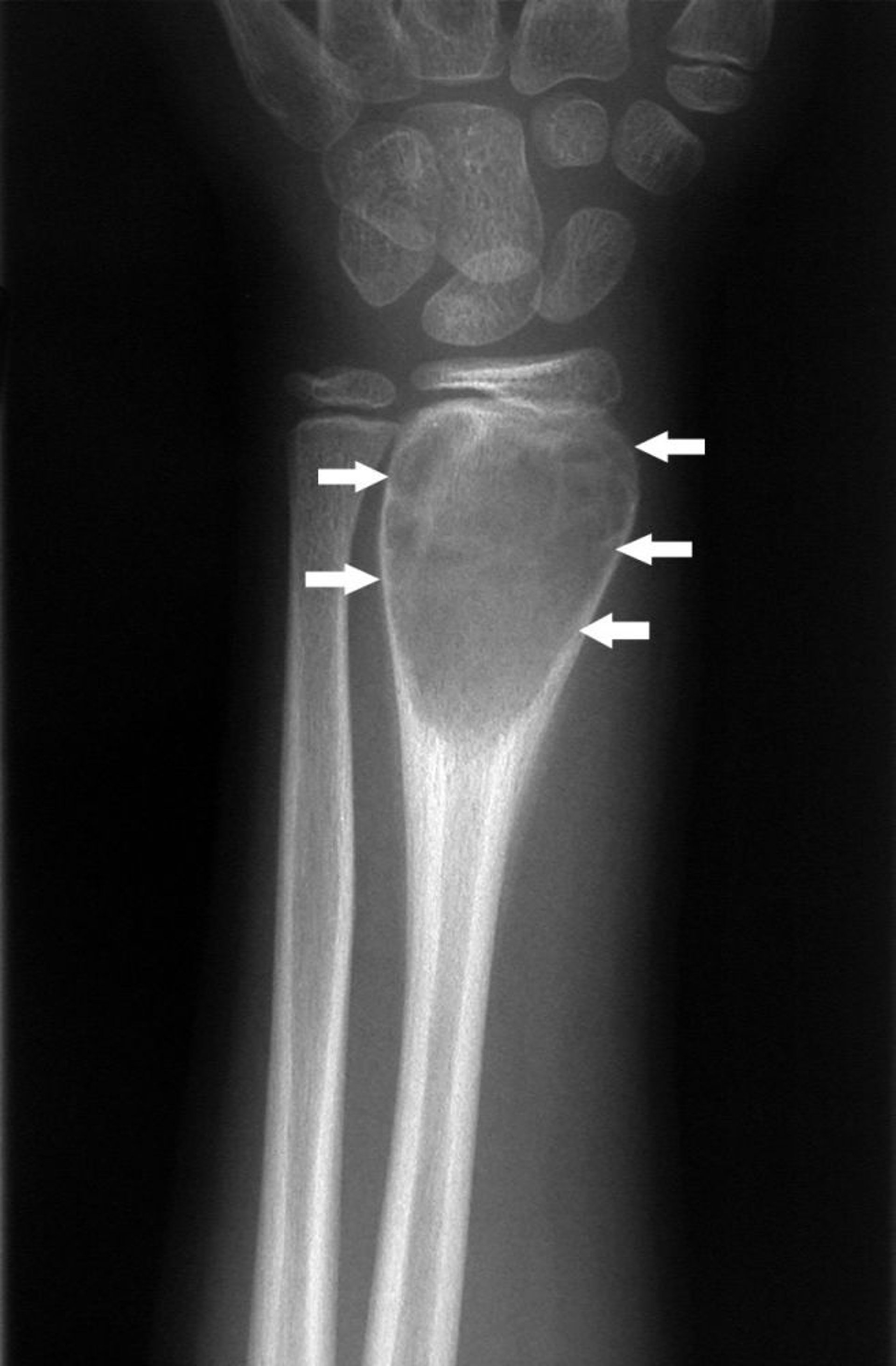
Аневризматическая костная киста запястья
На этой рентгенограмме запястья показана аневризматическая костная киста запястья (стрелки).
Изображение любезно предоставлено д-ром Майклом Дж. Джойсом (Michael J. Joyce) и д-ром Хаканом Иласланом (Hakan Ilaslan).
По этим темам
