Предоставлено Вамmsd logo
This site is not intended for use in the Russian Federation

Остеопороз

Авторы:Marcy B. Bolster, MD, Harvard Medical School
Reviewed ByBrian F. Mandell, MD, PhD, Cleveland Clinic Lerner College of Medicine at Case Western Reserve University
Проверено/пересмотрено Изменено июл. 2025
v906744_ru
Вид

Остеопороз – прогрессирующее метаболическое заболевание кости, при котором происходит снижение ее минерализации (массы костной ткани на единицу объема), сопровождающееся нарушением ее структуры. Слабость скелета приводит к развитию переломов при незначительной или неявной травме, особенно костей грудного и поясничного отделов позвоночника, запястий и бедер (так называемые хрупкие переломы). Диагноз ставится по результатам двухэнергетической рентгеновской абсорбциометрии (ДРА) или при подтвержденном "хрупком" переломе. Профилактика и лечение включают коррекцию факторов риска, прием препаратов кальция и витамина D, упражнения для максимизации силы костей и мышц, улучшения баланса и минимизации риска падений и лекарственную терапию, направленную на сохранение костной массы или стимуляцию образования новой костной ткани.

Патофизиология остеопороза

Костная ткань формируется и резорбируется постоянно. В норме процессы формирования кости и ее резорбции уравновешивают друг друга. Активность остеобластов (клетки, синтезирующие органический костный матрикс и затем обеспечивающие его минерализацию) и остеокластов (клетки, разрушающие костную ткань) регулируется паратиреоидным гормоном (ПТГ), кальцитонином, эстрогенами, витамином Д, различными цитокинамии другими местными факторами (например, простагландинами).

Костная масса у мужчин и женщин достигает пикового показателя примерно к 30 годам. У мужчин костная масса больше, чем у женщин. (Предыдущие данные, предполагающие, что лица африканского происхождения достигают более высокого пика костной массы, в настоящее время подвергаются сомнению). После достижения своего пика, на протяжении приблизительно 10 лет костная масса остается постоянной, в это время процессы резорбции костной ткани приблизительно равны ее образованию. С началом менопаузы у женщин потеря костной ткани ускоряется и достигает примерно 2% в год в течение приблизительно 10 лет, затем уровень потери массы костной ткани постепенно уменьшается (1).

Остеопороз поражает и кортикальный, и губчатый слой кости. Уменьшаются толщина кортикального стоя, количество и размер трабекул, что приводит к повышению пористости кости. Трабекулы могут повреждаться или даже полностью разрушаться. Потеря массы трабекулярной кости происходит быстрее, чем кортикальной, поскольку трабекулярная кость более пористая и ее обновление происходит интенсивнее. Хрупкость скелета обусловлена изменениями обоих типов кости.

Патологические переломы

Патологические переломы – это переломы, возникающие после травмы меньшей силы, чем требовалась бы для перелома здоровой кости. Переломы после падений с высоты роста или меньшей высоты, в том числе падения с постели, как правило, считаются патологическими переломами. Патологические переломы чаще всего возникают в таких частях тела:

Кроме того, могут пострадать проксимальный отдел плечевой кости и тазовые кости.

Переломы в таких местах как нос, ребра, ключица, надколенник, а также переломы плюсневых костей не считаются переломами, связанными с остеопорозом.

Справочные материалы по патофизиологии

  1. 1. Finkelstein JS, Brockwell SE, Mehta V, et al. Bone mineral density changes during the menopause transition in a multiethnic cohort of women. J Clin Endocrinol Metab. 93(3):861-868, 2008. doi:10.1210/jc.2007-1876

Классификация остеопороза

Остеопороз может развиваться как первичное нарушение метаболизма костной ткани или вторичное вследствие некоторых других факторов. Места переломов схожи при первичном и вторичном остеопорозе.

Первичный остеопороз

Почти все случаи остеопороза у мужчин и женщин являются первичными, без идентифицируемой основной причины. Большинство случаев отмечаются у женщин в постменопаузном периоде и у пожилых мужчин. Однако, определенные условия могут ускорить дальнейшую потерю костной ткани у больных с первичным остеопорозом. Гонадная недостаточность является важным фактором как для мужчин, так и для женщин; другие факторы включают снижение потребления кальция, низкий уровень витамина D, некоторые лекарства и гиперпаратиреоидит. Некоторые пациенты имеют недостаточный уровень потребления кальция в период юности, когда происходит интенсивный рост костей и, таким образом, никогда не достигают идеального пика костной массы.

Основной механизм потери костной ткани -повышенная резорбция кости, что приводит к снижению массы костной ткани и износу на микроархитектурном уровне, но иногда нарушается и сам процесс остеогенеза. Механизмы развития остеопороза:

  • Локальные изменения продукции цитокинов, особенно таких, как лиганд рецептора активатора ядерного фактора κB (RANKL), усиливают резорбцию кости за счёт стимуляции дифференцировки и созревания активных остеокластов

  • Нарушение формирования кости, возможно, обусловленное возрастным снижением количества и активности остеобластов, частично связанное с цитокин-опосредованным увеличением уровня белка склеростина

  • Другие факторы, влияющие на резорбцию костной ткани, такие как паратиреоидный гормон (ПТГ) и нарушения уровня витамина D

Идиопатический остеопороз относится к редким причинам патологических переломов у детей, подростков, женщин в пременопаузе или мужчин < 50 лет с нормальной функцией половых желез без вторичных причин, в том числе у лиц с низкой костной массой для возраста (низкие Z-показатели по данным двухэнергетической рентгеновской абсорбциометрии [ДЭРА]).

Вторичный остеопороз

Вторичный остеопороз является причиной до 30% случаев остеопороза у женщин в постменопаузе, > 50% — у пременопаузальных женщин и приблизительно 50–80% случаев остеопороза у мужчин (1). Причинные факторы (см. таблицу ) могут также ускорить дальнейшую потерю костной ткани и повысить риск переломов у больных с первичным остеопорозом.

У пациентов с хронической болезнью почек снижению костной массы могут способствовать несколько факторов, включая вторичный гиперпаратиреоз, повышенный уровень фосфора в сыворотке, дефицит кальцитриола, нарушения концентраций кальция и витамина D, остеомаляцию и заболевания костей с низким костным обменом (адинамическую болезнь костей).

Таблица
Таблица

Справочные материалы по классификации

  1. 1. Ebeling PR, Nguyen HH, Aleksova J, et al. Secondary Osteoporosis. Endocr Rev. 2022;43(2):240-313. doi:10.1210/endrev/bnab028

Факторы риска остеопороза

Поскольку механический стресс, включая нагрузку, необходим для роста кости, иммобилизация или длительный период покоя приводят к снижению костной массы. Лица с низким индексом массы тела предрасположены к снижению костной массы.

Недостаточное потребление с пищей кальция, фосфора, магния и витамина D также предрасполагает к снижению костной массы, равно как и эндогенный ацидоз. Употребление табака и алкоголя также негативно влияет на костную массу. Остеопороз в семейном анамнезе, особенно переломы тазобедренной кости по отцовской линии, также увеличивает риск остеопороза. Больные, уже перенесшие один перелом, имеют повышенный риск возникновения других клинически выраженных переломов и клинически бессимптомных компрессионных переломов позвонков.

Считалось, что у некоторых групп населения, включая женщин не-испанского происхождения белой расы и женщин азиатского происхождения, риск развития остеопороза выше, чем у других групп (1). Однако эти предполагаемые популяционные различия, вероятно, более сложны и зависят от социальных детерминант здоровья. Поэтому оценку риска переломов, вероятно, следует проводить с использованием калькуляторов риска для конкретных популяций, а не тех, которые учитывают расу и этническую принадлежность (2).

Справочные материалы по факторам риска

  1. 1. Noel SE, Santos MP, Wright NC. Racial and Ethnic Disparities in Bone Health and Outcomes in the United States. J Bone Miner Res. 2021;36(10):1881-1905. doi:10.1002/jbmr.4417

  2. 2. Leslie WD; ASBMR Task Force on Clinical Algorithms for Fracture Risk. Effect of Race/Ethnicity on United States FRAX Calculations and Treatment Qualification: A Registry-Based Study. J Bone Miner Res. 2023;38(12):1742-1748. doi:10.1002/jbmr.4896

Симптомы и признаки остеопороза

У пациентов остеопороз протекает бессимптомно, пока не произойдет перелом. Невертебральные переломы, как правило, проявляются симптомами, но примерно две трети компрессионных переломов позвоночника протекают бессимптомно (хотя пациенты могут жаловаться на хроническую боль в спине, первопричиной которой выступают другие факторы, такие как остеоартрит). Клинически выраженный компрессионный перелом позвонка начинается с острой боли, которая обычно не проецируется на другие места, усугубляется нагрузками на ноги, может сопровождаться точечной чувствительностью позвоночника, и, как правило, начинает ослабляться в 1 неделю. Остаточная боль может длиться месяцами или быть постоянной, и в этом случае следует заподозрить дополнительные переломы или основные заболевания позвоночника (включая злокачественные новообразования или инфекции).

Множественные переломы тел позвонков могут приводить к кифозу грудного отдела позвоночника с одновременным усилением шейного лордоза («вдовий горб»). В таких случаях появляются хронические ноющие боли (обусловлены перегрузкой мышц и связок позвоночника), особенно выраженные в нижних отделах спины. Пациенты могут иметь одышку из-за пониженного внутригрудного объема и/или раннее чувство насыщения из-за сжатия брюшной полости, так как грудная клетка сближается с тазом.

Диагностика остеопороза

  • Двухэнергетическая рентгеновская абсорбциометрия (ДЭРА)

  • Наличие перелома при минимальной травме (низкоэнергетического перелома)

Несмотря на то, что низкую минеральную плотность костной ткани (и связанный с этим повышенный риск переломов) можно заподозрить на основе рентгенографических данных, это должно быть подтверждено измерением минеральной плотности костной ткани. Обычно используется ДЭРА; количественное КТ-сканирование позволяет выполнить аналогичные измерения минеральной плотности костной ткани, но широко не доступно.

Кроме того, остеопороз также может быть диагностирован на основании возникновения низкоэнергетического перелома, независимо от показателей минеральной плотности кости. Этот диагностический критерий особенно актуален для переломов позвоночника, бедра, плечевой кости или дистального отдела лучевой кости.

Двухэнергетическая рентгеновская абсорбциометрия (ДЭРА)

С целью скрининга людей с высоким риском, обеспечения количественной оценки потери костной массы, прогнозирования риска переломов и мониторинга состояния тех, кто проходит лечение, минеральная плотность костной ткани должна измеряться с помощью DXA-сканирования (1). При ДЭРА-сканировании целевые участки, как правило, позвоночник и одно или оба бедра, визуализируются с помощью рентгеновского излучения высокой и низкой энергии (отсюда и термин «двойная энергия»). Разница в ослаблении лучей высокой и низкой энергии является отражением содержания минералов в костях. Содержание минеральных веществ в костях, деленное на площадь костной ткани (также измеряется по данным ДЭРА-сканирования), представляет собой минеральную плотность костной ткани в г/см2. Наличие выраженного остеоартрита в целевых областях может увеличить зарегистрированный показатель плотности кости.

Если позвоночник или тазобедренный сустав не подходят для точной оценки методом ДЭРА (например, из-за наличия металлоконструкций после тотального эндопротезирования тазобедренного сустава или спондилодеза), можно выполнить сканирование дистального отдела лучевой кости (в отчёте ДЭРА обозначается как «1/3 radius»). Дистальный отдел лучевой кости также должен подвергаться сканированию у пациентов с гиперпаратиреоидизмом, поскольку эта точка является наиболее распространенным местом потери костной массы при гиперпаратиреоидизме.

Результаты ДРА регистрируются в виде показателей T и Z.

Показатель Т соответствует числу стандартных отклонений, на которые минерализация кости отличается от ее пикового значения массы у молодых здоровых людей того же пола и расовой/этнической принадлежности. Всемирная организация здравоохранения устанавливает предельные значения для показателей Т, которые определяют остеопению и остеопороз (2). Показатель Т < -1,0 и > -2,5 определяет остеопению. При показателе Т ≤ -2,5 определяют наличие остеопороза.

Показатель Z соответствует числу стандартных отклонений, на какие минеральная плотность костей пациента отличается от человека того же возраста и пола, и должен быть использован для детей, женщин в пременопаузе, или мужчин, моложе 50 лет. Если Z-показатель ≤ -2,0 - минерализация костной ткани, для возраста пациента - низкая, и следует рассматривать вторичные причины потери костной ткани.

Денситометрия (DEXA-сканирование) рекомендуется для таких пациентов (1, 3):

  • Все женщины ≥ 65 лет

  • Женщины в период между менопаузой и 65 годами при наличии факторов риска включая семейный анамнез остеопороза, низкий индекс массы тела, курение, употребление алкоголя в избыточных количествах (например, более 3 стандартных порций в день, как указано в шкале FRAX), и/или приём препаратов с высоким риском потери костной массы (например, глюкокортикостероиды, ингибиторы ароматазы)

  • Пациенты любого возраста — как мужчины, так и женщины — перенёсшие один или несколько низкоэнергетических переломов

  • Пациенты, у которых по данным визуализирующих исследований выявленная пониженная минерализация костной ткани или случайно обнаружены бессимптомные компрессионные переломы позвоночника

  • Пациенты с риском вторичного остеопороза

ДЭРА также позволяет выявлять деформации позвонков в нижнегрудном и поясничном отделах позвоночника — процедура называется оценкой позвоночных переломов (VFA) и может выполняться одновременно с измерением минеральной плотности кости методом ДЭРА (4). Компрессионные деформации позвоночника при отсутствии травмы, даже бессимптомные, являются диагностически значимыми при остеопорозе, а также прогностическими относительно повышенного риска переломов в будущем. Процедура «АПП» более информативна в отношении больных, у которых снижение высоты межпозвоночных дисков составляет 3 см и более. Если результаты морфометрии позвоночника обнаруживают подозрительные отклонения, для подтверждения диагноза необходимо сделать рентгенографию.

Необходимость в фармакотерапии определяется вероятностью будущих переломов, которая зависит от результатов ДЭРА и ряда других факторов. Шкала оценки риска перелома (FRAX) (см. Fracture Risk Assessment Tool) прогнозирует 10-летнюю вероятность крупного остеопоротического перелома (тазобедренного сустава, позвоночника, предплечья или плечевой кости) у пациентов, не получавших лечение. Шкала учитывает несколько существенных факторов риска потери костной ткани и переломов, включая минеральную плотность костной ткани, множественные клинические особенности и страну происхождения пациента (для учета наблюдаемых популяционных различий). Если оценка по FRAX превышает определенные пороговые значения (в США ≥ 20% вероятность крупного остеопоротического перелома или 3% вероятность перелома тазобедренного сустава), обычно рекомендуется медикаментозная терапия (5). Существуют ограничения на использование шкалы оценки риска переломов FRAX, поскольку она не учитывает несколько факторов, включая анамнез или повышенный риск падений, минеральную плотность костной ткани пациента в поясничном отделе позвоночника либо семейный анамнез переломов позвонков.

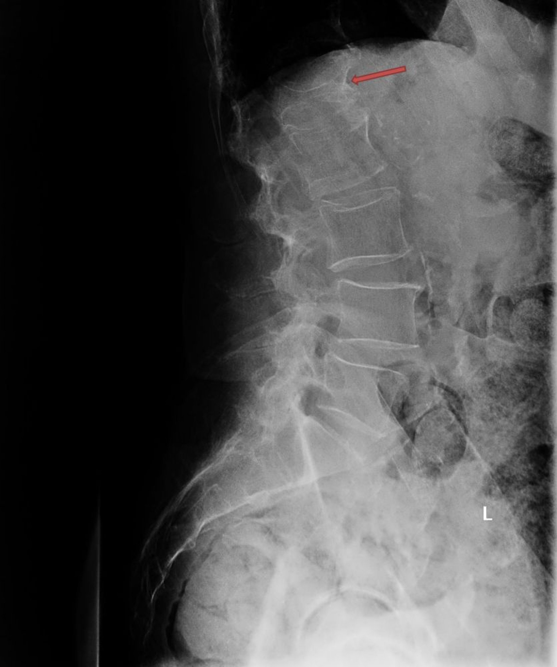
Рентгенограммы

При остеопорозе кости обычно характеризуются сниженной рентгеновской плотностью и утратой трабекулярной структуры, однако эти признаки недостаточны для постановки диагноза. Тем не менее рентгенограммы важны с целью документирования переломов в результате потери костной массы. Уменьшение высоты тела позвонка и увеличение двояковогнутости вертикальных поверхностей его тела характерно для компрессионных переломов позвонков. Переломы грудных позвонков могут привести к заклиниванию передней части кости Переломы позвонков чаще всего возникают на среднегрудном уровне из-за остеопороза (6). Переломы позвонков выше средней части грудного отдела позвоночника должны наводить на мысль о злокачественном новообразовании или травме в качестве этиологической причины. С целью выявления бессимптомных патологических переломов позвоночника у пожилых пациентов с тяжелой болью в спине и локализованной болезненностью в районе остистых отростков позвоночника, а также у пациентов, которые сообщают об уменьшении роста на более чем 3 см, должна быть рассмотрена рентгенография позвоночника.

Кортикостероид-ассоциированный остеопороз, также называемый глюкокортикоид-индуцированным остеопорозом (ГИОП), наиболее вероятно вызывает компрессионные переломы позвонков, но может также вызвать переломы в других местах, где обычно происходят остеопоротические переломы (7). Гиперпаратиреоидизм можно отличить на основании наличия признаков субпериостальной резорбции или, редко, формирования кистозных образований кости. Остеомаляция может вызывать изменения подобные остеопорозу.

К этому приводят два метаболических расстройства: остеопороз и остеомаляция.

При остеопорозе отмечается снижение костной массы, наряду с нормальным соотношением между минеральным и органическим компонентами кости.

При остеомаляции отмечается низкое значение отношения минерального компонента к костному матриксу.

Остеопороз является следствием снижения массы костной ткани из-за повышения ее резорбции и нарушения процесса формирования костной ткани. Остеомаляция развивается в результате нарушений минерализации, обычно по причине тяжелого длительного дефицита витамина D или нарушения метаболизма витамина D (см. Витамин D). Остеомаляция может быть вызвана нарушениями всасывания витамина D (например, целиакия) и приемом некоторых лекарств (например, противосудорожных препаратов). Остеопороз в Соедененных Штатах встречается гораздо чаще, чем остеомаляция. Эти два расстройства могут присутствовать одновременно, и их клиническая картина схожа; кроме того, у пациентов с остеопорозом может наблюдаться легкий или умеренный дефицит витамина D.

Остеомаляцию следует заподозрить, если у пациента возникают боли в костях, рецидивирующие переломы ребер или другие необычные переломы, а уровень витамина D стабильно очень низкий. Для окончательной дифференциации этих двух заболеваний врачи могут провести тетрациклин-меченную биопсию кости, но это редко требуется.

Другие виды исследований

Проведение обследования на вторичные причины потери костной массы следует рассматривать у пациентов с количеством Z-баллов ≤ -2,0. Лабораторное обследование зачастую включает тесты на:

  • Уровни сывороточных кальция, магния и фосфора

  • Уровень 25-гидрокси-витамина D

  • Функциональные пробы печени, в том числе исследование низкого уровня щелочной фосфатазы (гипофосфатазия)

  • Интактный уровень ПТГ (гиперпаратиреоз)

  • Содержание тестостерона в сыворотке у мужчин (гипогонадизм)

  • Уровень кальция и креатинина в моче за 24 часа (гиперкальциурия)

Другие исследования, такие как определение уровня тиреотропного гормона или свободного тироксина для диагностики гипертиреоза, измерение уровня свободного кортизола в суточной моче для исключения синдрома Кушинга, а также общий анализ крови и дополнительные тесты для исключения онкологических заболеваний, особенно миеломы (например, электрофорез белков сыворотки, свободные лёгкие цепи в сыворотке, электрофорез белков мочи) следует проводить с учётом клинической картины.

Пациенты с потерей веса, должны быть обследованы на предмет расстройств желудочно-кишечного тракта (например, синдрома мальабсорбции, целиакии, воспалительного заболевания кишечника), а также рака. Биопсию кости лучше зарезервировать для необычных случаев (например, молодые пациенты с "хрупкими" переломами без видимой на то причины, пациенты с хроническим заболеванием почек, которые могут иметь другие заболевания костей, пациенты с постоянно очень низким уровнем витамина D, подозреваемые на наличие остеомаляции).

Уровни C-телопептидных поперечный связей в сыворотке крови натощак (CTX) или N-телопептидных поперечный связей в моче (NTX) отражают увеличенную резорбцию костной ткани. Тем не менее, надежность анализов варьируется, что усложняет их применение для рутинной клинической помощи. Эти тесты должны проводиться как лабораторные анализы натощак, взятые сразу утром. Исследования показывают, что повышенные уровни CTX и NTX могут быть полезны для прогнозирования риска переломов у пациентов, не получающих лечения. Эти маркеры костного обмена могут помочь в мониторинге ответа на антирезорбтивную терапию и определении времени и продолжительности лекарственного перерыва (8). У пациентов, получающих антирезорбтивную терапию, уровни должны быть заметно снижены. Если нет, следует заподозрить нарушение абсорбции или плохое соблюдение режима лечения.

Справочные материалы по диагностике

  1. 1. US Preventive Services Task Force, Nicholson WK, Silverstein M, et al. Screening for Osteoporosis to Prevent Fractures: US Preventive Services Task Force Recommendation Statement. JAMA 333(6):498-508, 2025. doi:10.1001/jama.2024.27154

  2. 2. Kanis JA, McCloskey EV, Johansson H, et al. A reference standard for the description of osteoporosis. Bone 42(3):467-475, 2008. doi:10.1016/j.bone.2007.11.001

  3. 3. Kahwati LC, Kistler CE, Booth G, et al. Screening for Osteoporosis to Prevent Fractures: A Systematic Evidence Review for the US Preventive Services Task Force. JAMA. 333(6):509-531, 2025. doi:10.1001/jama.2024.21653

  4. 4. Expert Panel on Musculoskeletal Imaging, Yu JS, Krishna NG, et al. ACR Appropriateness Criteria® Osteoporosis and Bone Mineral Density: 2022 Update. J Am Coll Radiol. 2022;19(11S):S417-S432. doi:10.1016/j.jacr.2022.09.007

  5. 5. Siris ES, Adler R, Bilezikian J, et al. The clinical diagnosis of osteoporosis: a position statement from the National Bone Health Alliance Working Group. Osteoporos Int. 25(5):1439-1443, 2014. doi:10.1007/s00198-014-2655-z

  6. 6. Alsoof D, Anderson G, McDonald CL, et al. Diagnosis and management of vertebral compression fracture. Am J Med. 135(7):815-821, 2022. doi:10.1016/j.amjmed.2022.02.035

  7. 7. Van Staa TP, Leufkens HG, Abenhaim L, et al. Use of oral corticosteroids and risk of fractures. J Bone Miner Res. 15(6):993-1000, 2000. doi:10.1359/jbmr.2000.15.6.993

  8. 8. Lorentzon M, Branco J, Brandi ML et al. Algorithm for the use of biochemical markers of bone turnover in the diagnosis, assessment, and follow-up or treatment of osteoporosis. Adv Ther. 36(10): 2811–2824, 2019. doi: 10.1007/s12325-019-01063-9

Лечение остеопороза

  • Модификация факторов риска

  • Адекватность потребления кальция и витамина D с пищей или при использовании добавок

  • Антирезорбтивные препараты (например, бисфосфонаты, гормональная замещающая терапия, селективный модулятор эстрогенового рецептор, ингибитор лиганда активатора рецепторов ядерного фактора каппа-В [RANKL] [денозумаб]).

  • Анаболические агенты (например, аналоги паратиреоидного гормона (ПТГ), такие как терипаратид и абалопаратид)

  • Ромосозумаб, моноклональное антитело против склеростина, обладающее как антирезорбтивным, так и анаболическим действием

Целями лечения остеопороза являются сохранение костной массы, предотвращение переломов, уменьшение боли и сохранение функции.

Скорость снижения костной массы может быть замедлена с помощью фармакотерапии, однако добавки кальция и витамина D, а также физическая активность, являются критически важными для поддержания оптимальной минерализации костной ткани. Следует обратить внимание на модифицируемые факторы риска.

Модификация факторов риска

Модификация факторов риска направлена на снижение риска развития остеопороза и риска переломов. Мероприятия включают следующее:

  • Упражнения с весовой нагрузкой

  • Умеренное употребление алкоголя

  • Отказ от курения

  • Меры профилактики падений

Упражнения с отягощением могут помочь увеличить минеральную плотность костной ткани (1). Оптимальное количество упражнений с весовой нагрузкой не определено, но следует рекомендовать их длительность не менее 30 минут/день (2). Однако у женщин в пременопаузе чрезмерные тренировки при недостаточном поступлении калорий могут вызвать похудение и аменорею, что впоследствии приводит к снижению костной массы. Если вы употребляете алкоголь, его прием должен составлять не более 1 стакана в день для женщин и 2 стакана в день для мужчин.

Клиницисты должны регулярно осведомляться у пациента о недавних падениях, в противном же случае оценить риск падения. Многие пожилые пациенты имеют высокий риск падений вследствие нарушения координации движений и равновесия, ослабления зрения, слабости мышц, обмороков и приема препаратов, вызывающих ортостатическую гипотензию и нарушения чувствительности. Физиотерапевты могут оценить походку пациента и риск падения и помочь создать безопасные индивидуальные программы упражнений для укрепления мышц кора, чтобы помочь увеличить стабильность и уменьшить риск падений. Для предотвращения переломов также важны информирование пациентов о рисках падений и переломов, инструктаж по безопасному выполнению повседневной деятельности и изменение домашней обстановки с целью сделать ее более безопасной.

Кальций и витамин D

Все мужчины и женщины должны употреблять не менее 1000 мг элементарного кальция в сутки. Прием 1200 мг/день кальция (в том числе, диетическое потребление) должен быть рекомендован женщинам в пост-менопаузе и пожилым мужчинам и в периоды повышенной потребности в данном элементе, например в пубертатном периоде, при беременности и лактации. Оптимально получать кальций с пищей, а при его недостаточном поступлении — дополнительно использовать добавки. Кальциевые пищевые добавки чаще всего принимают в виде карбоната кальция или цитрата кальция. Цитрат кальция лучше усваивается у пациентов с ахлоргидрией, но оба препарата хорошо всасываются при приеме с пищей. Для максимально увеличения всасывания, пациенты, принимающие препараты, снижающие кислотность желудка, (например, ингибиторы протонной помпы, H2-блокаторы) или пациенты после шунтирования желудка должны принимать цитрат кальция. Кальций следует принимать в разделённых дозах — обычно по 500–600 мг дважды в день.

Рекомендуется приём добавок витамина D в дозе 600–800 международных единиц в сутки. Больным с дефицитом витамина D требуется назначение более высоких доз. Дополнительный витамин D обычно назначают в виде его естественной формы холекальциферола, хотя синтетический препарат эргокальциферол также приемлем. Уровень 25-гидрокси-витамина D должен составлять ≥ 30 нг/мл.

Антирезорбтивные препараты

Бисфосфонаты являются препаратами первой линии (3, 4, 5, 6). Подавляя резорбцию костной ткани, они способствуют сохранению костной массы и снижают риск переломов позвонков и шейки бедра до 50% (7). Метаболизм костной ткани снижается после 3 месяцев бисфосфонатной терапии, а снижение риска переломов становится очевидным уже через год после начала терапии. Бисфосфанаты можно применять перорально или внутривенно.

Имеющиеся данные подтверждают продолжительность лечения пероральными бисфосфонатами (например, алендронатом или ризедронатом) в течение 5 лет или внутривенным введением золедроновой кислоты в течение 3 лет; однако более длительная продолжительность лечения может быть оправдана у некоторых пациентов с особенно высоким риском переломов (8).

Пероральные бисфосфонаты следует принимать натощак, запивая полным (8 унций, 250 мл) стаканом воды. После введения пациент должен оставаться в вертикальном положении в течение по крайней мере 30 минут (60 минут для ибандроната) и не принимать что-либо еще перорально в течение этого периода времени, потому что пища снижает биодоступность. Эти препараты безопасны для использования у пациентов с клиренсом креатинина > 35 мл/минуту. Пероральные бисфосфонаты могут вызывать раздражение пищевода. Заболевания пищевода, которые замедляют время прохождения пищи, и нарушения со стороны верхних отделов желудочно-кишечного тракта являются относительными противопоказаниями к назначению бисфосфонатов внутрь. Внутривенные бисфосфонаты показаны, если пациент не переносит или у него не усваиваются оральные бисфосфонаты.

Остеонекроз челюсти (ONJ) и атипичные переломы бедренной кости редко описывались у пациентов, получающих антирезорбтивную терапию бисфосфонатами, а также при применении ромосозумаба или деносумаба (9). Факторы риска ОНЧ включают инвазивные стоматологические процедуры, внутривенное введение бисфосфонатов, а также лучевую терапию головы и шеи при лечении онкологических заболеваний. Преимущества от снижения риска переломов, связанных с остеопорозом, значительно перевешивают этот небольшой риск. Хотя некоторые стоматологи просят пациента прекратить прием бисфосфонатов за несколько недель или месяцев до инвазивной стоматологической процедуры, неясно, снижает ли это риск остеонекроза челюсти.

Долгосрочное применение бифосфонатов может увеличить риск атипичных переломов бедренной кости (10). Эти переломы происходят в серединной оси бедренной кости с минимальной или полным отсутствием травмы; им могут предшествовать недели или месяцы боли в бедре. Переломы могут быть двусторонними, даже если симптомы только односторонние.

Чтобы снизить риск атипичных переломов, следует рассмотреть возможность прекращения терапии бисфосфонатами примерно через:

  • 3-5 лет их приема пациентами с остеопорозом (по результатам ДЭРА-сканирования), которые подвержены малочисленным факторам риска, обуславливающим потерю костной ткани, или не имеют таковых вовсе (3 года – при приеме внутривенно золедроновой кислоты и 5 лет – при приеме пероральных бисфосфонатов)

  • 5–10 лет их приема пациентами с остеопорозом (по данным ДЭРА-сканирования) и переломами или дополнительными значимыми постоянными факторами риска потери костной ткани и будущих остеопоротических переломов (11, 12)

Прекращение приема бисфосфонатов (лекарственные каникулы), а также начало и продолжительность курса лечения зависят от таких факторов риска для пациента, как возраст, сопутствующие заболевания, предыдущие истории переломов, результаты сканирования ДРА и риск ухудшения состояния. Лекарственные каникулы составляют 1 год или более. Пациентов, на бисфосфонатных каникулах, нужно тщательно мониторировать на предмет новых переломов или ускоренной потери костной массы, выявленных при ДЭРА-сканировании, особенно после отсутствия терапии в течение 2 лет и более.

Во время терапии антирезорбтивными препаратами, такими как бисфосфонаты, подавляется обмен веществ в костной ткани, о чем свидетельствуют низкие показатели в сыворотке или моче натощак перекрестно-связанных N-телопептидов (NTX) или перекрестно-связанных С-телопептидов (CTX). Таким образом, показатели маркеров костного обмена могут помочь определить приверженность к терапии, а также достаточную абсорбцию, что особенно полезно для мониторинга у пациентов, принимающих пероральные бисфосфонаты. Эти маркеры могут оставаться на низком уровне в течение ≥ 2 лет после терапии. У пациентов, не получавших лечения, повышение уровня маркеров костного метаболизма, особенно более высокие уровни, указывает на повышенный риск переломов. Однако не ясно, следует ли использовать уровни маркеров метаболизма костной ткани в качестве критериев для определения начала или окончания "лекарственных каникул".

Немедленное начало терапии бисфосфонатами после остеопоротических переломов является спорным из-за теоретических опасений, что эти препараты могут препятствовать заживлению костей; однако клинические данные этого не подтверждают. Большинство экспертов рекомендуют начинать прием бисфосфоната во время госпитализации по поводу перелома (13). Нет причин откладывать терапию с целью получения результатов ДЭРА-сканирования, поскольку патологический перелом шейки бедра или позвонка подтверждает наличие остеопороза.

Деносумаб является моноклональным антителом к рецептору-активатору лиганда ядерного фактора каппа-B (RANKL) и уменьшает резорбцию кости путем ингибирования дифференцировки и образования остеокластов (14). Денозумаб может быть полезен пациентам, не переносящим или не отвечающим на другие виды терапии или пациентам с нарушенной функцией почек. Было обнаружено, что этот препарат имеет хороший профиль безопасности при применении на протяжении 10 лет (15). Деносумаб противопоказан пациентам с гипокальциемией, так как он может вызывать изменение уровня кальция, которое приводит к глубокой гипокальциемии и возникновению побочных эффектов, таких как тетания. Об остеонекрозе челюсти и атипичных переломах бедренной кости у пациентов, принимающих деносумаб, сообщалось редко.

Пациентам, которые принимают деносумаб, не следует прерывать его прием, потому что прерывание может повлечь за собой быстрое снижение минеральной плотности кости и, что особенно важно, повысить риск переломов, в частности, переломов позвоночника, часто множественных (16). Если и когда деносумаб отменяют, пациентам следует назначить переход на бисфосфонат, например на внутривенную золедроновую кислоту, как минимум на год; дольше — при сохраняющемся риске переломов или при наличии данных о снижении минеральной плотности кости после всего лишь одной инфузии золедроновой кислоты в/в (17).

Ралоксифен является селективным модулятором рецептора эстрогена (СМРЭ), который может использоваться у женщин, не переносящих бисфосфонаты или деносумаб. Назначается перорально один раз в день, снижает риск переломов позвонков на 50%, но в отношении переломов тазобедренного сустава такой эффект не показан (18). Ралоксифен не стимулирует матку и оказывает действие на молочную железу, противоположное действию эстрогена. Это снижает риск инвазивного рака молочной железы. Ралоксифен может увеличить риск тромбоэмболии.

Терапия эстрогеном сохраняет минеральную плотность кости и снижает риск переломов (19). Однако из-за доступности других, более эффективных методов лечения и потенциальных рисков, связанных с продолжением терапии, эстрогены обычно не применяются как терапия первой линии, если единственным показанием является лечение остеопороза. Использование эстрогена увеличивает риск тромбоэмболии и рака эндометрия, а также связано с дополнительными рисками (например, рак молочной железы, рак эндометрия, ишемическая болезнь сердца, инсульт и заболевание желчного пузыря), некоторые из которых варьируются в зависимости от использования одного эстрогена по сравнению с эстрогеном в комбинации с прогестином (20, 21). Таким образом, потенциальный вред от терапии остеопороза эстрогенами перевешивает ее потенциальную пользу для большинства женщин.

Не следует регулярно использовать Iинтраназальный лососевый кальцитонин для лечения остеопороза. Лососевый кальцитонин может обеспечить кратковременный обезболивающий эффект после острого перелома, например, болезненный перелом позвоночника, из-за эффекта эндорфина (22). Не было доказано, что он уменьшает количество будущих переломов.

Анаболические агенты

Анаболические агенты включают терипаратид (синтетический ПТГ [PTH1-34]) (23) и абалопаратид (аналог ПТГ человека, который связывается с рецептором ПТГ 1 типа) (24). Они вводятся ежедневно в виде подкожных инъекций и увеличивают костную массу, стимулируют формирование новой костной ткани и снижают риск переломов. Пациенты, принимающие аналог ПТГ, должны иметь клиренс креатинина > 35 мл/минуту. Ромосозумаб, моноклональное антитело против склеростина, обладает как анаболическим, так и антирезорбтивным действием.

Три этих анаболических препарата (терипаратид, абалопаратид и ромосозумаб) обычно назначают пациентам, имеющим следующие характеристики:

  • Непереносимость антирезорбтивных препаратов или противопоказания к их назначению

  • Отсутствие ответа на терапию (то есть появление новых переломов или снижение минеральной плотности костной ткани) на антирезорбтивные препараты, а также на приём кальция, витамина D и выполнение упражнений с весовой нагрузкой

  • Возможное наличие тяжелой формы остеопороза (например, Т-показатель < -3,0) или множественные патологические переломы позвоночника

  • Глюкокортикоид-индуцированный остеопороз (только терипаратид)

Во время бисфосфонатных каникул можно рассматривать вопрос о назначении любого из этих трех анаболических препаратов.

Использование анаболических препаратов для лечения остеопороза было ограничено 2 годами на основании предупреждения в черной рамке, из-за опасений, связанных с повышенным риском развития остеосаркомы в первичных 2-летних клинических испытаниях, но ограничение терапии 2 годами больше не требуется. Следовательно, хотя 2-летний курс лечения анаболическими агентами остается целесообразным, в настоящее время можно рассматривать вопрос о назначении второго 2-летнего курса терапии. Однако после завершения курса лечения анаболическими средствами прирост минерализации костной ткани быстро снижается, если пациенту не были незамедлительно назначены такие антирезорбтивные препараты, как бисфосфонаты. Анаболические препараты в идеале следует использовать до применения антирезорбтивных препаратов (25). Прирост минеральной плотности костной ткани выше, если анаболический агент используется до назначения антирезорбтивного препарата (т.е. с учетом «анаболического окна»), а прирост минеральной плотности костной ткани ослабляется, если анаболический агент вводится после антирезорбтивного препарата.

Прием анаболических агентов можно начинать в любое время после перелома. Неясно, ускоряет ли раннее применение анаболических агентов после перелома быстрое заживление кости.

Другие лекарственные препараты, применяемые при остеопорозе

Ромосозумаб является моноклональным антителом против склеростина (небольшой белок, вырабатываемый остеоцитами, ингибирующий образование новой кости остеобластами). Он обладает как антирезорбтивным, так и анаболическим действием и, как было доказано, увеличивает минеральную плотность костной ткани в тазобедренном и поясничном отделах позвоночника и снижает риск переломов у женщин в период постменопаузы (26). Ромосозумаб показан пациентам с тяжелым остеопорозом, особенно людям пожилого возраста, худощавого телосложения и тем, кто имеет повышенный риск падений. Его также следует рассматривать у пациентов с переломами, несмотря на адекватную антирезорбтивную терапию. Его вводят ежемесячно подкожно в течение 1 года (27).

Лечение ромосозумабом в течение 1 года с последующим применением алендроната в течение 1 года является более эффективным, чем лечение алендронатом в течение 2 лет 28); прием ромосозумаба в течение 1 года с последующим назначением деносумаба в течение 2 лет снижает риск переломов и увеличивает минеральную плотность костной ткани (28). Как и в случае с деносумабом, при прекращении приема ромосозумаба следует назначить антирезорбтивную терапию для предотвращения быстрой потери костной массы (29). Ромосозумаб имеет особое предостережение в чёрной рамке из-за повышенного риска сердечно-сосудистых событий, включая инфаркт миокарда, инсульт и смерть от сердечно-сосудистых заболеваний. Ромосозумаб не следует начинать в течение 12 месяцев после перенесенного инфаркта миокарда или инсульта.

Мониторирование ответа на лечение

Мониторинг текущей потери костной ткани или реакции на лечение с серийными ДХА-сканированиями должен проводиться на одном и том же аппарате, сравнение должно использовать фактическую минеральную плотность костной ткани (г/см2), а не показатель Т. У пациентов с остеопенией денситометрию следует периодически повторять, чтобы определить, имеет ли место постоянная потеря костной массы или развитие выраженного остеопороза, требующего лечения. Частота последующего ДЭРА-сканирования варьируется от пациента к пациенту, но некоторые обоснованные руководства рекомендуют следующие:

  • Пациенты, получающие пероральные бисфосфонаты: повторное ДЭРА-сканирование обычно проводится после 2–3 лет лечения. Если это оправдано клинически, например, у пациента, принимающего глюкокортикоиды, ДХА-сканирование можно повторять чаще.

  • Пациенты, получающие внутривенные бисфосфонаты: повторное ДЭРА-сканирование после 3 лет терапии для определения, было ли лечение адекватным или требуется более длительный курс терапии.

  • Пациенты, получающие анаболическую терапию: повторное ДЭРА-сканирование по завершении терапии (18-24 месяца приема терипаратида или абалопаратида, 1 год ромосозумаба) для документального подтверждения улучшения минерализации костной ткани на фоне анаболической терапии и установления нового исходного уровня.

Результаты могут помочь выявить пациентов с более высоким риском переломов из-за неоптимального ответа на лечение остеопороза. Пациенты, которые имеют значительно более низкую минеральную плотность костной ткани, несмотря на лечение, или те, у которых произошел перелом во время лечения, должны быть обследованы на наличие вторичных причин потери костной массы, плохой абсорбции лекарств (при приеме пероральных бисфосфонатов) и (за исключением пациентов, получающих внутривенные бисфосфонаты или парентеральные препараты, в больнице) соблюдение режима лечения.

Лечение боли и поддержание функции

При острой боли в спине, обусловленной компрессионным переломом позвоночника, можно на короткий срок применять ортопедические изделия (корсеты) при необходимости и анальгетики, а при выраженном мышечном спазме – влажные компрессы и массаж. Общеукрепляющие упражнения полезны для пациентов с болями в спине и предшествующим зажившим переломом позвонка. Хроническую боль в спине можно уменьшить с помощью упражнений для укрепления паравертебральных мышц. Важно избегать подъема тяжестей. Время пребывания в постели должно быть минимизировано; необходимо поощрять регулярные и тщательно подобранные физические упражнения.

В некоторых случаях, вертебропластика или кифопластика может использоваться для облегчения сильной боли, вызванной новым патологическим вертебральным переломом, хотя эффективность окончательно не доказана (30, 31). При вертебропластике в тело позвонка вводят метилметакрилат. При кифопластике, тело позвонка сначала расширяется с помощью воздушной подушки, а потом наполняется метилметакрилатом. Эти процедуры могут уменьшить деформацию позвонка, но не уменьшают и даже могут увеличить риск переломов соседних позвонков. К другим побочным эффектам относятся переломы ребер, истончение цемента, тромбоэмболия легочных артерий и инфаркт миокарда. Дальнейшее изучение определит оправданные для этих процедур показания.

Справочные материалы по лечению

  1. 1. Howe TE, Shea B, Dawson LJ, et al. Exercise for preventing and treating osteoporosis in postmenopausal women. Cochrane Database Syst Rev. (7):CD000333, 2011. Published 2011 Jul 6. doi:10.1002/14651858.CD000333.pub2

  2. 2. Brooke-Wavell K, Skelton DA, Barker KL, et al. Strong, steady and straight: UK consensus statement on physical activity and exercise for osteoporosis [published online ahead of print, 2022 May 16]. Br J Sports Med. 56(15):837-846, 2022. doi:10.1136/bjsports-2021-104634

  3. 3. Management of osteoporosis in postmenopausal women: the 2021 position statement of The North American Menopause SocietyMenopause. 2021;28(9):973-997. doi:10.1097/GME.0000000000001831

  4. 4. Shoback D, Rosen CJ, Black DM, et al. Pharmacological Management of Osteoporosis in Postmenopausal Women: An Endocrine Society Guideline Update. J Clin Endocrinol Metab. 2020;105(3):dgaa048. doi:10.1210/clinem/dgaa048

  5. 5. ACOG Committee on Clinical Practice Guidelines–Gynecology. Management of Postmenopausal Osteoporosis: ACOG Clinical Practice Guideline No. 2 [published correction appears in Obstet Gynecol. 2022 Jul 01;140(1):138. doi: 10.1097/AOG.0000000000004855.]. Obstet Gynecol. 2022;139(4):698-717. doi:10.1097/AOG.0000000000004730

  6. 6. Camacho PM, Petak SM, Binkley N, et al. AMERICAN ASSOCIATION OF CLINICAL ENDOCRINOLOGISTS/AMERICAN COLLEGE OF ENDOCRINOLOGY CLINICAL PRACTICE GUIDELINES FOR THE DIAGNOSIS AND TREATMENT OF POSTMENOPAUSAL OSTEOPOROSIS-2020 UPDATE. Endocr Pract. 2020;26(Suppl 1):1-46. doi:10.4158/GL-2020-0524SUPPL

  7. 7. Ayers C, Kansagara D, Lazur B, Fu R, Kwon A, Harrod C. Effectiveness and safety of treatments to prevent fractures in people with low bone mass or primary osteoporosis: a living systematic review and network meta-analysis for the American College of Physicians [published correction appears in Ann Intern Med 176(6):884, 2023]. Ann Intern Med. 176(2):182-195, 2023. doi:10.7326/M22-0684

  8. 8. Black DM, Reid IR, Boonen S, et al. The effect of 3 versus 6 years of zoledronic acid treatment of osteoporosis: A randomized extension to the HORIZON-Pivotal Fracture Trial (PFT). J Bone Miner Res. 27(2): 243–254, 2012. doi: 10.1002/jbmr.1494

  9. 9. Khan AA, Morrison A, Hanley DA, et al. Diagnosis and management of osteonecrosis of the jaw: a systematic review and international consensus. J Bone Miner Res. 30(1):3-23, 2015. doi:10.1002/jbmr.2405

  10. 10. Black DM, Abrahamsen B, Bouxsein ML, et al. Atypical Femur Fractures: Review of Epidemiology, Relationship to Bisphosphonates, Prevention, and Clinical Management. Endocr Rev. 40(2):333-368, 2019. doi:10.1210/er.2018-00001

  11. 11. Black DM, Schwartz AV, Ensrud KE, et al. Effects of continuing or stopping alendronate after 5 years of treatment: the Fracture Intervention Trial Long-term Extension (FLEX): a randomized trial. JAMA. 296(24):2927-2938, 2006. doi:10.1001/jama.296.24.2927

  12. 12. Black DM, Reid IR, Boonen S, et al. The effect of 3 versus 6 years of zoledronic acid treatment of osteoporosis: a randomized extension to the HORIZON-Pivotal Fracture Trial (PFT) [published correction appears in J Bone Miner Res. 27(12):2612, 2012]. J Bone Miner Res 27(2):243-254, 2012. doi:10.1002/jbmr.1494

  13. 13. Conley RB, Adib G, Adler RA, et al. Secondary Fracture Prevention: Consensus Clinical Recommendations from a Multistakeholder Coalition. J Bone Miner Res. 35(1):36-52, 2020. doi:10.1002/jbmr.3877

  14. 14. Cummings SR, San Martin J, McClung MR, et al. Denosumab for prevention of fractures in postmenopausal women with osteoporosis [published correction appears in N Engl J Med 361(19):1914, 2009]. N Engl J Med. 361(8):756-765, 2009. doi:10.1056/NEJMoa0809493

  15. 15. Bone HG, Wagman RB, Brandi ML, et al. 10 years of denosumab treatment in postmenopausal women with osteoporosis: results from the phase 3 randomised FREEDOM trial and open-label extension. Lancet Diabetes Endocrinol. 5(7):513-523, 2017. doi:10.1016/S2213-8587(17)30138-9

  16. 16. Lyu H, Yoshida K, Zhao SS, et al. Delayed Denosumab Injections and Fracture Risk Among Patients With Osteoporosis : A Population-Based Cohort Study. Ann Intern Med. 173(7):516-526, 2020. doi:10.7326/M20-0882

  17. 17. Sølling AS, Harsløf T, Langdahl B. Treatment with zoledronate subsequent to denosumab in osteoporosis: a 2-year randomized study. J Bone Miner Res. 36(7):1245-1254, 2021. doi:10.1002/jbmr.4305

  18. 18. Ettinger B, Black DM, Mitlak BH, et al. Reduction of vertebral fracture risk in postmenopausal women with osteoporosis treated with raloxifene: results from a 3-year randomized clinical trial. Multiple Outcomes of Raloxifene Evaluation (MORE) Investigators [published correction appears in JAMA. 282(22):2124, 1999]. JAMA 282(7):637-645, 1999. doi:10.1001/jama.282.7.637

  19. 19. Rossouw JE, Anderson GL, Prentice RL, et al. Risks and benefits of estrogen plus progestin in healthy postmenopausal women: principal results From the Women's Health Initiative randomized controlled trial. JAMA. 2002;288(3):321-333. doi:10.1001/jama.288.3.321

  20. 20. Anderson GL, Limacher M, Assaf AR, et al. Effects of conjugated equine estrogen in postmenopausal women with hysterectomy: the Women's Health Initiative randomized controlled trial. JAMA. 2004;291(14):1701-1712. doi:10.1001/jama.291.14.1701

  21. 21. Manson JE, Chlebowski RT, Stefanick ML, et al. Menopausal hormone therapy and health outcomes during the intervention and extended poststopping phases of the Women's Health Initiative randomized trials. JAMA. 2013;310(13):1353-1368. doi:10.1001/jama.2013.278040

  22. 22. Knopp-Sihota JA, Newburn-Cook CV, Homik J, et al. Calcitonin for treating acute and chronic pain of recent and remote osteoporotic vertebral compression fractures: a systematic review and meta-analysis. Osteoporos Int. 23(1):17-38, 2012. doi:10.1007/s00198-011-1676-0

  23. 23. Neer RM, Arnaud CD, Zanchetta JR, et al. Effect of parathyroid hormone (1-34) on fractures and bone mineral density in postmenopausal women with osteoporosis. N Engl J Med. 344(19):1434-1441, 2001. doi:10.1056/NEJM200105103441904

  24. 24. Miller PD, Hattersley G, Riis BJ, et al. Effect of abaloparatide vs placebo on new Vertebral fractures in postmenopausal women with osteoporosis: a randomized clinical trial [published correction appears in JAMA. 2017 Jan 24;317(4):442]. JAMA. 316(7):722-733, 2016. doi:10.1001/jama.2016.11136

  25. 25. Curtis EM, Reginster JY, Al-Daghri N, et al. Management of patients at very high risk of osteoporotic fractures through sequential treatments. Aging Clin Exp Res. 34(4):695-714, 2022. doi:10.1007/s40520-022-02100-4

  26. 26. Cosman F, Crittenden DB, Adachi JD, et al. Romosozumab treatment in postmenopausal women with osteoporosis. N Engl J Med. 375(16):1532-1543, 2016. doi: 10.1056/NEJMoa1607948

  27. 27. Saag KG, Petersen J, Brandi ML, et al. Romosozumab or alendronate for fracture prevention in women with osteoporosis. N Engl J Med. 377(15):1417-1427, 2017. doi: 10.1056/NEJMoa1708322

  28. 28. Lewiecki EM, Dinavahi RV, Lazaretti-Castro M, et al. One year of romosozumab followed by two years of denosumab maintains fracture risk reductions: Results of the FRAME Extension Study. J Bone Miner Res. 34(3):419-428, 2019. doi: 10.1002/jbmr.3622

  29. 29. McClung MR, Brown JP, Diez-Perez A, et al. Effects of 24 Months of Treatment With Romosozumab Followed by 12 Months of Denosumab or Placebo in Postmenopausal Women With Low Bone Mineral Density: A Randomized, Double-Blind, Phase 2, Parallel Group Study. J Bone Miner Res. 33(8):1397-1406, 2018. doi:10.1002/jbmr.3452

  30. 30. Buchbinder R, Johnston RV, Rischin KJ, et al. Percutaneous vertebroplasty for osteoporotic vertebral compression fracture. Cochrane Database Syst Rev. 4(4):CD006349, 2018. Published 2018 Apr 4. doi:10.1002/14651858.CD006349.pub3

  31. 31. Lou S, Shi X, Zhang X, Lyu H, Li Z, Wang Y. Percutaneous vertebroplasty versus non-operative treatment for osteoporotic vertebral compression fractures: a meta-analysis of randomized controlled trials. Osteoporos Int. 30(12):2369-2380, 2019. doi:10.1007/s00198-019-05101-8

Профилактика остеопороза

Цель профилактики является двухплановой – сохранение костной массы и предотвращение переломов. Профилактические меры показаны для следующих категорий:

  • Женщины в постменопаузе

  • Пожилые мужчины (обычно мужчины > 70 лет)

  • Пациенты с остеопенией

  • Пациенты, у которых уже имеется остеопороз (для профилактики ухудшения состояния)

  • Пациенты, принимающие системные глюкокортикоиды или ингибиторы ароматазы в высоких дозах и/или длительно 

  • Пациенты со вторичными причинами для потери костной массы

Профилактические меры для всех этих пациентов включают адекватное потребление кальция и витамина D, упражнения с весовой нагрузкой, отказ от табакокурения и ограничение употребления алкоголя. Пациенты также должны быть проконсультированы о мерах по снижению риска падений. Кроме того, фармакотерапия показана большинству пациентов с остеопенией, если они подвержены повышенному риску переломов, например, пациентам с высоким показателем FRAX и пациентам, принимающим кортикостероиды или ингибиторы ароматазы. Обучение пациентов и общественности о важности здоровья костей остается крайне важным.

Основные положения

  • Пик костной массы у мужчин и женщин приходится на возраст около 30 лет; у женщин потеря костной массы ускоряется после менопаузы примерно до 2% в год в течение примерно 10 лет.

  • Почти все случаи остеопороза у мужчин и женщин являются первичными, без идентифицируемой причины.

  • Следует заподозрить остеопороз у пациентов с переломами позвоночника, бедра, плечевой кости или дистального отдела лучевой кости, вызванными несоразмерно малой травмой (патологические переломы).

  • ДЭРА используется для измерения минеральной плотности костной ткани у женщин ≥ 65 лет; у женщин в возрасте от начала менопаузы до 65 лет с факторами риска (например, семейный анамнез остеопороза, низкий индекс массы тела, употребление табака, алкоголя и/или лекарственных препаратов с высоким риском потери костной ткани [например, длительный прием глюкокортикоидов]); у мужчин и женщин любого возраста, имеющих переломы вследствие хрупкости костей; у пациентов с пониженной минеральной плотностью костной ткани или бессимптомными компрессионными переломами позвоночника, выявленными по результатам визуализирующих исследований; у пациентов с риском вторичного остеопороза.

  • Рассмотрите возможность тестирования пациентов на предмет причин вторичной потери костной массы, если у них Z-показатель ≤ -2,0, снижение минеральной плотности костной ткани, необъяснимый перелом во время лечения остеопороза или клинически подозревается причина вторичной потери костной массы.

  • Для лечения и профилактики необходимо обеспечить достаточное потребление кальция и витамина D, при необходимости используя добавки, модифицировать факторы риска, чтобы помочь сохранить костную массу (например, применяя физические упражнения с весовой нагрузкой и минимизируя потребление алкоголя и табака), и уменьшить риск падений.

  • Лекарственные препараты включают антирезорбтивные средства (например, бисфосфонаты, активатор рецептора ингибитора ядерного фактора каппа-B [RANKL], селективный модулятор рецептора эстрогена, препараты, используемые для заместительной гормональной терапии) или анаболические агенты, такие как терипаратид, абалопаратид или ромосозумаб.

  • Мониторинг ответа на терапию проводят с помощью ДЭРА-сканирования через соответствующие интервалы, в зависимости от конкретной схемы приема препарата.

quizzes_lightbulb_red
Test your KnowledgeTake a Quiz!
iOS ANDROID
iOS ANDROID
iOS ANDROID