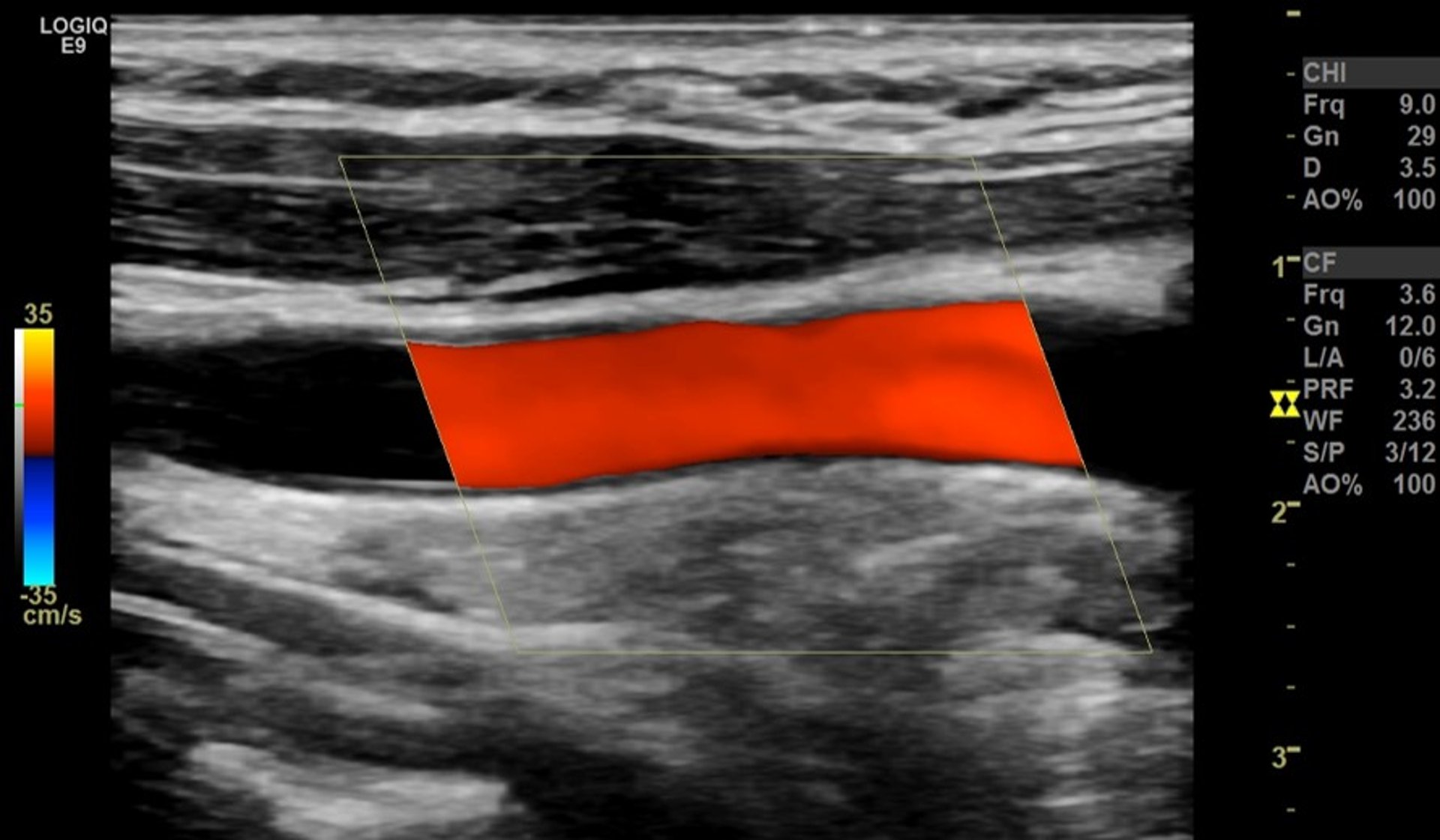
Цветовое доплеровское картирование сонной артерии
Красная полоска соответствует нормальному беспрепятственному кровотоку через крупную артерию в области шеи (общую сонную артерию), вид сбоку.
Изображение предоставлено д-ром Мустафой Мафраджи (Mustafa Mafraji)
По этим темам
