доброкачественные и злокачественные опухоли глазницы могут происходить как из структур глазницы, так и из прилежащих тканей, таких как веко, околоносовая пазуха или ячейка костной ткани черепа. Опухоли орбит могут поражаться метастазами из отдаленных мест.
Некоторые типы опухолей орбиты обычно являются экзофтальмом и смещением глазного яблока в сторону, противоположную направлению роста опухоли. Также пациенты могут жаловаться на боль, двоение в глазах и потерю зрения. Предварительный диагноз опухолей орбиты устанавливается на основании анамнеза, результатов обследования и методов нейровизуализации (КТ и/или МРТ), однако для окончательного подтверждения часто требуется проведение биопсии. Тактика лечения зависит от возраста пациента.
Дети
Наиболее частыми доброкачественными опухолями детского возраста являются дермоидные опухоли и сосудистые поражения, такие как инфантильная гемангиома и лимфатические мальформации (1). Дермоидные опухоли подлежат удалению. Инфантильные гемангиомы имеют тенденцию к спонтанной инволюции и поэтому обычно не требуют лечения; однако, особенно при их расположении на верхнем веке, они могут влиять на зрение и требуют лечения системными бета-блокаторами. Небольшие лимфатические мальформации, которые не вызывают симптомов, могут наблюдаться в динамике. При более крупных лимфатических мальформациях или тех, которые вызывают симптомы, варианты включают циторедуктивное хирургическое лечение, внутриочаговую склеротерапию и сиролимус (2).
Периокулярные гемангиомы – это гемангиомы, окружающие глаз.
© Springer Science+Business Media
Наиболее распространенными злокачественными опухолями у детей являются рабдомиосаркома и метастатическое поражение при лейкемии или нейробластоме. Если рабдомиосаркома операбельна, то ее иссекают, с последующей химиотерапией и лучевой терапией. При лейкемии обычно применяется химиотерапия, лучевая терапия или их комбинация.
Взрослые
Наиболее распространенными доброкачественными опухолями у взрослых являются менингиомы, мукоцеле и мальформации кавернозных вен (ранее известные как кавернозные гемангиомы) (3). Плеоморфная аденома слезной железы встречается реже. Менингиомы крыла клиновидной кости удаляются путем краниотомии при наличии клинических проявлений, иногда за операцией следует курс лучевой терапии. Полная резекция опухоли возможна лишь в редких случаях, поскольку клетки менингиомы инфильтративно врастают в основание черепа. Мукоцеле чаще всего исходят из лобной или клиновидной пазухи, поэтому их дренируют в полость носа. Кавернозные венозные мальформации (наиболее распространенная доброкачественная опухоль орбиты) и плеоморфные аденомы слезных желез удаляют.
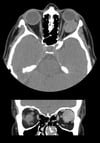
На этом изображении на КТ-сканах в аксиальной (вверху) и корональной (внизу) проекциях показана четко очерченная опухоль в интракональном пространстве за левым глазным яблоком. Это образование представляет собой кавернозную венозную мальформацию.
Наиболее распространенными злокачественными опухолями у взрослых являются лимфома, плоскоклеточная карцинома и метастатическое поражение. Реже встречается аденокарцинома слезной железы, которая является агрессивной опухолью.
Лимфомы, затрагивающие орбиту, являются наиболее частыми злокачественными опухолями орбиты и, как правило, являются В-клеточными и характерно низкодифференцированными (обычно это MALT-лимфома [лимфоидная ткань, ассоциированная со слизистой оболочкой], также известная как экстранодальная В-клеточная лимфома маргинальной зоны). Они могут быть двухсторонними и односторонними, а также могут существовать как изолированно в области орбиты, так и в множестве других локализаций. Многие орбитальные лимфомы сопровождаются минимальными симптомами и результатами физикального осмотра, несмотря на впечатляющие изменения на рентгенограмме. Лучевая терапия является эффективной для лечения лимфомы глазницы с некоторыми побочными эффектами, но лечение моноклональными антителами (например, ритуксимаб) против поверхностного рецептора (например, CD20) лимфоцитов также эффективно и следует рассмотреть вопрос о его применении в дополнение к или вместо лучевой терапии, в особенности, если лимфома является системной.
На этом изображении первый КТ-скан в корональной проекции (слева) показывает гомогенное образование, соответствующее глазному яблоку (красная стрелка). На втором КТ-скане в корональной проекции (в центре) показано образование с четкими контурами в правой ямке слезной железы (синяя стрелка). На осевом КТ-скане (справа) показано гомогенное образование слезной ямки, прилегающее к правому глазному яблоку (желтая стрелка).
Большинство плоско-клеточных карцином исходит из близлежащих околоносовых пазух. Хирургическое вмешательство, лучевая терапия, или оба этих направления являются основой терапии.
Метастазирующие заболевания обычно лечат лучевой терапией. Метастатический процесс с вовлечением глазницы является, как правило, неблагоприятным прогностическим признаком; важным исключением при этом являются карциноидные опухоли.
Аденокистозная карцинома слезной железы подлежит хирургическому вмешательству, после чего, как правило, используется лучевая терапия (иногда конформная протонная лучевая терапия) или комбинация внутриартериальной химиотерапии с лучевой терапией и хирургической операцией согласно протоколу лечения.
Общие справочные материалы
1. Shields JA, Bakewell B, Augsburger JJ: Space-occupying orbital masses in children. A review of 250 consecutive biopsies. Ophthalmology 93(3):379-384, 1986. doi: 10.1016/s0161-6420(86)33731-x
2. Shoji MK, Shishido S, Freitag SK: The use of sirolimus for treatment of orbital lymphatic malformations: A systematic review. Ophthalmic Plast Reconstr Surg 36:215-221, 2020. doi: 10.1097/IOP.0000000000001518
3. Bonavolontà G, Strianese D, Grassi P, et al: An analysis of 2,480 space-occupying lesions of the orbit from 1976 to 2011. Ophthalmic Plast Reconstr Surg 29(2):79-86, 2013. doi: 10.1097/IOP.0b013e31827a7622



