск кровотечения (геморрагическая трансформация) выше, особенно при обширных инфарктах. Однако антикоагулянтная терапия с гепарином или низкомолекулярным гепарином используется при инсульте, вызванном тромбозом вен головного мозга, а иногда и при инсульте, вызванном диссекцией шейных артерий. Антикоагулянтная терапия также может быть использована у пациентов с высоким риском рецидивирующих сердечных эмболий (например, с сердечными тромбами или механическими протезами клапанов).

Долговременное лечение инсульта

Поддерживающее лечение продолжают вести в период выздоровления:

  • Контроль гипергликемии и повышения температуры у пациента может ограничить повреждение мозга после инсульта, что приводит к улучшению функциональных результатов.

  • Скрининг на дисфагию перед началом приема пищи, питья или приема пероральных препаратов может помочь выявить пациентов с повышенным риском аспирации. Он должен проводиться логопедом или другим квалифицированным медицинским работником.

  • Необходимо начать энтеральное питание в течение 7 дней после госпитализации после острого инсульта.

  • Для профилактики тромбоза глубоких вен и при отсутствии противопоказаний обездвиженным после инсульта пациентам рекомендуется прерывистая пневматическая компрессия (ППК).

  • Низкомолекулярный гепарин может быть назначен неподвижным пациентам с инсультом без противопоказаний.

  • Необходимо рано начать меры по профилактике пролежневых язв

  • Физиотерапия, направленная на максимальное восстановление функций и предотвращение саркопении и контрактур суставов

Долговременная терапия направлена на предотвращение повторного инсульта (вторичная профилактика). Лечение модифицируемых факторов риска (например, гипертензии, диабета, курения, алкоголизма, дислипидемии, ожирения). Снижение систолического артериального давления может быть более эффективным, когда целевое артериальное давление составляет < 120 мм рт.ст., а не равно типичному уровню (< 140 мм рт.ст.) (13). Сроки снижения АД до этих уровней должны определяться с учетом состояния здоровья каждого пациента и риска повторного инсульта или других сердечно-сосудистых событий.

После инсульта часто развивается депрессия, что может препятствовать восстановлению. Лечение депрессии может способствовать выздоровлению. Врачи должны спрашивать пациентов, чувствуют ли они грусть, потеряли ли интерес или удовольствие от ранее приятных занятий. Клиницисты также должны спросить членов семьи о том, замечали ли они какие-либо признаки депрессии у пациента.

Экстракраниальная эндартерэктомия и стентирование сонной артерии показаны пациентам с недавними неинвалидизирующими субмаксимальными инсультами, вызванными ипсилатеральной обструкцией 70-99% просвета сонной артерии, или при изъязвленных бляшках, если ожидаема япродолжительность жизни составляет не менее 5-и лет. У других пациентов с симптоматикой (например, после ТИА) эндартерэктомия или стентирование в сочетании с антитромбоцитарной терапией показано при обструкции сонной артерии на 60% с изъязвлением бляшки или без него, при предполагаемой продолжительности жизни не менее 5-и лет. Эти процедуры должны выполняться хирургами и интервенционистами, которые имеют успешный опыт выполнения процедуры (то есть, процент осложнений и смертности составляет < 3%) в условиях стационара. Для многих пациентов рекомендуют проведение стентирования сонной артерии с введением устройства для эмболической защиты (аналог фильтра) предпочтительнее, чем эндартерэктомии, особенно, если возраст пациента ≥ 70 лет, и у него имеется высокий хирургический риск. Эндартерэктомия сонной артерии и стентирование одинаково эффективны для профилактики инсульта. В периоперационный период риск возникновения инфаркта миокарда более вероятен после процедуры эндартерэктомии, а повторный инсульт более вероятен после стентирования.

Ангиопластика и/или стентирование экстракраниальных отделов позвоночной артерии могут быть использованы у некоторых пациентов с рецидивирующими симптомами вертебробазилярной ишемии, несмотря на оптимальное лечение и обструкцию позвоночных артерий от 50 до 99%.

У тех пациентов, у которых оптимальное лечение медикаментозными препаратами было неэффективным, может показать результат внутричерепная ангиопластика большой артерии и/или стентирование Ключевыми факторами, которые необходимо учитывать, являются особенности лечения пациента (например, контроль факторов риска, соблюдение режима приема лекарственных препаратов), сроки проведения процедуры (> 3 недель после инсульта) и опыт интервенциониста. Частота перипроцедурных неблагоприятных событий может оказаться приемлемо низкой после проведения чрескожной транслюминальной ангиопластики и стентирования при учете этих факторов (14).

Эндоваскулярное закрытие открытого овального окна в сочетании с применением антитромбоцитарной терапии рекомендуется для пациентов в возрасте < 60 лет с эмболическим инсультом неустановленной причины, несмотря на всестороннее обследование (4, 15).

Пероральные антитромбоцитарные препараты используются для предотвращения последующих некардиоэмболических (например, атеротромботических, лакунарных, криптогенных) инсультов (вторичная профилактика). Можно использовать следующие препараты:

  • Аспирин 81 или 325 мг 1 раз в день

  • Клопидогрель

  • Тикагрелор

  • Комбинированный препарат аспирина и дипиридамола пролонгированного действия

У пациентов, принимающих пероральные антикоагулянты, антиагрегантные препараты дополнительно увеличивают риск кровотечения и поэтому обычно избегаются; однако аспирин иногда используется одновременно с варфарином у некоторых пациентов высокого риска. Клопидогрел показан для лечения пациентов, страдающих аллергией на аспирин. Если ишемический инсульт рецидивирует, или если стент коронарной артерии блокируется на фоне принятия пациентом клопидогрела, врач должен заподозрить нарушение метаболизма клопидогрела (неэффективное превращение клопидогрела в его активную форму из-за сниженной активности цитохрома P-450 2C19 [CYP2C19]); рекомендуется выполнение анализа для определения статуса CYP2C19 (например, генетическое тестирование полиморфизма CYP450). Если подтверждается нарушение метаболизма, разумной альтернативой является аспирин или комбинация аспирина и тикагрелора.

Если в период проведения экстренного лечения клопидогрел был назначен совместно с аспирином, то такую комбинацию следует принимать в течение короткого периода времени (например, < 3 недель), поскольку она не имеет преимуществ по сравнению с монотерапией аспирином для долговременной профилактики повторного инсульта и приводит к большему числу осложнений в виде кровотечений. Комбинация клопидогрель плюс аспирин показана до и в течение ≥ 30 дней после стентирования, обычно в течение ≤ 6 месяцев; если пациенты не переносят клопидогрель или имеют резистентность к клопидогрелю из-за потери CYP2C19 аллели, можно использовать тикагрелор.

Пероральные антикоагулянты показаны для вторичной профилактики кардиоэмболических инсультов (а также первичной профилактики), но противопоказаны при тромботических инсультах. Скорректированные дозы варфарина (антагониста витамина К) с целевым международным нормализованным отношением (МНО) от 2 до 3 назначаются некоторым пациентам с неклапанной или клапанной мерцательной аритмией. Целевое МНО от 2,5 до 3,5 используется, если пациенты имеют механический протез клапана сердца. В качестве эффективной альтернативы варфарину для пациентов с неклапанной мерцательной аритмией выступают следующие прямые пероральные антикоагулянты:

  • Дабигатран (прямой ингибитор тромбина)

  • Апиксабан (прямой ингибитор фактора Ха)

  • Ривароксабан (прямой ингибитор фактора Ха)

  • Эдоксабан (прямой ингибитор фактора Ха)

Основное преимущество этих прямых пероральных антикоагулянтов по сравнению с варфарином заключается в простоте использования (например, нет необходимости проверять уровень антикоагуляции с помощью анализа крови после начальной дозы или использовать парентеральный антикоагулянт, такой как нефракционированный гепарин, вводимый путем непрерывной инфузии при переходе с парентеральных на пероральные антикоагулянты). Но основным недостатком таких препаратов является их стоимость. В случае возникновения геморрагических осложнений антидотом дабигатрана является идаруцизумаб (14), а антидотом апиксабана или ривароксабана является андексанет альфа. Не были установлены эффективность и безопасность сочетания любого из этих новых антикоагулянтов с антитромбоцитарными препаратами.

Статины используются для предотвращения повторных инсультов; уровни липидов должны быть снижены в значительной степени (16). Терапия статинами (аторвастатин, розувастатин, симвастатин, правастатин) рекомендуется для пациентов с признаками атеросклеротического инсульта и холестерина ЛПНП (липопротеинов низкой плотности) ≥ 100 мг/дл. Разумный целевой уровень холестерина ЛПНП – это снижение на 50% или его уровень < 70 мг/дл.

Справочные материалы по лечению

  1. 1. Tsivgoulis G, Zand R, Katsanos AH, et al. Safety of intravenous thrombolysis in stroke mimics: prospective 5-year study and comprehensive meta-analysis. Stroke. 46 (5):1281–1287, 2015. doi: 10.1161/STROKEAHA.115.009012

  2. 2. Menon BK, Singh N, Sylaja, PN. Tenecteplase use in patients with acute ischaemic stroke. Lancet. 2023;401(10377):618-619. doi:10.1016/S0140-6736(22)02633-2

  3. 3. Frank B, Grotta JC,.Alexandrov AV, et al. Thrombolysis in stroke despite contraindications or warnings? Stroke. 2013;44(3):727-733. doi:10.1161/STROKEAHA.112.674622

  4. 4. Powers WJ, Rabinstein AA, Ackerson T, et al. Guidelines for the early management of patients with acute ischemic stroke: 2019 update to the 2018 guidelines for the early management of acute ischemic stroke: A guideline for healthcare professionals from the American Heart Association/American Stroke Association. Stroke. 2019 Dec;50(12):e440-e441. doi: 10.1161/STR.0000000000000215.]. Stroke. 2019;50(12):e344-e418. doi:10.1161/STR.0000000000000211

  5. 5. Highlights of prescribing information for alteplase. Accessed April 28, 2025.

  6. 6. Jovin TG, Li C, Wu L, et al. Trial of thrombectomy 6 to 24 hours after stroke due to basilar-artery occlusion. N Engl J Med. 2022; 387:1373-1384, 2022. doi: 10.1056/NEJMoa2207576

  7. 7. Albers GW, Marks MP, Kemp S, et al. Thrombectomy for stroke at 6 to 16 hours with selection by perfusion imaging. N Engl J Med. 2018;378(8):708-718. doi:10.1056/NEJMoa1713973

  8. 8. Nogueira RG, Jadhav AP, Haussen DC, et al. Thrombectomy 6 to 24 hours after stroke with a mismatch between deficit and infarct. N Engl J Med. 2018;378(1):11-21. doi:10.1056/NEJMoa1706442

  9. 9. Abecassis IJ, Almallouhi E, Chalhoub R, et al. Outcomes after endovascular mechanical thrombectomy for low compared to high National Institutes of Health Stroke Scale (NIHSS): A multicenter study. Clin Neurol Neurosurg. 2023;225:107592. doi:10.1016/j.clineuro.2023.107592

  10. 10. Masoud HE, de Havenon A, Castonguay AC, et al. 2022 Brief practice update on intravenous thrombolysis before thrombectomy in patients with large vessel occlusion acute ischemic stroke: A statement from Society of Vascular and Interventional Neurology Guidelines and Practice Standards (GAPS) Committee. Stroke. Vasc Interv Neurol. 2 (4) 2022. doi: 10.1161/SVIN.121.000276

  11. 11. CAST: randomised placebo-controlled trial of early aspirin use in 20,000 patients with acute ischaemic stroke. CAST (Chinese Acute Stroke Trial) Collaborative Group. Lancet. 1997;349(9066):1641-1649.

  12. 12. Hao Q, Tampi M, O'Donnell M, et al. Clopidogrel plus aspirin versus aspirin alone for acute minor ischaemic stroke or high risk transient ischaemic attack: Systematic review and meta-analysis. BMJ. 363:k5108, 2018. doi: 10.1136/bmj.k5108

  13. 13. Whelton PK, O'Connell S, Mills KT, He J. Optimal Antihypertensive Systolic Blood Pressure: A Systematic Review and Meta-Analysis. Hypertension. 2024;81(11):2329-2339. doi:10.1161/HYPERTENSIONAHA.124.23597

  14. 14. Alexander MJ, Zauner A, Chaloupka JC, et al. WEAVE Trial: Final results in 152 on-label patients. Stroke. 50 (4):889–894, 2019. doi: 10.1161/STROKEAHA.118.023996

  15. 15. Kavinsky CJ, Szerlip M, Goldsweig AM, et al. SCAI guidelines for the management of patent foramen ovale. Standards and guidelines. 1 (4), 100039, 2022. doi: 10.1016/j.jscai.2022.100039

  16. 16. Lee M, Cheng CY, Wu YL, et al. Association Between Intensity of Low-Density Lipoprotein Cholesterol Reduction With Statin-Based Therapies and Secondary Stroke Prevention: A Meta-analysis of Randomized Clinical Trials. JAMA Neurol. 2022;79(4):349-358. doi:10.1001/jamaneurol.2021.5578

Прогноз при ишемическом инсульте

Тяжесть инсульта и прогноз часто оценивают по стандартизированным показателям, одним из которых является Шкала инсульта Национального института здоровья (НИЗ)(см. таблицу Шкала инсульта Национального института здоровья США); оценка по данной шкале отражает выраженность функциональных нарушений и прогноз. В первые дни дальнейшее развитие заболевания и его исход предсказать сложно. Пожилой возраст, нарушение сознания, афазия и признаки поражения ствола мозга являются плохими прогностическими признаками. Раннее улучшение состояния и более молодой возраст делают прогноз более благоприятным.

Примерно 50% больных с умеренным или тяжелым гемипарезом, а также большинство больных с менее выраженным неврологическим дефектом перестают нуждаться в элементарном уходе, адекватно воспринимают окружающий мир, со временем могут заботиться о своих основных потребностях и самостоятельно передвигаться. Полное неврологическое восстановление отмечается примерно у 10% больных. Функция пораженной конечности обычно ограничена, и большинство нарушений, которые не восстанавливаются в течение 12 месяцев, в дальнейшем сохраняются. Пациенты, перенесшие инсульт, находятся в группе высокого риска последующих инсультов, и каждый из них имеет тенденцию к ухудшению неврологических функции. На протяжении 5 лет после перенесенного инсульта, приблизительно у 25% пациентов развивается повторный инсульт.

После ишемического инсульта около 20% больных умирают в стационаре, при этом показатель смертности увеличивается с возрастом.

Основные положения

  • Необходимо дифференцировать ишемический инсульт от его имитаций (например, постиктального паралича, гемиплегической мигрени, инфекций ЦНС, функциональных неврологических расстройств).

  • Хотя клиническая дифференциация является неточной, существуют некоторые признаки, помогающие дифференцировать распространенные типы инсульта, которые включают прогрессирование симптомов (максимальный дефицит в течение нескольких минут от появления симтомов при эмболическом инсульте по сравнению с часто постепенным или медленным началом развития тромботического инсульта), время появления симптомов (день характерен для эмболического инсульта, по сравнению с ночью – для тромботического) и тип дефицита (например, специфические синдромы и отсутствие кортикальных симптомов при лакунарных инфарктах).

  • Обследуйте пациентов на наличие кардиологических причин (включая фибрилляцию предсердий) и стеноза артерий (с помощью визуализации сосудов), а также проводите анализы крови (например, при тромботических, ревматических и других заболеваниях).

  • В общем случае, не следует агрессивно снижать артериальное давление сразу после острого ишемического инсульта.

  • Для определения показаний применения рТАП, используют контрольный список и, по возможности, проконсультируются со специалистом, либо лично, либо с помощью средств телемедицины.

  • Чтобы оптимизировать спасение жизнеспособных тканей в зоне пенумбры, необходимо как можно скорее начать показанную тромболитическую терапию или механическую тромбэктомию («время - это мозг»).

  • Для предотвращения ишемических инсультов в будущем, важно контролировать устранимые факторы риска, и, при необходимости, проводить лечение с применением антитромбоцитарной терапии, терапиии статинами, и/или проведения эндартерэктомии или стентирования.

quizzes_lightbulb_red
Test your KnowledgeTake a Quiz!
ANDROID iOS
ANDROID iOS
ANDROID iOS